The potential of electromyography, diagnostic transcranial magnetic stimulation, and multiparametric magnetic resonance imaging in the combinatory assessment of facial nerve disorders: a literature review and clinical case series
- Authors: Marchenko N.V.1, Novokshonov D.Y.1, Irikova M.A.1, Shevchenko E.Y.1, Dubitsky D.L.1, Voitenkov V.B.1,2, Alkhazishvili A.V.3, Skripchenko E.Y.1,4
-
Affiliations:
- Pediatric Research and Clinical Center for Infectious Diseases
- Federal Research and Clinical Center of Specialized Medical Care and Medical Technologies
- Almazov National Medical Research Centre
- 4 St. Petersburg State Pediatric Medical University
- Issue: Vol 51, No 3 (2023)
- Pages: 180-191
- Section: CLINICAL CASES
- Published: 02.08.2023
- URL: https://almclinmed.ru/jour/article/view/7766
- DOI: https://doi.org/10.18786/2072-0505-2023-51-021
- ID: 7766
Cite item
Full Text
Abstract
Facial neuropathy (FN) is a complex multicausal problem that, with a seemingly obvious clinical picture, might be challenging to diagnose. Up to 5% of FN cases could be caused by neoplastic or otogenic processes, necessitating an interdisciplinary approach to its treatment by various specialties and in some cases a surgical intervention. In addition, in the early stages of FN, it is difficult to predict its outcomes. Therefore, beyond usual neurological exam and widely used electromyography (EMG), other additional diagnostic tools are used to ensure extended diagnosis, including cancer awareness.
In this paper we have analyzed the principles, role and value of computed tomography, magnetic resonance imaging (MRI), diagnostic transcranial magnetic stimulation combined with EMG, and ultrasound assessment with a high-frequency linear transducer in acute FN. We present our own clinical cases of pediatric patients with FN, who were assessed with EMG and multiparametric MRI including diffusion tensor imaging. These cases illustrate both the abnormalities found in the typical course of Bell's palsy, as well as the abnormalities in neoplasm-associated FN that clinically fully mimic the Bell's palsy. Based on the world experience in multiparametric MRI, including the use of extended protocols in the Pediatric Research and Clinical Center for Infectious Diseases, in case of suspected FN, the most important are high-resolution structural submillimeter sequences based on the gradient echo (SSFP) and diffusion tensor imaging (DTI). Measurement and assessment of fractional anisotropy at the motor nuclei of the facial nerves in the pons look promising for further research. The paper is the first to describe a modified combination diagnostic approach to Bell's palsy with the use of diagnostic transcranial magnetic stimulation with round coil, supramaximal stimulation with identification of the motor evoked response threshold (minimal inducer power to register a reproducible evoked motor response of 50-100 mV in amplitude) in the occipito-parietal area of the ipsilateral muscle.
Full Text
Парез мимических мышц (прозопарез) – один из частых синдромов, наблюдаемых в рутинной неврологической практике, обычно (до 75% случаев) развивающийся вследствие идиопатической невропатии лицевого нерва (НЛН), или паралича Белла (ПБ) [1, 2]. Помимо ПБ выявляют гетерогенную группу симптоматических НЛН, вызывающих периферический прозопарез, в частности синдром Рамсея Ханта, болезнь Лайма, опухолевые, отогенные поражения лицевого нерва (ЛН), аутоиммунные заболевания, травмы [3].
Вне зависимости от уровня поражения для НЛН характерно острое начало прозопареза (до 72 часов), вовлекающего всю половину мимических мышц и сопровождающегося слезотечением, при уровне поражения ЛН выше выхода из шилососцевидного отверстия могут дополнительно развиваться гипогевзия/агевзия передних двух третей поверхности языка и сухость во рту, повышенная чувствительность к низкочастотным звукам на стороне поражения (гиперакузия), снижение слезоотделения (ксерофтальмия). В качестве одной из возможных причин развития ПБ предполагается реактивация вируса простого герпеса 1-го типа, обнаруженного в эндоневральной жидкости [4], которая приводит к развитию воспаления и отека ЛН, его сдавливанию в костном фаллопиевом канале височной кости и последующей ишемии с развитием характерных симптомов. Не исключены и другие факторы, в частности аутоиммунные, в пользу которых может свидетельствовать выявление антител к основному белку миелина [5]. Есть также мнение о возможном влиянии переохлаждения на риск развития ПБ [6].
Периферический прозопарез может наблюдаться при поражении не только ЛН, но и его ядра в области моста, что часто приводит к развитию альтернирующих синдромов (сочетание периферического прозопареза с сохранной вкусовой чувствительностью, сниженными саливацией и слезоотделением и контралатеральным центральным гемипарезом). При поражении коры головного мозга и/или кортико-нуклеарных путей развивается центральный прозопарез, который вследствие неполного анатомического перекреста путей проявляется слабостью мимических мышц нижней половины лица на стороне, противоположной патологическому очагу. Центральный прозопарез чаще всего встречается при сосудистых заболеваниях, реже наблюдаются аутоиммунные, опухолевые, инфекционные, метаболические и другие причины [7]. Особенно сложна дифференциальная диагностика центрального и периферического характера прозопареза в случае поражения преимущественно щечных ветвей ЛН и краевой ветви нижней челюсти.
ПБ – диагноз исключения, для его установления необходим тщательный сбор анамнеза и проведение клинико-неврологического осмотра с применением различных шкал (шкала Хауса – Бракмана (ШХБ), Саннибрук и др.) [8]. Объем инструментального обследования при поражении ЛН до настоящего времени остается дискуссионным вопросом, не разработано единого диагностического инструмента, который считался бы золотым стандартом для дифференциальной диагностики ПБ и причинно-опосредованного поражения ЛН.
Таким образом, НЛН – комплексная мультиэтиологичная проблема, которая при кажущейся очевидности клинической картины может предоставлять значительные трудности для диагностики. До 5% случаев невропатии может быть обусловлено неопластическими и отогенными процессами; в таких ситуациях к процессу лечения следует привлекать специалистов смежного профиля, а в ряде случаев необходимо проведение хирургических вмешательств.
Без применения высокоинформативных методов нейровизуализации, в частности мультипараметрической магнитно-резонансной томографии (МП-МРТ), диагностический поиск становится затруднительным, поэтому выполнение МП-МРТ у пациентов с НЛН может рассматриваться как один из необходимых методов обследования. Кроме того, на ранних этапах развития заболевания значительные трудности представляет прогнозирование его исходов. В этой связи для обеспечения целей расширенной диагностики и с позиции онконастороженности, присущей современной медицине, привлекается широкий спектр дополнительных методов исследования.
В настоящей статье мы рассмотрели принципы применения, роль и место компьютерной томографии (КТ), МП-МРТ, диагностической транскраниальной магнитной стимуляции (ТМС) в сочетании с электронейромиографией (ЭНМГ) и ультразвуковой диагностикой линейным датчиком высокой частоты при острой НЛН, а также привели методику проведения ТМС, МП-МРТ для пациентов детского возраста с НЛН, используемую в ФГБУ ДНКЦИБ ФМБА России. На примере клинических наблюдений мы показали потенциальные возможности для применения МП-МРТ у пациентов детского возраста с НЛН, проиллюстрировали ситуации вторичного генеза НЛН, «замаскированные» под типичную клиническую картину ПБ, а также очертили возможные области интереса для проведения дальнейших исследований по данной тематике.
Нейрофизиологические методы обследования пациентов с невропатией лицевого нерва
При патологии лица к клиническому осмотру привлекаются различные методы дополнительной диагностики. Среди них лидирует ЭНМГ в своих различных разновидностях: поверхностной, стимуляционной и игольчатой [9, 10].
Большинству пациентов с клинической картиной периферического прозопареза проводят нейрофизиологическое обследование, включающее в первые 5 дней методику мигательного рефлекса (рис. 1Д) [11], на 7–14-й день – стимуляционную ЭНМГ, с 21-го дня от начала заболевания – игольчатую электромиографию [12]. Все эти методы позволяют определить характер и степень поражения ЛН при НЛН.
Рис. 1. Данные мигательного рефлекса (А), стимуляционной электронейромиографии (ЭНМГ) (Б, В) и транскраниальной магнитной стимуляции (ТМС) лицевого нерва (Г, Д) у мальчика 7 лет, выполненных на 12-й день от дебюта невропатии левого лицевого нерва, степень прозопареза – 4 балла по шкале Хауса – Бракмана. ЭНМГ-коэффициент 11%, ТМС-коэффициент 23%. А – мигательный рефлекс. Отсутствие регистрации раннего R1 (кривая 8.2) и позднего R2 (кривая 8.2) ипсилатеральных компонентов при стимуляции левого надглазничного нерва, позднего контралатерального компонента R2 (кривая 4.2) при стимуляции правого надглазничного нерва. Показатели мигательного рефлекса противоположной стороны (4.1, 8.1) в пределах возрастной нормы. Б – моторный ответ m. nasalis здоровой стороны амплитудой 2,7 мВ. В – моторный ответ m. nasalis пораженной стороны амплитудой 0,3 мВ. Г – вызванный моторный ответ m. nasalis здоровой стороны амплитудой 2,2 мВ. Д – вызванный моторный ответ m. nasalis пораженной стороны амплитудой 0,5 мВ
Такие признаки, как процентное соотношение амплитуд моторных ответов (М-ответов) носовой мышцы пораженной стороны к здоровой (ЭНМГ-коэффициент) ≤ 10% по данным ЭНМГ на 10–14-й день от дебюта ПБ и отсутствие регистрации потенциалов двигательных единиц на 14–21-й день от начала заболевания по данным игольчатой электромиографии, специфичны для тяжелой аксональной дегенерации ЛН. Отмечается также корреляция ЭНМГ-коэффициента со степенью прозопареза по ШХБ через год от дебюта [13] (рис. 1А, Б).
Тем не менее важно учитывать, что игольчатая миография, будучи инвазивной методикой, психологически трудно воспринимается пациентом, в особенности детского возраста (вследствие необходимости осуществления введения иглы в мышцы лица); соответственно, ее применение в каждом конкретном случае должно быть тщательно обосновано. В типичном случае течения ПБ в привлечении к диагностическому процессу игольчатой миографии необходимости нет. В педиатрической практике для объективизации выраженности прозопареза целесообразно широкое применение поверхностной ЭНМГ, позволяющей до известной степени заменять собой данные игольчатой миографии [9].
При обследовании пациентов с НЛН можно использовать и периферическую ТМС ЛН. С ее помощью регистрируется значимое снижение амплитуды вызванного моторного ответа (ВМО) мимических мышц в сравнении с контралатеральной стороной уже на ранних сроках НЛН [14, 15], что, по всей видимости, связано с особенностями проведения методик (при ТМС происходит стимуляция интракраниального участка ЛН, предполагаемого места поражения).
При проведении периферической ТМС ЛН используется стандартный кольцевой койл диаметром 9 см, который позволяет зарегистрировать достоверный, воспроизводимый ВМО с мимических мышц. Койл в виде «восьмерки» и кольцевой койл меньшего диаметра не применяются, что связано с меньшей мощностью производимого стимулирующего разряда при существующих анатомо-функциональных особенностях детского возраста. Для регистрации ВМО проводят супрамаксимальную стимуляцию с определением его порога (минимальная мощность индуктора, при которой регистрируется воспроизводимый ВМО амплитудой 50–100 мкВ) в затылочно-теменной области ипсилатерально исследуемой мышце (центр койла на 3 см кзади и 6 см латеральнее точки Cz по системе «10–20») (рис. 2). Регистрируют ВМО с максимальной амплитудой и минимальной латентностью, который воспроизводится в трех сериях стимуляции (рис. 1В, Г).
Рис. 2. Методика выполнения периферической транскраниальной магнитной стимуляции лицевого нерва у детей: схема стандартного расположения койла и электродов при регистрации вызванного моторного ответа m. nasalis; Active – активный электрод, Ref – референтный электрод
Обзор применения лучевых методов исследования в диагностике невропатии лицевого нерва
Рутинное лабораторное и нейровизуализационное обследование при типичной клинической картине обычно не проводится, однако в части случаев (до 5%) под «маской» ПБ могут скрываться неоплазии и отогенные процессы, которые с высокой чувствительностью и специфичностью (83 и 88% соответственно) могут быть выявлены с помощью МРТ с контрастным усилением [2].
Структуру экстракраниальной части ЛН можно оценить с помощью ультразвукового высокочастотного датчика, используемого для визуализации поверхностно расположенных нервов и мышц. Ультразвуковое исследование (УЗИ) экстракраниальной части ЛН имеет диагностическую и прогностическую значимость у детей на 10–15-й день от дебюта НЛН. Неблагоприятный прогноз (ШХБ > 2 через 1 месяц от дебюта) был связан с утолщением ЛН в области сосцевидного отростка (диаметр ЛН более 1,8 мм) [16]. МРТ с получением субмиллиметровых изображений высокого разрешения посредством сильного Т2-взвешенного 3D-градиентного эха по протоколам SSFP (англ. steady-state free precession) также применялась для оценки экстракраниального сегмента ЛН у здоровых обследованных на томографе с напряженностью магнитного поля 3 Тл, при этом авторы делают выводы о возможности визуализации экстракраниальных отделов ЛН вплоть до височных и лицевых ветвей [17]. Ранее экстракраниальные отделы ЛН были исследованы с применением томографов с напряженностью магнитного поля 1,5 Тл, а также 3 Тл, при этом были использованы как специальные поверхностные магнитные катушки, так и стандартные магнитные катушки для исследования головы; установлено, что импульсные последовательности SSFP с толщиной среза менее 1 мм обладают более высокой чувствительностью при определении ветвей ЛН [18].
В рамках представлений о влиянии гипотермии на возможность развития ПБ представляют интерес исследования, в которых при помощи МРТ была оценена глубина залегания ЛН на уровне его выхода из шилососцевидного отверстия у взрослых пациентов с ПБ и отмечено более поверхностное залегание ЛН со стороны поражения [19]. Перспективным направлением представляется исследование глубины залегания ЛН в области выхода из шилососцевидного отверстия с помощью УЗИ с датчиком высокого разрешения. Согласно другой концепции патогенеза ПБ, в качестве основного механизма повреждения ЛН выступает его сдавление за счет отека в наиболее узких отделах лицевого канала (ЛК) с последующей ишемией [20, 21]. Были проведены исследования для оценки роли диаметра ЛК в патогенезе и тяжести течения ПБ на основании данных компьютерной томографии (КТ) у взрослых пациентов [22]. Отмечено, что диаметр ЛК в лабиринтном сегменте служит фактором риска развития ПБ, выявлена взаимосвязь между оценкой по ШХБ и диаметром ЛК на уровне второго колена, при этом на том же уровне не было обнаружено значимой разницы в диаметре ЛК на пораженной и контралатеральной стороне [22]. Впоследствии были проведены исследования по оценке соотношения диаметра ЛК по данным КТ с размерами ЛН при МРТ на постконтрастных 3D Т1-взвешенных изображениях (ВИ) у взрослых пациентов [23]. По их результатам высказано предположение о том, что соотношение диаметра ЛН к ЛК на уровне лабиринтного сегмента и коленчатого узла может выступать фактором риска для развития ПБ; кроме того, данное соотношение в лабиринтном сегменте может влиять на степень тяжести поражения нерва по ШХБ [23].
Представляет интерес работа, в которой оценивалось влияние размеров начальных отделов лабиринтного сегмента ЛН по данным КТ на прогноз восстановления функции ЛН при ПБ; в данном исследовании также отмечено влияние индекса массы тела пациента на прогноз [24].
Исследования лицевого канала в педиатрии с использованием КТ немногочисленны. В частности, были проведены ретроспективные исследования по оценке динамики развития ЛК у детей (КТ выполнялась по поводу сенсоневральной тугоухости, в том числе при подготовке к кохлеарной имплантации). Описаны значимые изменения длины и ширины различных сегментов ЛК, а также углов ЛК на уровне первого и второго колена нерва в ходе онтогенеза [25].
Накопление контрастного вещества ЛН при МРТ как в группах здоровых обследованных, так и у пациентов с ПБ широко известно и достаточно подробно исследовано у взрослых. Для клинической практики очень важна выявленная более высокая чувствительность последовательностей градиентного эха по сравнению со спин-эхо последовательностями в оценке накопления контрастного вещества ЛН [26]. При этом в ранее проводимых исследованиях имеются противоречия в отношении локализации накопления контрастного вещества в различных сегментах ЛН у здоровых обследованных: если в наиболее ранних работах отмечалось отсутствие накопления контрастного вещества на уровне слухового прохода и в лабиринтном сегменте [27], более поздние исследования на томографах с напряженностью магнитного поля в 3 Тл выявили умеренное накопление контрастного вещества ЛН в данных сегментах у здоровых обследованных [28]. Тем не менее большинство авторов сходятся во мнении, что интенсивное накопление контрастного вещества ЛН на уровне дистального отдела внутреннего слухового прохода и в лабиринтном сегменте характерно для пациентов с ПБ, однако выявленные изменения следует сопоставлять с клиническими данными [29, 30]. Есть также исследования применения динамического контрастирования при МРТ у пациентов с ПБ, в ходе которых получены стабильные и воспроизводимые данные о накоплении ЛН контрастного вещества [31].
Исследования с применением тонкосрезовых SSFP Т2-взвешенных изображений (ВИ) высокого разрешения обнаружили корреляцию между риском развития ПБ и площадью ЛН на уровне внутреннего слухового прохода [32]. При последующих исследованиях с применением аналогичных последовательностей также была выявлена большая площадь ЛН в цистернальном сегменте со стороны поражения [33].
Есть работа по применению МРТ в оценке ЛН у пациентов с синдромом Рамсея Ханта (ассоциирован с вирусом герпеса III типа – Varicella Zoster), в которой отмечается повышенное накопление контрастного вещества в лабиринтном отделе ЛН и в коленчатом узле [34]. Другие авторы считают, что наличие отечных изменений в ячейках сосцевидного отростка может служить дифференциально-диагностическим критерием при синдроме Рамсея Ханта, так как при ПБ они обычно не выявляются [35].
Исследования функциональной МРТ отмечают возможность дальнейшего применения данной методики не только с позиции оценки функциональных изменений в коре головного мозга, но и для прогнозирования восстановления функций нерва в результате лечения [36].
Применение методики диффузионно-тензорной МРТ (ДТ-МРТ) ранее исследовалось преимущественно для проведения МР-трактографии в рамках предоперационного планирования при лечении шванном лицевого нерва [37, 38]. На текущий момент нам неизвестны другие исследования по применению диффузионно-тензорных последовательностей (англ. diffusion tensor imaging, DTI) при диагностике патологии лицевого нерва. При этом ранее проводились исследования значений фракционной анизотропии (ФА) и других показателей, получаемых при ДТ-МРТ у пациентов с патологией зрительного [39] и тройничного [40] нервов.
ДТ-МРТ представляет собой разновидность диффузионной методики, при которой используется анизотропная модель диффузии, учитывающая разнонаправленность диффузии воды в тканях [41]. Эта модель вызывает большой интерес, поскольку она содержит большое количество информации о лежащей в ее основе анатомической архитектуре живых тканей.
Одним из важных количественных параметров оценки числовых показателей ДТ-МРТ считается коэффициент ФА, который может варьировать от 0 до 1 в зависимости от направленности диффузии воды по волокнам. Большинство патологических процессов, за исключением острой ишемии, имеют тенденцию к уменьшению анизотропии, которая сама по себе не дает конкретного показателя точного характера микроструктурного повреждения. Так, измерение показателя ФА позволяет судить о суммарной направленности движения протонов вдоль волокон. Снижение значений ФА свидетельствует о патологических процессах, изменяющих микроструктуру вещества, таких как отек, снижение количества миелина, смешанная ориентация волокон, разобщение волокон или их разрыв, сочетающиеся с повреждением миелина, гибелью нейронов, изменением внеклеточного пространства [42, 43]. Учитывая, что в ходе проведенных исследований преимущественно оценивали размеры периферических отделов ЛН и накопление ими контрастного вещества, в фокусе будущих работ, на наш взгляд, должна быть оценка показателей ФА на уровне расположения моторных ядер ЛН как показателя микроструктурных изменений вещества головного мозга на этом уровне.
Для более углубленного изучения микроструктуры вещества головного мозга при различных патологических состояниях используются другие показатели ДТ-МРТ – аксиальная диффузивность (учитывает направленность протонов водорода по основной оси нервного волокна), радиальная диффузивность (учитывает направленность протонов водорода перпендикулярно основной оси нервного волокна), средняя диффузивность (показатель, усредняющий предыдущие показатели) [41].
Методика проведения мультипараметрической магнитно-резонансной томографии, применяемая в ФГБУ ДНКЦИБ ФМБА России
В нашем центре мы используем комплексную диагностику ПБ. МП-МРТ проводится по стандартизированному протоколу нейровизуализации на томографе с напряженностью магнитного поля 1,5 Тл. Стандартный протокол МП-МРТ в ФГБУ ДНКЦИБ ФМБА России включает основные структурные импульсные последовательности (T2-ВИ TSE; T2-FLAIR-ВИ; 3D_T1_TFE), диффузионные последовательности (DWI (b-фактор 0, 500, 1000 с/мм2), DTI), изображения, взвешенные по магнитной восприимчивости (SWI), МР-спектроскопию, а также МР-перфузию и получение постконтрастных Т1-ВИ (3D_T1_TFE) при проведении внутривенного контрастирования.
Дополнительно используются субмиллиметровые тонкосрезовые Т2-ВИ высокого разрешения для оценки черепных нервов (SSFP с толщиной среза 0,5 мм). Для оценки структур внутреннего уха были получены Т1-ВИ (3D_T1_ DIXON) с толщиной среза 1 мм (TR – 7 мс; TE – 4 мс; flip angle – 10°).
Данные многовоксельной МР-спектроскопии по водороду (1H) получены на уровне двигательных ядер ЛН в варолиевом мосту.
При проведении МР-перфузии оцениваются показатели объема мозгового кровотока (англ. cerebral blood volume, CBV), скорости мозгового кровотока (англ. cerebral blood flow, CBF), среднего времени прохождения контрастного вещества (англ. mean transit time, MTT), времени до пика контрастирования (англ. time to peak, TTP) с построением карт мозгового кровотока при постпроцессинговой обработке и расчетом отношения характеристик в зоне интереса к тем же характеристикам в неизмененном контралатеральном участке. МР-перфузия применяется для оценки кровотока в области залегания двигательных ядер лицевого нерва в варолиевом мосту, а также при дифференциальной диагностике в случаях вторичной невропатии лицевого нерва. Авторам неизвестны исследования, в которых МР-перфузия применялась бы при обследовании пациентов с НЛН, в связи с чем, на наш взгляд, эта методика представляет особый интерес.
ДТ-МРТ мы применяем для оценки значений ФА на уровне моторных ядер ЛН в варолиевом мосту. Измерение ФА проводится путем построения циркулярной области интереса (англ. region of interest, ROI) на стороне поражения и контралатерально. Аналогично осуществляется оценка измеряемого коэффициента диффузии.
Для наглядности представляем МП-МРТ ребенка без выявленных патологических изменений со стороны черепно-мозговых нервов согласно клиническим данным и при МП-МРТ (рис. 3) Исследование с контрастированием у ребенка без НЛН проводилось по другим показаниям для исключения острого демиелинизирующего процесса.
Рис. 3. Пациент Г. Магнитно-резонансная томография (МРТ) головного мозга: А – прицельная T2-SSFP на область мосто-мозжечкового угла; Б – Т1-взвешенное изображение с контрастным усилением; В – диффузионно-тензорная МРТ (фракционная анизотропия); Г – Т2*-перфузия (здесь и далее графики перфузии отражают зависимость повышения интенсивности МР-сигнала, то есть накопления контрастного вещества (вертикальная ось) от времени (горизонтальная ось), тем самым иллюстрируя основные показатели перфузии – relCBV, TTP, MTT). На изображениях T2-SSFP патологические изменения на уровне прохождения лицевых нервов во внутренних слуховых проходах (А), повышенное накопление вещества корешками лицевых нервов (Б) не определяются. Показатели фракционной анизотропии (В) и Т2*-перфузии (Г) на уровне моторных ядер лицевых нервов симметричны
ЭНМГ и периферическая ТМС лицевого нерва выполняются по стандартным методикам. Оцениваются показатели мигательного рефлекса, амплитуды М-ответов и ВМО носовой мышцы (m. nasalis) здоровой и пораженной стороны, их соотношение в виде ЭНМГ- и ТМС-коэффициентов. С помощью УЗИ не только определяется диаметр ЛН пораженной и здоровой стороны, но также проводится сравнение показателей глубины залегания ЛН в области шилососцевидного отверстия с двух сторон. УЗИ лицевого нерва выполняется с использованием высокочастотного линейного датчика 18 МГц, в норме в области выхода из шилососцевидного отверстия нерв представлен трубчатой гипоэхогенной структурой с гиперэхогенными стенками. Методика сбора УЗ-показателей (диаметра и глубины залегания ЛН) представлена на рис. 4. Для сбора усредненных значений исследование проводится в наиболее толстой части ЛН с включением гиперэхогенных стенок при трехкратном повторном измерении.
Рис. 4. Измерение диаметра и глубины залегания лицевого нерва: А – положение ультразвукового датчика; Б – схема измерения диаметра и глубины залегания лицевого нерва. Белая линия – диаметр (1,72 мм), зеленая линия – глубина залегания (8,65 мм); ПР ЛН – правый лицевой нерв, СО – сосцевидный отросток
В приводимых ниже клинических наблюдениях представлены данные нейрофизиологических методик и МП-МРТ детей с клинико-неврологическими данными, свидетельствующими о типичном течении ПБ, при этом картина МП-МРТ в одном случае исключала неопластический процесс и соответствовала проявлениям ПБ, в других же двух случаях были выявлены изменения, соответствующие объемным образованиям, что значимо повлияло на тактику лечения.
Клинические наблюдения
Пациентка З. 14 лет поступила в ФГБУ ДНКЦИБ ФМБА России на 7-й день от начала заболевания с жалобами на асимметрию лица справа. Известно, что асимметрия лица постепенно нарастала в течение 3 дней, при этом признаков инфекционного процесса, нарушения общей и специальной чувствительности не отмечалось. Амбулаторное лечение у невролога по месту жительства (витамины группы В, пентоксифиллин) без эффекта.
В анамнезе эпизодические мигренеподобные головные боли, сопровождающиеся рвотой, с самостоятельным регрессом симптоматики к 12 годам; ветряная оспа в детском возрасте (точная дата неизвестна). Эпидемиологический анамнез: за пределы места жительства не выезжала, контакт с инфекционными больными отрицает.
Соматический статус: без особенностей. В неврологическом статусе: признаки периферического прозопареза справа 4-й степени по шкале Хауса – Бракмана (в том числе отсутствие движения лба, лагофтальм 3–4 мм, слезотечение, сглаженность носогубной складки, симптом ракетки влево), в остальном общемозговой, менингеальной и очаговой неврологической симптоматики не выявлено.
Клинический диагноз: «Невропатия правого лицевого нерва средней степени тяжести, уровень поражения ниже барабанной струны».
При дообследовании: полимеразная цепная реакция кала на энтеровирусы, полимеразная цепная реакция мазка из зева и носоглотки на SARS-CoV-2, антитела (IgM + IgG) к боррелиям методом иммуноферментного анализа – отрицательно. IgG к вирусу простого герпеса 1-го типа методом иммуноферментного анализа – положительно, коэффициент позитивности 15,6. В клиническом анализе крови показатели в пределах возрастной нормы. Консультация офтальмолога: OU – миопия средней степени.
Выполнена ЭНМГ (рис. 5А, Б, Д): демиелинизирующее поражение правого ЛН с признаками замедления проведения по дуге мигательного рефлекса. ЭНМГ-признаков значимой аксонопатии нерва на момент исследования не выявлено (ЭНМГ-коэффициент 95%). Произвольная сократительная активность мимических мышц снижена справа с m. frontalis на 45%, с m.orb oculi на 30%, с m. nasalis на 30%, с m. orb oris на 40% (по сравнению с левой стороной). По данным ТМС – аксональная возбудимость ЛН с двух сторон симметричная, значимого снижения амплитуды ВМО на стороне поражения не выявлено (рис. 5В, Г). По данным УЗИ диаметр и глубина залегания ЛН сопоставимы со здоровой стороной (рис. 5Е).
Рис. 5. Нейрофизиологические данные и результаты ультразвукового исследования лицевого нерва у пациентки З. 14 лет с невропатией правого лицевого нерва (исследование на 14-й день от дебюта). А. – М-ответ m. nasalis пораженной стороны амплитудой 1,9 мВ (коэффициент электронейромиографии 95%); Б – М-ответ m. nasalis здоровой стороны амплитудой 2,0 мВ; В – вызванный моторный ответ m. nasalis пораженной стороны амплитудой 1,7 мВ; Г – вызванный моторный ответ m. nasalis здоровой стороны амплитудой 2,2 мВ; Д – по данным мигательного рефлекса увеличение латентности R1-компонента на стороне поражения; Е – результаты ультразвукового исследования правого лицевого нерва (пораженная сторона, ПР ЛН ПОР): диаметр 1,57 мм, глубина залегания 7,94 мм
Проведена МП-МРТ головного мозга и черепно-мозговых нервов. Заключение: МР-признаки локального участка повышенного накопления контрастного вещества правым ЛН во внутреннем слуховом проходе – изменения могут соответствовать невриту ЛН (рис. 6).
Рис. 6. Пациентка З. Магнитно-резонансная томография (МРТ) головного мозга: А – прицельная T2-SSFP на область мосто-мозжечкового угла; Б – Т1-взвешенное изображение с контрастным усилением; В – диффузионно-тензорная МРТ (фракционная анизотропия, ФА); Г – Т2*-перфузия. На изображении T2-SSFP патологические изменения на уровне прохождения лицевых нервов во внутренних слуховых проходах не определяются (А). При контрастировании отмечается накопление контрастного вещества правым лицевым нервом во внутреннем слуховом проходе (Б, красная стрелка). На уровне моторных ядер лицевого нерва в заднем отделе варолиевого моста на изображениях ФА на стороне поражения отмечается минимальное уменьшение показателя ФА до 0,33 (В, черная стрелка) и признаки гипоперфузии справа (Г, оранжевый график) по сравнению с контралатеральной стороной (Г, синий график). Данный пример демонстрирует типичные изменения при мультипараметрической МРТ у пациента с параличом Белла
Лечение: ибупрофен в таблетках (400 мг 3 раза в сутки № 5), ацетазоламид в таблетках (0,25 мг № 7), раствор витаминов группы В (В1/В6, чередуя через день по 1 мл внутримышечно), неостигмина метилсульфат 0,6 мг подкожно 1 раз в сутки, массаж, лечебная физическая культура.
На фоне терапии зафиксировано уменьшение выраженности асимметрии лица. Контрольный осмотр и выполнение ЭНМГ через 2 месяца патологии не выявили.
Далее представлены изображения МП-МРТ пациентов с НЛН и клинико-неврологическими данными, свидетельствующими в пользу ПБ. Для максимальной наглядности вышеуказанные клинические случаи (№ 2 и № 3) представлены в виде таблицы (рис. 7).
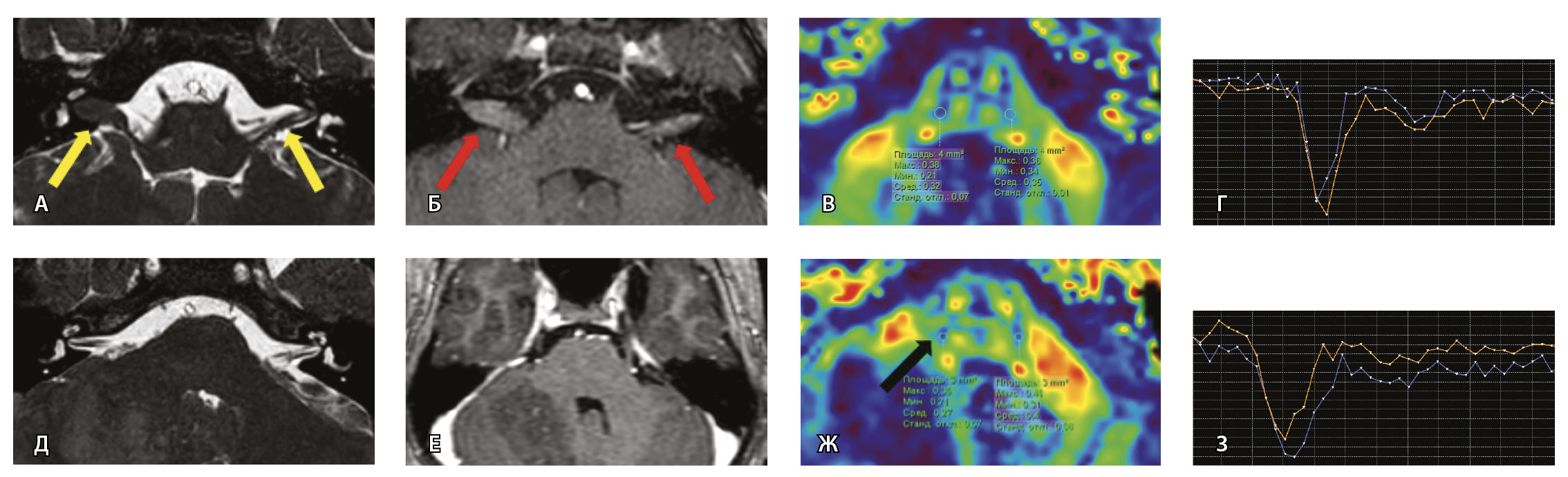
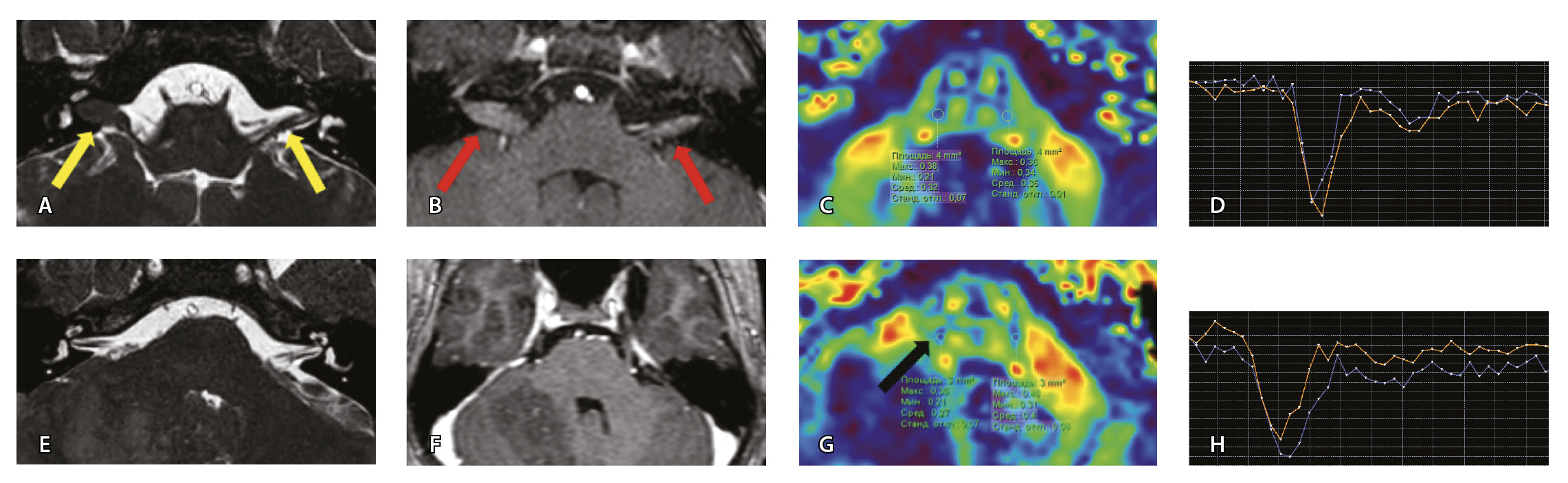
Рис. 7. Клиническое наблюдение 2, пациент 6 лет (А, Б, В, Г). Магнитно-резонансная томография (МРТ) головного мозга: А – прицельная T2-SSFP на область мосто-мозжечкового угла; Б – Т1-взвешенное изображение с контрастным усилением; В – диффузионно-тензорная МРТ (фракционная анизотропия, ФА); Г – Т2*-перфузия. На изображении T2-SSFP отмечается утолщение корешков лицевого, вестибуло-кохлеарного нервов во внутренних слуховых проходах (А, желтые стрелки) и интенсивное накопление ими контрастного вещества (Б, красные стрелки). На уровне моторных ядер лицевых нервов в заднем отделе варолиевого моста значения ФА симметричны (В), признаков гипо-/гиперперфузии не выявлено (Г).
Клиническое наблюдение 3, пациент 13 лет (Д, Е, Ж, З). МРТ головного мозга: Д – прицельная T2-SSFP на область мосто-мозжечкового угла; Е – Т1-взвешенное изображение с контрастным усилением; Ж – диффузионно-тензорная МРТ (ФА); З – Т2*-перфузия. На изображении T2-SSFP патологические изменения на уровне прохождения лицевых нервов во внутренних слуховых проходах не определяются (Д). В медиальном отделе правого полушария мозжечка определяется объемное образование, компримирующее стенку IV желудочка и задний отдел варолиевого моста без признаков васкуляризации (Е). На уровне моторных ядер лицевого нерва в заднем отделе варолиевого моста на изображениях ФА на стороне поражения отмечается минимальное уменьшение показателя ФА до 0,27 (Ж, черная стрелка) и признаки гипоперфузии (З, оранжевый график) по сравнению с контралатеральной стороной (З, синий график)
При этом в клиническом наблюдении № 2 из анамнеза жизни известен ранее установленный диагноз лимфобластного лейкоза в стадии ремиссии. В клиническом наблюдении № 3 значимых анамнестических сведений и данных в пользу атипичного течения ПБ получено не было.
Таким образом, при помощи информации, полученной при проведении МП-МРТ, в обоих случаях был установлен симптоматический характер НЛН, обусловленный развитием неопластических процессов. Оба пациента были направлены в профильные хирургические стационары для проведения дальнейшего лечения.
Заключение
В современной клинической практике распространены дополнительные методы инструментального обследования пациентов с НЛН. Нейрофизиологические методики применяются достаточно широко. Наиболее часто применима ЭНМГ, которая позволяет оценить степень поражения ЛН при ПБ, а также прогнозировать возможный исход заболевания. При этом ТМС обладает более высокой чувствительностью в плане выявления ПБ на ранних сроках от начала заболевания.
Проведено большое число исследований применения лучевых методов в диагностике ПБ. Однако на текущий момент основная задача МРТ при ПБ – исключение вторичного (неопластического либо отогенного) генеза НЛН при атипичном клиническом течении заболевания, а также в случае его рецидивирующего течения. Такие исследования представляются перспективными.
Приведенные клинические примеры иллюстрируют известную информацию о том, что вторичное поражение ЛН возможно и при типичной клинико-неврологической картине течения ПБ, тем не менее рутинное обследование пациентов с НЛН не всегда включает в себя нейровизуализацию. Описанные клинические наблюдения демонстрируют потенциальную возможность более широкого применения МП-МРТ в диагностике НЛН, что, в свою очередь, может не только указать на факт отсутствия вторичного генеза НЛН, но и позволить использовать метод для прогнозирования исхода ПБ в совокупности с нейрофизиологическими методиками. Применение МП-МРТ также обусловлено необходимостью оценки как периферических отделов ЛН, так и области залегания моторных ядер ЛН на уровне ствола головного мозга с использованием DTI и измерением показателей ФА в области интереса на уровне варолиева моста. Сегодня в большинстве учреждений при рутинном обследовании пациентов с НЛН данные измерения не проводятся, целесообразность их внедрения в практику должна быть оценена в ходе дальнейших исследований.
Дополнительная информация
Согласие пациента
Законные представители каждого из пациентов добровольно подписали информированное согласие на использование данных исследований, полученных в ФГБУ ДНКЦИБ ФМБА России, в научных и публикационных целях в обезличенной форме.
Финансирование
Работа выполнена по инициативе авторов без привлечения финансирования.
Конфликт интересов
Авторы декларируют отсутствие явных и потенциальных конфликтов интересов, связанных с содержанием настоящей статьи.
Участие авторов
Все авторы внесли существенный вклад в концепцию или дизайн исследования, либо в получение, анализ, интерпретацию данных и написание статьи. Все авторы прочли и одобрили финальную версию статьи перед публикацией, согласны нести ответственность за все аспекты работы и гарантируют, что ими надлежащим образом были рассмотрены и решены вопросы, связанные с точностью и добросовестностью всех частей работы.
About the authors
Natalia V. Marchenko
Pediatric Research and Clinical Center for Infectious Diseases
Email: gmv2006@mail.ru
ORCID iD: 0000-0002-2684-9980
SPIN-code: 9813-1529
MD, PhD, Head of Radiology Department
Russian Federation, ul. professora Popova 9, Saint Petersburg, 197022Dmitry Y. Novokshonov
Pediatric Research and Clinical Center for Infectious Diseases
Author for correspondence.
Email: dunov7@yandex.ru
ORCID iD: 0000-0002-8228-518X
SPIN-code: 6716-4945
Radiologist, Radiology Department
Russian Federation, ul. professora Popova 9, Saint Petersburg, 197022Mariia A. Irikova
Pediatric Research and Clinical Center for Infectious Diseases
Email: dr.bedova@yandex.ru
ORCID iD: 0000-0001-8924-5300
SPIN-code: 9667-3210
Junior Research Fellow, Research Department of Functional and Radiological Diagnostic Methods
Russian Federation, ul. professora Popova 9, Saint Petersburg, 197022Elena Y. Shevchenko
Pediatric Research and Clinical Center for Infectious Diseases
Email: e.sheffchenko@gmail.com
ORCID iD: 0000-0001-6600-6796
SPIN-code: 2777-6583
Radiologist, Radiology Department
Russian Federation, ul. professora Popova 9, Saint Petersburg, 197022Dmitry L. Dubitsky
Pediatric Research and Clinical Center for Infectious Diseases
Email: ddl_spb@mail.ru
ORCID iD: 0000-0002-8277-6050
SPIN-code: 6120-3730
MD, PhD, Head of Computed Tomography Cabinet, Radiologist, Radiology Department
Russian Federation, ul. professora Popova 9, Saint Petersburg, 197022Vladislav B. Voitenkov
Pediatric Research and Clinical Center for Infectious Diseases; Federal Research and Clinical Center of Specialized Medical Care and Medical Technologies
Email: vlad203@inbox.ru
ORCID iD: 0000-0003-0448-7402
SPIN-code: 6190-6930
MD, PhD, Head of Functional Diagnostics Department; Associate Professor, Chair of Nervous Diseases and Neurorehabilitation, Academy of Postgraduate Education
Russian Federation, ul. professora Popova 9, Saint Petersburg, 197022; Orekhovyy bul'var 28, Moscow, 115682Aleksandr V. Alkhazishvili
Almazov National Medical Research Centre
Email: alkhazishvilialex@gmail.com
ORCID iD: 0000-0002-7250-6786
SPIN-code: 7705-5960
MD, PhD, Radiologist, Assistant Professor, Chair of Radiology and Medical Visualization
Russian Federation, ul. Akkuratova 2, Saint Petersburg, 197341Elena Y. Skripchenko
Pediatric Research and Clinical Center for Infectious Diseases;4 St. Petersburg State Pediatric Medical University
Email: wwave@yandex.ru
ORCID iD: 0000-0002-8789-4750
SPIN-code: 9405-2930
MD, PhD, Associate Professor, Head of Scientifical Department of Neuroinfections and Organic Pathology of Nervous System; Professor, Chair of Neonatology with Neurology and Obstetrics and Gynecology Courses, Faculty of Postgraduate and Continuing Professional Education
Russian Federation, ul. professora Popova 9, Saint Petersburg, 197022; ul. Litovskaya 2, Saint Petersburg, 194100References
- Singh A, Deshmukh P. Bell's Palsy: A Review. Cureus. 2022;14(10): e30186. doi: 10.7759/cureus.30186.
- Zimmermann J, Jesse S, Kassubek J, Pinkhardt E, Ludolph AC. Differential diagnosis of peripheral facial nerve palsy: a retrospective clinical, MRI and CSF-based study. J Neurol. 2019;266(10):2488–2494. doi: 10.1007/s00415-019-09387-w.
- Peitersen E. Bell's palsy: the spontaneous course of 2,500 peripheral facial nerve palsies of different etiologies. Acta Otolaryngol Suppl. 2002;(549):4–30.
- Murakami S, Mizobuchi M, Nakashiro Y, Doi T, Hato N, Yanagihara N. Bell palsy and herpes simplex virus: identification of viral DNA in endoneurial fluid and muscle. Ann Intern Med. 1996;124(1 Pt 1):27–30. doi: 10.7326/0003-4819-124-1_part_1-199601010-00005.
- Greco A, Gallo A, Fusconi M, Marinelli C, Macri GF, de Vincentiis M. Bell's palsy and autoimmunity. Autoimmun Rev. 2012;12(2):323–328. doi: 10.1016/j.autrev.2012.05.008.
- Kokotis P, Katsavos S. Effects of Wind Chill Factor, Temperature and Other Meteorological Parameters on the Incidence of Bell's Palsy: Results Based on a Retrospective, 7-Year Long, Greek Population Study. Neuroepidemiology. 2015;45(1):44–49. doi: 10.1159/000433542.
- George E, Richie MB, Glastonbury CM. Facial Nerve Palsy: Clinical Practice and Cognitive Errors. Am J Med. 2020;133(9):1039–1044. doi: 10.1016/j.amjmed.2020.04.023.
- Van Haesendonck G, Jorissen C, Lammers M, Ocak I. Guidelines for the initial management of acute facial nerve palsy. B-ENT. 2022;18(1):67–72. doi: 10.5152/B-ENT.2022.21770.
- Komantsev VN, Pomnikov VG. [Short electromyography course for neurologists and general practitioners]. Saint Petersburg: Beresta; 2021. 184 p.
- Olesov EЕ, Ekusheva EV, Ivanov AS, Olesova VN, Zaslavsky RS, Popov AA. [Features of the results of electromyography of muscles of the maxillofacial region and psychological examination in persons of stressed professions]. Clinical Dentistry (Russia). 2020;3(95):108–112. Russian. doi: 10.37988/1811-153X_2020_3_108.
- Association of Maxillofacial Surgeons and Surgeon Dentists. [Clinical protocol of medical service in patients with facial nerve neuropathy]. Moscow; 2014. 39 p.
- Savitskaya NG, Suponeva NA, Ostafeichuk AV, Yankevich DS. [Èlectroneuromyographiс parameters as prognostic criteria in facial nerve palsy outcome]. Neuromuscular Diseases. 2012;(4):36–42. Russian. doi: 10.17650/2222-8721-2012-0-4-36-42.
- Andresen NS, Zhu V, Lee A, Sebetka W, Kimura J, Hansen MR, Gantz BJ, Sun DQ. Electrodiagnostic testing in acute facial palsy: Outcomes and comparison of methods. Laryngoscope Investig Otolaryngol. 2020;5(5):928–935. doi: 10.1002/lio2.458.
- Happe S, Bunten S. Electrical and transcranial magnetic stimulation of the facial nerve: diagnostic relevance in acute isolated facial nerve palsy. Eur Neurol. 2012;68(5):304–309. doi: 10.1159/000341624.
- Lin HJ, Chen PC, Tsai TT, Hsu SP. Comparison of nerve conduction study and transcranial magnetic stimulation for early diagnosis and prognosis prediction of idiopathic facial palsy. Neurol Sci. 2021;42(10):4149–4154. doi: 10.1007/s10072-021-05095-4.
- Klimkin AV, Voytenkov VB, Skripchenko NV, Vasil'eva YuP, inventors; Pediatric Research and Clinical Center for Infectious Diseases, assignee. Method for prediction of facial nerve recovery in neuropathy in children. Russian Federation patent 2695000. 2019 Jul 18.
- Guenette JP, Ben-Shlomo N, Jayender J, Seethamraju RT, Kimbrell V, Tran NA, Huang RY, Kim CJ, Kass JI, Corrales CE, Lee TC. MR Imaging of the Extracranial Facial Nerve with the CISS Sequence. AJNR Am J Neuroradiol. 2019;40(11):1954–1959. doi: 10.3174/ajnr.A6261.
- Lee MK, Choi Y, Jang J, Shin NY, Jung SL, Ahn KJ, Kim BS. Identification of the intraparotid facial nerve on MRI: a systematic review and meta-analysis. Eur Radiol. 2021;31(2):629–639. doi: 10.1007/s00330-020-07222-9.
- Karaca H, Soydan L, Yildiz S, Toros SZ. Measurement of the depth of facial nerve at the level of stylomastoid foramen using MR imaging in Bell's palsy. Clin Imaging. 2019;58:34–38. doi: 10.1016/j.clinimag.2019.06.008.
- Kefalidis G, Riga M, Argyropoulou P, Katotomichelakis M, Gouveris C, Prassopoulos P, Danielides V. Is the width of the labyrinthine portion of the fallopian tube implicated in the pathophysiology of Bell's palsy?: a prospective clinical study using computed tomography. Laryngoscope. 2010;120(6):1203–1207. doi: 10.1002/lary.20896.
- Zhang W, Xu L, Luo T, Wu F, Zhao B, Li X. The etiology of Bell's palsy: a review. J Neurol. 2020;267(7):1896–1905. doi: 10.1007/s00415-019-09282-4.
- Celik O, Eskiizmir G, Pabuscu Y, Ulkumen B, Toker GT. The role of facial canal diameter in the pathogenesis and grade of Bell's palsy: a study by high resolution computed tomography. Braz J Otorhinolaryngol. 2017;83(3):261–268. doi: 10.1016/j.bjorl.2016.03.016.
- Celik O, Ulkumen B, Eskiizmir G, Can F, Pabuscu Y, Kamiloglu U, Toker GT, Vidin N. The ratio of facial nerve to facial canal as an indicator of entrapment in Bell's palsy: A study by CT and MRI. Clin Neurol Neurosurg. 2020;198:106109. doi: 10.1016/j.clineuro.2020.106109.
- Hervochon R, Madelain V, Seiller I, Lahlou G, Nguyen Y, Tankéré F. CT and clinical prognostic factors in Bell's palsy: A study of 56 cases. Clin Otolaryngol. 2019;44(5):861–864. doi: 10.1111/coa.13392.
- Beger O, Erdoğan O, Kara E, Vayisoğlu Y, Görür K, İsmi O, Gayi S, Hamzaoğlu V, Özalp H, Dağtekin A, Bağdatoğlu C, Öztürk AH, Talas DÜ. Morphometric properties of the facial canal in children: A retrospective computed tomography study. Int J Pediatr Otorhinolaryngol. 2019;124:59–67. doi: 10.1016/j.ijporl.2019.05.039.
- Dehkharghani S, Lubarsky M, Aiken AH, Kang J, Hudgins PA, Saindane AM. Redefining normal facial nerve enhancement: healthy subject comparison of typical enhancement patterns – unenhanced and contrast-enhanced spin-echo versus 3D inversion recovery-prepared fast spoiled gradient-echo imaging. AJR Am J Roentgenol. 2014;202(5):1108–1113. doi: 10.2214/AJR.13.11659.
- Gebarski SS, Telian SA, Niparko JK. Enhancement along the normal facial nerve in the facial canal: MR imaging and anatomic correlation. Radiology. 1992;183(2):391–394. doi: 10.1148/radiology.183.2.1561339.
- Hong HS, Yi BH, Cha JG, Park SJ, Kim DH, Lee HK, Lee JD. Enhancement pattern of the normal facial nerve at 3.0 T temporal MRI. Br J Radiol. 2010;83(986):118–121. doi: 10.1259/bjr/70067143.
- Al-Noury K, Lotfy A. Normal and pathological findings for the facial nerve on magnetic resonance imaging. Clin Radiol. 2011;66(8):701–707. doi: 10.1016/j.crad.2011.02.012.
- Chhabda S, Leger DS, Lingam RK. Imaging the facial nerve: A contemporary review of anatomy and pathology. Eur J Radiol. 2020;126:108920. doi: 10.1016/j.ejrad.2020.108920.
- Wang Y, Tang W, Chai Y, Zhu W, Li X, Wang Z. Diagnostic value of dynamic contrast-enhanced magnetic resonance imaging in Bell's palsy. Acta Radiol. 2021;62(9):1163–1169. doi: 10.1177/0284185120958414.
- Ozan Sanhal E, Arslan H. Evaluation of the facial nerve and internal auditory canal cross-sectional areas on three-dimensional fast imaging employing steady-state acquisition magnetic resonance imaging in Bell’s palsy. Turk J Med Sci. 2018;48(3):525–530. doi: 10.3906/sag-1707-142.
- Erdoğan O, Kılıç S, Beger O, Vayısoğlu Y, Kara E, Sağlam E, Hamzaoğlu V, Özalp H, Bağdatoğlu C, Talas DÜ. Evaluation of Bell's palsy in the cerebellopontine angle: An MRI study. Int J Clin Pract. 2021;75(5): e13971. doi: 10.1111/ijcp.13971.
- Minakata T, Inagaki A, Sekiya S, Murakami S. Contrast-enhanced magnetic resonance imaging of facial nerve swelling in patients with severe Ramsay Hunt syndrome. Auris Nasus Larynx. 2019;46(5):687–695. doi: 10.1016/j.anl.2018.12.015.
- Choi JW, Lee J, Lee DH, Shin JE, Kim CH. Mastoid effusion on temporal bone MRI in patients with Bell's palsy and Ramsay Hunt syndrome. Sci Rep. 2021;11(1):3127. doi: 10.1038/s41598-021-82984-w.
- Calistri V, Mancini P, Raz E, Nicastri M, Tinelli E, Russo FY, Fiorelli M, De Seta E, Carpentieri D, De Vincentiis M, Caramia F. fMRI in Bell's Palsy: Cortical Activation is Associated with Clinical Status in the Acute and Recovery Phases. J Neuroimaging. 2021;31(1):90–97. doi: 10.1111/jon.12798.
- Castellaro M, Moretto M, Baro V, Brigadoi S, Zanoletti E, Anglani M, Denaro L, Dell'Acqua R, Landi A, Causin F, d'Avella D, Bertoldo A. Multishell Diffusion MRI-Based Tractography of the Facial Nerve in Vestibular Schwannoma. AJNR Am J Neuroradiol. 2020;41(8):1480–1486. doi: 10.3174/ajnr.A6706.
- Wu X, Li M, Zhang Z, Li X, Di M, Song G, Wang X, Li M, Kong F, Liang J. Reliability of Preoperative Prediction of the Location of the Facial Nerve Using Diffusion Tensor Imaging-Fiber Tracking in Vestibular Schwannoma: A Systematic Review and Meta-Analysis. World Neurosurg. 2021;146:351–361.e3. doi: 10.1016/j.wneu.2020.10.136.
- Xie Y, Zhang Y, Yao Y, Liu D, Chen B, Zhu W. Fractional anisotropy helps to differentiate the optic nerve impairment between neuromyelitis optica spectrum disorders and multiple sclerosis. Eur Radiol. 2022;32(9):6158–6166. doi: 10.1007/s00330-022-08779-3.
- Chen F, Chen L, Li W, Li L, Xu X, Li W, Le W, Xie W, He H, Li P. Pre-operative declining proportion of fractional anisotropy of trigeminal nerve is correlated with the outcome of micro-vascular decompression surgery. BMC Neurol. 2016;16:106. doi: 10.1186/s12883-016-0620-5.
- Larvie M, Fischl B. Volumetric and fiber-tracing MRI methods for gray and white matter. Handb Clin Neurol. 2016;135:39–60. doi: 10.1016/B978-0-444-53485-9.00003-9.
- Mori S, Tournier JD. Introduction to diffusion tensor imaging: Аnd higher order models. 2nd ed. Academic Press; 2014. doi: 10.1016/C2011-0-07607-X.
- Ceccarelli A, Rocca MA, Falini A, Tortorella P, Pagani E, Rodegher M, Comi G, Scotti G, Filippi M. Normal-appearing white and grey matter damage in MS. A volumetric and diffusion tensor MRI study at 3.0 Tesla. J Neurol. 2007;254(4):513–518. doi: 10.1007/s00415-006-0408-4.
Supplementary files

















