A clinical case of a big urethral recurrence after cystectomy in a patient with invasive bladder cancer
- Authors: Balkanov A.S.1, Vinogradov A.V.1, Bazaev V.V.1, Stepanova E.A.1, Garmash S.V.1
-
Affiliations:
- Moscow Regional Research and Clinical Institute (MONIKI)
- Issue: Vol 50, No 1 (2022)
- Pages: 71-75
- Section: CLINICAL CASES
- Published: 28.04.2022
- URL: https://almclinmed.ru/jour/article/view/1667
- DOI: https://doi.org/10.18786/2072-0505-2022-50-011
- ID: 1667
Cite item
Full Text
Abstract
The urethral recurrence (UR) of invasive bladder cancer (iBC) after cystectomy is observed in 6% of patients at highest. In this clinical observation of a 38-year old man, a mass (103 × 38 mm) was found in the proximal urethra by magnetic resonance imaging at 15 months after radical (R0) cystectomy for iBC pT4aN0M0. The clinical picture of UR was characterized by urethrorrhagia and priapism with associated advanced pain syndrome. At 3 months after surgical resection of the UR and subsequent chemotherapy, distant lung, liver and bone metastases were found, which led to the patient's death at 5 months after penectomy. This clinical case indicates that after radical cystectomy, the occurrence of a big-sized urethral recurrence of iBC can cause rapid development of distant metastatic disease.
Full Text
В мире стандартизованная по возрасту заболеваемость раком мочевого пузыря (по данным на 2018 г.) составляет 9,6 случая на 100 000 мужского населения и 2,4 случая на 100 000 женского населения, при этом в Европе и Северной Америке этот показатель возрастает до 20 и 4,5 случая соответственно [1]. Возраст более 90% больных раком мочевого пузыря превышает 55 лет. В 20% случаев рак мочевого пузыря имеет инвазивный компонент [2]. Безрецидивная выживаемость при стадии инвазивного рака мочевого пузыря (иРМП) Т3 не превышает 18 месяцев, а Т4 – 11 месяцев [3], при N1–2 равна 1,3 года (пятилетняя канцерспецифическая выживаемость у таких пациентов составляет всего 39,4%) [4]. Наиболее эффективным методом лечения иРМП считается цистэктомия (ЦЭ). Уровень смертности от рака мочевого пузыря, обусловленной отдаленным метастазированием (прогрессированием) в кости (24,7%), легкие (19,4%) и печень (18,1%) [5, 6], составляет 3,2 случая на 100 000 мужского населения и 0,9 на 100 000 женского [1].
Уже в первые 2 года после ЦЭ локорегионарный рецидив и/или прогрессирование диагностируются у 60% пациентов. Только локорегионарный рецидив выявляется у 20–33% таких пациентов, локорегионарный рецидив в сочетании с прогрессированием – еще у 27% [3]. После ЦЭ локорегионарный рецидив иРМП в области уротелия мочеточника, почечной лоханки и уретры возникает в 13,7–23,5% случаев [5, 6]. Рецидив только в области уретры (уретральный рецидив – УР) диагностируется у 0,8–6,1% пациентов через 13,3 месяца после ЦЭ [7, 8].
В немногочисленных публикациях приведены данные, согласно которым наиболее значимое негативное влияние на выживаемость пациентов с иРМП при возникновении УР наблюдается только в случае развития соответствующего симптомокомплекса, что косвенно свидетельствует о наличии в УР инвазивного компонента [8, 9]. Мы представляем клиническое наблюдение стремительного паренхиматозного метастазирования у молодого пациента с УР больших размеров после выполнения ЦЭ по поводу иРМП, развитие которого сопровождалось уникальной симптоматикой, обусловленной глубокой инвазией.
Клиническое наблюдение
Пациент З. мужского пола 38 лет. Появление гематурии отметил в январе 2019 г. При магнитно-резонансной томографии (МРТ) малого таза обнаружена опухоль в области дна и тела мочевого пузыря размером 65 × 25 мм с наличием инвазивного компонента (рис. 1). Пациенту выполнена цистоскопия с ТУР-биопсией – диагностирована инвазивная уротелиальная карцинома с распространением на шейку мочевого пузыря. В урологическом отделении ГБУЗ МО МОНИКИ им. М.Ф. Владимирского 24.07.2019 выполнена цистпростатвезикулэктомия с двусторонней регионарной (подвздошные и обтураторные лимфоузлы) лимфодиссекцией и последующей гетеротопической реконструкцией мочевого резервуара по Брикеру.
Рис. 1. На серии томограмм малого таза в режимах Т2 и Т2 в режиме Stir в сагиттальной, коронарной и аксиальной проекциях определяется диффузное опухолевое поражение мочевого пузыря, стенка с признаками инвазии мышечного слоя. Регионарные лимфатические узлы без признаков поражения
Гистологическое исследование операционного материала подтвердило наличие уротелиальной карциномы мочевого пузыря высокой степени злокачественности (G3) без признаков сосудистой и периневральной инвазии с инвазией не только мышечного слоя, но и паравезикальной жировой клетчатки, паренхимы обеих долей предстательной железы. Опухолевой инвазии в краях резекции не обнаружено. Морфологических признаков метастатического поражения регионарных лимфоузлов не установлено.
С учетом клинических и морфологических данных у пациента З. диагностирован инвазивный рак мочевого пузыря pT4аN0M0 G3. От дальнейшего лечения пациент воздержался.
Через 10 месяцев после ЦЭ (18.05.2020) при МРТ малого таза (рис. 2) по ходу наружных подвздошных сосудов слева обнаружено мягкотканное образование размером до 92 мм, накапливающее контрастный препарат, с деструкцией левых отделов крестца (до 52 мм) в месте его прилежания к вышеуказанному образованию. С диагнозом регионарного рецидива в зоне подвздошных лимфоузлов с 06.07.2020 по 21.08.2020 пациенту проведена дистанционная лучевая терапия только на область подвздошных лимфоузлов слева до суммарной очаговой дозы 57,5 Гр с одновременной химиотерапией цисплатином.
Рис. 2. Магнитно-резонансная томограмма малого таза, после радикальной цистпростатэктомии. Прогрессирование заболевания: множественные метастазы в подвздошные лимфоузлы (сплошные стрелки), пресакральную клетчатку и боковые массы крестца слева (пунктирная стрелка), а также вторичное поражение губчатой части мочеиспускательного канала на значительном протяжении с инвазией губчатого и пещеристых тел (открытые стрелки)
23.10.2020 (через 15 месяцев после ЦЭ) в связи с жалобами на уретроррагию и приапизм, который сопровождался выраженным болевым синдромом, выполнена МРТ малого таза. Диагностирован УР размером 103 × 38 мм в границах проксимального отдела полового члена (область губчатого сегмента уретры) с инвазией кавернозных тел (см. рис. 2). 03.12.2020 выполнена ампутация полового члена. В послеоперационном периоде болевой синдром полностью регрессировал.
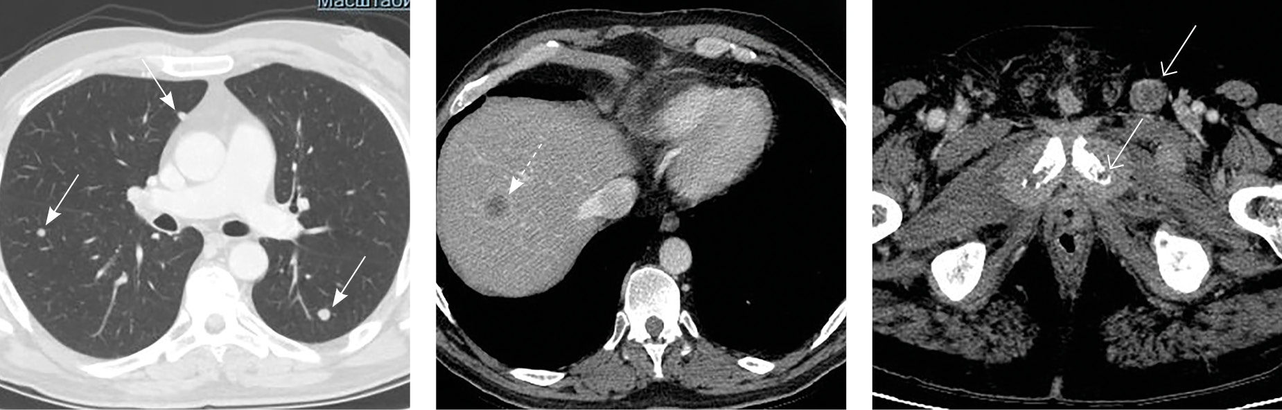
Через 4 недели после пенэктомии пациенту назначена лекарственная противоопухолевая химиотерапия. Однако уже через 2 месяца после ее начала обнаружены отдаленные метастазы в паренхиму легких и печень, в кости таза и лимфатические узлы паховой области (рис. 3). Назначена 2-я линия лекарственной противоопухолевой терапии. Несмотря на проводимую терапию, 12 мая 2021 г. (через 22 месяца после ЦЭ и через 5 месяцев после пенэктомии) зафиксирована смерть пациента.
Рис. 3. Компьютерная томограмма грудной клетки, брюшной полости и малого таза. Дальнейшее прогрессирование заболевания: метастазы в легочную ткань (сплошные стрелки), паренхиму печени (пунктирная стрелка), лонные кости и паховые лимфатические узлы (открытые стрелки)
Обсуждение
После ЦЭ рецидив в области уротелия диагностируют у 3,8–12,98% пациентов с иРМП [3, 4]. Моноклональная теория предполагает развитие такого рецидива как следствие распространения опухолевых клеток из первичной опухоли с током мочи (имплантационный метастаз). Не исключается и автономное возникновение метахронных очагов опухолевого роста на различных участках уротелия [10].
В области верхних отделов мочевыводящей системы (мочеточник, лоханка) рецидив после ЦЭ выявляется у 3,9–6,4% пациентов обычно через 24–36 месяцев после ЦЭ [5, 6]. УР диагностируется чуть раньше – через 13,3 месяца у 0,8–6,1% пациентов [7, 8]. Негативными факторами возникновения УР считают распространение иРМП на простатическую уретру / шейку мочевого пузыря, большой размер опухоли, мультифокальный характер роста опухоли, ожирение, низкую дифференцировку опухоли и позитивный край резекции после ЦЭ [7–13].
Несмотря на то что наиболее эффективным методом выявления локорегионарного рецидива/прогрессирования у пациентов с иРМП считается 18FDG-PET/КТ [5], для диагностики регионарного метастазирования допускается использование как компьютерной, так и магнитно-резонансной томографии. МРТ, в частности, позволяет диагностировать регионарное лимфогенное метастазирование в 76% случаев [14]. Наше наблюдение также подтверждает высокую эффективность использования МРТ для диагностики УР после ЦЭ. Именно МРТ позволило корректно установить размеры УР и верифицировать наличие глубокого инвазивного компонента, обусловившего уникальную клиническую картину, включающую приапизм и выраженный болевой синдром. Следует отметить, что среди наиболее частых симптомов УР – выделение из уретры, кровотечение, которые наблюдаются в 27,7–44,7% случаев – приапизм не упоминается [8].
Считается, что характер реконструктивного этапа после ЦЭ оказывает существенное влияние на риск УР. Так, после гетеротопической реконструкции по Брикеру УР возникает лишь в 2,1% случаев [8, 9, 11, 12]. В нашем наблюдении УР диаметром более 10 см диагностирован в стандартные сроки его выявления – через 15 месяцев после хирургического лечения. Наш пример наглядно показал: не следует полагаться на то, что выполнение гетеротопической реконструкции по Брикеру после ЦЭ у пациентов с распространением иРМП рТ4а на шейку мочевого пузыря станет гарантом снижения риска УР. Наиболее эффективным адъювантным методом в похожей клинической ситуации, направленным на снижение риска УР, должна стать адъювантная лучевая терапия даже в отсутствие морфологических признаков опухолевой инвазии в краях резекции (R0) и лимфогенного метастазирования (N0) [15]. В нашем случае отказ от такого подхода стал причиной возникновения локорегионарного рецидива (в сроки от 10 до 15 месяцев после ЦЭ), в том числе и в проксимальном сегменте уретры.
В настоящем клиническом наблюдении также обращает на себя внимание короткий временной интервал с момента выполнения хирургического лечения УР и появления признаков отдаленного метастазирования, приведшего к гибели пациента. По данным литературы, в случае бессимптомного течения пятилетняя выживаемость у таких пациентов значительно выше, чем при наличии симптомов, – 80 и 41% соответственно [8, 16, 17]. Установлено, что инвазивный характер роста опухоли диагностируется у 95% пациентов, имеющих симптомы УР, и только у 27,6% в отсутствие симптомов [8, 9]. И у нашего пациента наличие симптомов УР было неблагоприятным фактором снижения выживаемости после ЦЭ. Отмеченный в нашем клиническом наблюдении приапизм, обусловленный глубокой инвазией УР в подлежащие ткани, может в определенных обстоятельствах рассматриваться как самостоятельный предиктор стремительного развития отдаленного метастазирования и гибели пациента.
Предпочтительным методом лечения рецидива уротелиальной карциномы в области уретры считается уретрэктомия [8]. В нашем примере значительные размеры образования и глубокая инвазия УР исключали возможность использования уретрэктомии, а наличие выраженного болевого синдрома, обусловленного приапизмом, не позволило использовать методики лечения с отсроченным клиническим эффектом (лучевая терапия / химиотерапия). В итоге безальтернативным методом лечения у данного пациента стала ампутация полового члена, приведшая к полной регрессии болевого синдрома. Считаем, что выбранная тактика лечения при УР больших размеров с вышеописанным симптомокомплексом может служить примером эффективного лечения, повышающего качество жизни пациентов за счет купирования болевого синдрома, но не оказывающего влияния на выживаемость.
Заключение
На примере нашего клинического наблюдения мы хотели акцентировать внимание на том, что высокий риск развития УР после радикальной (R0) цистэктомии при иРМП Т4N0M0 даже при использовании гетеротопической реконструкции мочевого резервуара по Брикеру определяет необходимость назначения адъювантной лучевой терапии. Рецидив уротелиальной карциномы больших размеров с глубокой инвазией в ткани полового члена может иметь такое клиническое проявление, как приапизм. Уретральный рецидив может стать причиной стремительного отдаленного метастазирования и гибели пациента.
Дополнительная информация
Согласие пациента
Пациент подписал информированное согласие на использование его медицинских данных в научных целях.
Финансирование
Работа проведена без привлечения дополнительного финансирования со стороны третьих лиц.
Конфликт интересов
Авторы декларируют отсутствие явных и потенциальных конфликтов интересов, связанных с публикацией настоящей статьи.
Участие авторов
А.С. Балканов – концепция статьи, написание текста; А.В. Виноградов и С.В. Гармаш – ведение пациента в стационаре, анализ клинического материала; В.В. Базаев – интерпретация клинического материала, редактирование текста, утверждение финального варианта текста рукописи; Е.А. Степанова – интерпретация клинического материала, подготовка рисунков. Все авторы прочли и одобрили финальную версию статьи перед публикацией, согласны нести ответственность за все аспекты работы и гарантируют, что ими надлежащим образом были рассмотрены и решены вопросы, связанные с точностью и добросовестностью всех частей работы.
About the authors
Andrey S. Balkanov
Moscow Regional Research and Clinical Institute (MONIKI)
Email: andreybalkanov@yandex.ru
ORCID iD: 0000-0002-1601-9780
MD, PhD, Head of Department of Radiotherapy
Russian Federation, 61/2 Shchepkina ul., Moscow, 129110Alexander V. Vinogradov
Moscow Regional Research and Clinical Institute (MONIKI)
Email: vinogradovdoc@mail.ru
Urologist, Department of Urology
Russian Federation, 61/2 Shchepkina ul., Moscow, 129110Vladimir V. Bazaev
Moscow Regional Research and Clinical Institute (MONIKI)
Author for correspondence.
Email: vvbazaev@rambler.ru
ORCID iD: 0000-0001-5421-8900
MD, PhD, Professor, Chair of Urology, Postgraduate Training Faculty
Russian Federation, 61/2 Shchepkina ul., Moscow, 129110Elena A. Stepanova
Moscow Regional Research and Clinical Institute (MONIKI)
Email: stepanovamoniki@gmail.com
MD, PhD, Head of Department of Radiology
Russian Federation, 61/2 Shchepkina ul., Moscow, 129110Sergei V. Garmash
Moscow Regional Research and Clinical Institute (MONIKI)
Email: 89262343904@mail.ru
MD, PhD, Leading Research Fellow, Department of Urology
Russian Federation, 61/2 Shchepkina ul., Moscow, 129110References
- Richters A, Aben KKH, Kiemeney LALM. The global burden of urinary bladder cancer: an update. World J Urol. 2020;38(8):1895–1904. doi: 10.1007/s00345-019-02984-4.
- Ploeg M, Aben KK, Kiemeney LA. The present and future burden of urinary bladder cancer in the world. World J Urol. 2009;27(3):289–293. doi: 10.1007/s00345-009-0383-3.
- Anghel RM, Gales LN, Trifanescu OG. Outcome of urinary bladder cancer after combined therapies. J Med Life. 2016;9(2):153–159.
- Frank I, Cheville JC, Blute ML, Lohse CM, Nehra A, Weaver AL, Karnes RJ, Zincke H. Transitional cell carcinoma of the urinary bladder with regional lymph node involvement treated by cystectomy: clinicopathologic features associated with outcome. Cancer. 2003;97(10):2425–2431. doi: 10.1002/cncr.11370.
- Öztürk H, Karapolat I. Efficacy of 18F-fluorodeoxyglucose-positron emission tomography/computed tomography in restaging muscle-invasive bladder cancer following radical cystectomy. Exp Ther Med. 2015;9(3):717–724. doi: 10.3892/etm.2015.2187.
- Bianchi M, Roghmann F, Becker A, Sukumar S, Briganti A, Menon M, Karakiewicz PI, Sun M, Noldus J, Trinh QD. Age-stratified distribution of metastatic sites in bladder cancer: A population-based analysis. Can Urol Assoc J. 2014;8(3–4):E148–E158. doi: 10.5489/cuaj.787.
- Gakis G, Black PC, Bochner BH, Boorjian SA, Stenzl A, Thalmann GN, Kassouf W. Systematic Review on the Fate of the Remnant Urothelium after Radical Cystectomy. Eur Urol. 2017;71(4):545–557. doi: 10.1016/j.eururo.2016.09.035.
- Boorjian SA, Kim SP, Weight CJ, Cheville JC, Thapa P, Frank I. Risk factors and outcomes of urethral recurrence following radical cystectomy. Eur Urol. 2011;60(6):1266–1272. doi: 10.1016/j.eururo.2011.08.030.
- Balcı U, Dogantekin E, Özer K, Görgel SN, Girgin C, Dinçel Ç. Patterns, risks and outcomes of urethral recurrence after radical cystectomy for urothelial cancer; over 20 year single center experience. Int J Surg. 2015;13:148–151. doi: 10.1016/j.ijsu.2014.12.006.
- Denzinger S, Mohren K, Knuechel R, Wild PJ, Burger M, Wieland WF, Hartmann A, Stoehr R. Improved clonality analysis of multifocal bladder tumors by combination of histopathologic organ mapping, loss of heterozygosity, fluorescence in situ hybridization, and p53 analyses. Hum Pathol. 2006;37(2):143–151. doi: 10.1016/j.humpath.2005.10.014.
- Li X, Wang W, Zhu G, He W, Gou X. Risk factors, follow-up, and treatment of urethral recurrence following radical cystectomy and urinary diversion for bladder cancer: a meta-analysis of 9498 patients. Oncotarget. 2017;9(2):2782–2796. doi: 10.18632/oncotarget.23451.
- Lee DH, Song W. Risk Factors for Urethral Recurrence in Men After Radical Cystectomy with Orthotopic Urinary Diversion for Urothelial Carcinoma: A Retrospective Cohort Study. Cancer Manag Res. 2020;12:6739–6746. doi: 10.2147/CMAR.S260979.
- Liu Z, Zhang X, Wu B, Zhao Y, Bai S. Development and Validation of a Model for Predicting Urethral Recurrence in Male Patients with Muscular Invasive Bladder Cancer After Radical Cystectomy Combined with Urinary Diversion. Cancer Manag Res. 2020;12:7649–7657. doi: 10.2147/CMAR.S261809.
- Frączek M, Kamecki H, Kamecka A, Sosnowski R, Sklinda K, Czarniecki M, Królicki L, Walecki J. Evaluation of lymph node status in patients with urothelial carcinoma-still in search of the perfect imaging modality: a systematic review. Transl Androl Urol. 2018;7(5):783–803. doi: 10.21037/tau.2018.08.28.
- Baumann BC, Bosch WR, Bahl A, Birtle AJ, Breau RH, Challapalli A, Chang AJ, Choudhury A, Daneshmand S, El-Gayed A, Feldman A, Finkelstein SE, Guzzo TJ, Hilman S, Jani A, Malkowicz SB, Mantz CA, Master V, Mitra AV, Murthy V, Porten SP, Richaud PM, Sargos P, Efstathiou JA, Eapen LJ, Christodouleas JP. Development and Validation of Consensus Contouring Guidelines for Adjuvant Radiation Therapy for Bladder Cancer After Radical Cystectomy. Int J Radiat Oncol Biol Phys. 2016;96(1):78–86. doi: 10.1016/j.ijrobp.2016.04.032.
- Fujita N, Hatakeyama S, Momota M, Tobisawa Y, Yoneyama T, Yamamoto H, Imai A, Ito H, Yoneyama T, Hashimoto Y, Yoshikawa K, Ohyama C. Impact of symptomatic recurrence on oncological outcomes in patients with primary high-risk non-muscle-invasive bladder cancer. Urol Oncol. 2021;39(3):194.e9–194.e16. doi: 10.1016/j.urolonc.2020.08.026.
- Khanna A, Zganjar A, Lyon T, Shah P, Tollefson MK, Karnes RJ, Tarrell R, Thapa P, Thompson RH, Frank I, Boorjian SA. A contemporary analysis of urethral recurrence following radical cystectomy. J Urol. 2021;206(4):970–977. doi: 10.1097/JU.0000000000001842.
Supplementary files







