Combination of vulgar pemphigus and toxic epidermal necrolysis: a case report
- Authors: Molochkov A.V.1, Kupriyanova A.G.1, Karzanov O.V.1, Setdikova G.R.1, Bolshakova E.A.1, Kornyushenko V.O.1, Molochkov V.A.1
-
Affiliations:
- Moscow Regional Research and Clinical Institute (MONIKI)
- Issue: Vol 53, No 3 (2025)
- Pages: 160-167
- Section: CLINICAL CASES
- Published: 12.11.2025
- URL: https://almclinmed.ru/jour/article/view/17546
- DOI: https://doi.org/10.18786/2072-0505-2025-53-018
- ID: 17546
Cite item
Full Text
Abstract
A combination of vulgar pemphigus and toxic epidermal necrolysis is an extremely rare and clinically complex comorbidity characterized by divergent immune mechanisms of skin damage. We present a case report of a 33-year old patient with rapidly progressive bullous and erosive skin lesions. Immunofluorescence studies showed IgG and the C3 complement component deposits in the intercellular epidermal contacts; the diagnosis of vulgar pemphigus was confirmed. The Pemphigus Disease Area Index (PDAI) at the moment of maximal clinical symptoms was 78. Just before the hospitalization, the patient had been treated with antibiotics. Pathomorphological examination showed virtually total intra-epidermal detachment of the epidermis, in addition to IgG and C3 complement component deposits found by direct immunofluorescence. These findings, combined with clinical manifestations characteristic of toxic epidermal necrolysis, allowed to suspect two diseases. For 9 weeks, the patient was treated with high dose systemic glucocorticosteroids and plasmapheresis, which led to stabilization of the disease. At week 9 from the day of hospitalization, there was a dramatic deterioration in the patient’s condition. At week 10 of the hospitalization, rituximab was added to high dose systemic glucocorticosteroids resulting in clinical improvement at week 13. By week 24 after the treatment initiation, a significant clinical result was achieved, seen as complete epithelialization of the erosions and stable remission of the skin disease.
The treatment strategy chosen has led to simultaneous exhaustion of B cell pool responsible for production of pathogenic auto-antibodies in pemphigus and to significant suppression of cell immunity, which plays a key role in toxic epidermal necrolysis. Toxic epidermal necrolysis should be excluded in patients with pemphigus, especially with atypical rapidly progressive course and medication-associated. Immunofluorescence methods play a decisive role in the diagnosis of these comorbid disorders. Combination therapy with rituximab and corticosteroids can be considered as a strategy targeting the pathogenic pathways of both diseases. This case report highlights the need for a thorough diagnostic analysis and the development of clear management algorithms for such complex cases.
Full Text
В клинической практике ведение пациентов с обширным эрозивным кожным процессом, особенно в случае его стремительного развития, представляет сложную задачу. Как правило, такой процесс носит жизнеугрожающий характер, что обусловливает необходимость особо тщательного подхода к верификации диагноза и, как следствие, к выбору терапевтической тактики. Основной диагностический поиск проводится между вульгарной пузырчаткой (ВП) и токсическим эпидермальным некролизом (ТЭН).
ВП – потенциально опасное для жизни аутоиммунное заболевание, поражающее кожу и/или слизистые оболочки [1]. Заболеваемость ВП составляет 0,1–0,5 случая на 100 тыс. в год [2]. Средний возраст начала заболевания – 50–60 лет [3]. Патогенез ВП связан с выработкой аутоантител класса IgG, направленных против различных адгезионных структур эпидермиса, в том числе десмоглеинов (Dsg) 1 и 3, основных компонентов десмосом. Связывание IgG-аутоантител с Dsg приводит к потере адгезии эпидермальных кератиноцитов, что, в свою очередь, вызывает образование внутриэпидермальных пузырей и эрозий.
ТЭН – опасная для жизни лекарственная реакция, характеризующаяся обширным разрушением кератиноцитов, приводящим к отслойке эпидермиса и эпителия слизистых оболочек с образованием обширных эрозий [4]. Заболеваемость в мире составляет 1–2 и более случаев на 1 млн в год [5, 6]. В основе патогенеза ТЭН лежит опосредованная Т-клетками реакция гиперчувствительности IV (замедленного) типа [7].
Современные подходы к лечению ВП основаны на применении высоких доз глюкокортикостероидов (ГКС) в сочетании с адъювантами, такими как метотрексат, азатиоприн, микофенолата мофетил и другие, однако у некоторых пациентов могут возникать серьезные побочные эффекты, рецидивы заболевания или отсутствовать ответ на лечение. Терапия ТЭН сводится главным образом к исключению приема препарата, вызвавшего реакцию, назначению высоких доз ГКС, посиндромного лечения, антибиотикотерапии. Нередко применяется плазмаферез.
В мировой литературе нами найдено описание одного случая сочетания ВП и ТЭН [8]. Встречаются также единичные описания случаев сочетания ТЭН с другими аутоиммунными, в том числе буллезными, дерматозами [9, 10].
Представляем клиническое наблюдение пациента с устойчивой к проводимой терапии ВП в сочетании с ТЭН.
Клиническое наблюдение
Пациент 33 лет был госпитализирован в дерматовенерологическое отделение ГБУЗ МО МОНИКИ им. М. Ф. Владимирского в июле 2024 г. с жалобами на обширные болезненные эрозии на коже лица, туловища, верхних и нижних конечностей, наличие эрозий на слизистой полости рта.
Из анамнеза известно, что считает себя больным с февраля 2024 г., когда после механической травмы груди появились единичные поверхностные эрозии. С диагнозом «стрептодермия» получал лечение по месту жительства (антибактериальная, наружная терапия), без значительного клинического эффекта. Кожный процесс продолжал прогрессировать, появились эрозии на коже волосистой части головы (ВЧГ), спины, на слизистой полости рта.
В мае 2024 г. пациент самостоятельно обратился в частный медицинский центр, где клинически был установлен диагноз «вульгарная пузырчатка, осложненная стрептодермией». Назначен короткий курс системных ГКС (препарат Дипроспан), десенсибилизирующая, антибактериальная, противогрибковая терапия, на фоне чего наблюдался положительный эффект в виде отсутствия свежих высыпаний, частичная эпителизация имеющихся эрозий.
После завершения курса терапии, в июне 2024 г., пациент отметил ухудшение состояния, появление большого количества свежих пузырей и эрозий, тотальное поражение слизистой полости рта, выраженную слабость.
При поступлении состояние тяжелое, патологический кожный процесс имел распространенный, симметричный характер. Локализовался на коже ВЧГ, лица, туловища, верхних и нижних конечностей. Был представлен эрозиями различных размеров, ярко-красного цвета, местами сливающимися между собой, с умеренной экссудацией, частично покрытыми геморрагическими корками (рис. 1 А, Б). На ягодичной складке справа (рис. 1В), на коже правого локтя – пузыри с вялой покрышкой и мутным содержимым. Симптом Никольского резко положительный. На слизистой полости рта – множественные эрозии с фибриновым наложением.
Рис. 1. Состояние кожных покровов пациента при поступлении в стационар. Эрозии в области груди и живота (А), спины (Б), пузырь с вялой покрышкой на ягодичной складке справа (В)
Индекс площади поражения при пузырчатке (англ. Pemphigus Disease Area Index, PDAI) на момент госпитализации составлял 78 баллов, что соответствует тяжелой степени течения заболевания. При этом 73 балла приходилось на активный патологический процесс (41 балл – на поражение кожи, 10 баллов – ВЧГ, 22 балла – слизистых оболочек) и 5 баллов – на оценку пост-воспалительных изменений. Индекс активности ВП (англ. Pemphigus Vulgaris Activity Score, PVAS) составлял 11 баллов.
Лабораторные и инструментальные исследования. В сыворотке крови пациента выявлено резкое повышение уровня антител к десмоглеинам: анти-Dsg-1 – более 200 Ед/мл (норма < 20 Ед/мл), анти-Dsg-3 – 88,53 Ед/мл (норма < 20Ед/мл).
В отделении морфологической диагностики ГБУЗ МО МОНИКИ им. М. Ф. Владимирского при исследовании биоптата видимо неповрежденной кожи методом иммунофлуоресценции были обнаружены четкие иммуноморфологические признаки акантолитической пузырчатки: фиксация IgG в межклеточной склеивающей субстанции мальпигиева слоя эпидермиса с одновременной фиксацией С3-компонента комплемента в той же локализации (рис. 2).
Рис. 2. Фрагмент клинически интактной кожи, криостатные срезы, метод прямой иммунофлуоресценции: А – фиксация IgG в межклеточной склеивающей субстанции (МСС) мальпигиева слоя эпидермиса. Тотальный отрыв эпидермиса по базальному слою (увеличение ×100); Б – тот же фрагмент, фиксация IgG в МСС кератиноцитов (белые стрелки, увеличение ×400, фотоувеличение); В – фиксация С3-компонента комплемента в МСС мальпигиева слоя эпидермиса. Тотальный отрыв эпидермиса по базальному слою (увеличение ×200)
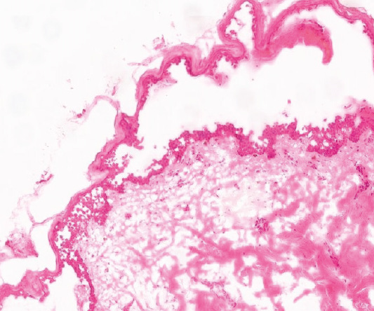
Специфическая фиксация C4d-фрагмента комплемента отсутствовала. Обращало на себя внимание практически тотальное внутриэпидермальное отслоение эпидермиса, что не характерно для классического течения заболевания при исследовании интактной кожи. На обзорном препарате, окрашенном гематоксилином и эозином, также визуализировались некротизированные кератиноциты, резкий отек дермы, тотальное отслоение эпидермиса (рис. 3).
Рис. 3. Фрагмент клинически интактной кожи. Акантолиз, некроз части кератиноцитов, тотальное отслоение эпидермиса, резкий отек дермы (окраска гематоксилином и эозином, увеличение ×200)
Лечение. С 1-го дня госпитализации пациент получал преднизолон в дозе 100 мг в сутки, инфузионную, антибактериальную, антимикотическую, наружную терапию. В связи с достаточно быстрым прогрессированием кожного процесса с 3-го дня госпитализации начата пульс-терапия метилпреднизолоном (1000 мг в сутки).
Терапия высокими дозами преднизолона не дала положительного эффекта, тяжесть состояния больного значительно нарастала, возникли обширные области отслойки эпидермиса, сформировались крупные эрозивные поверхности с выраженной экссудацией (рис. 4). Появились периферические отеки. В лабораторных анализах отмечалось увеличение степени анемии, лейкоцитоза, гипопротеинемии, гипоальбунемии, маркеров острой фазы воспаления (С-реактивный белок, скорость оседания эритроцитов, прокальцитонин). Индекс PDAI составлял 132 балла.
Рис. 4. Состояние кожных покровов через 2,5 недели от момента госпитализации. Обширные области отслойки эпидермиса, крупные эрозивные поверхности с экссудацией в области головы и шеи (А), спины (Б), груди и живота (В)
В связи с тяжестью состояния пациента на 3-й неделе госпитализации в отделении реанимации и интенсивной терапии ему выполнен курс лечения плазмаферезом (4 процедуры) с последующим введением свежезамороженной плазмы. На фоне лечения состояние больного удалось стабилизировать, отмечалась тенденция к эпителизации эрозий, отсутствовало появление новых пузырей, симптом Никольского оставался положительным (рис. 5). Терапия ГКС продолжена в дозе 100 мг в сутки перорально. К лечению добавлен метотрексат в дозе 15 мг в неделю, отменен через 1 неделю в связи с резким повышением аспартатаминотрансферазы и аланинаминотрансферазы в биохимических анализах крови.
Рис. 5. Состояние кожных покровов в области груди (А) и спины (Б) на 8-й неделе госпитализации (после проведения курса плазмафереза)
На 9-й неделе от момента госпитализации (через 5 недель после курса плазмафереза) отмечено резкое ухудшение состояния пациента, появились новые пузыри и эрозии, сформировались участки отслойки эпидермиса с выраженной экссудацией (рис. 6). Состояние пациента расценивалось как тяжелое, в лабораторных анализах нарастал лейкоцитоз (до 16,9 × 109/л), С-реактивный белок (до 43,6 мг/л), прокальцитонин (до 4,6 нг/мл), гипоальбунемия (до 30 г/л), гипопротеинемия (до 48 г/л), анемия.
Рис. 6. Состояние кожных покровов в области груди и живота (А), спины (Б) на 10-й неделе госпитализации
Ввиду отсутствия положительной клинической динамики на фоне проводимой терапии, а также тяжелого состояния пациента по решению врачебной комиссии на 10-й неделе госпитализации в условиях отделения реанимации и интенсивной терапии пациенту была выполнена первая инфузия препарата ритуксимаб в дозе 1000 мг. Повторная инфузия была проведена в той же дозе спустя 14 дней, обе протекали без осложнений.
Примерно на 13-й неделе госпитализации (3-я неделя от момента первой инфузии ритуксимаба) состояние кожных покровов больного заметно улучшилось: отмечалось уменьшение экссудации, тенденция к эпителизации обширных эрозий кожи, эпителизация эрозий на слизистой полости рта, формирование гиперпигментированных поствоспалительных пятен различных размеров (рис. 7). Сохранялись массивные серозные корки на коже ВЧГ, лица, туловища, верхних и нижних конечностей.
Рис. 7. Состояние кожных покровов в области груди и живота (А), спины (Б) на 13-й неделе госпитализации (3-я неделя после первой инфузии ритуксимаба)
Вплоть до 16-й недели госпитализации (октябрь 2024 г.) продолжалась терапия преднизолоном в дозе 100 мг в сутки перорально. В связи с положительной клинической динамикой, стабилизацией кожного процесса было решено постепенно снижать дозу ГКС.
На 19-й неделе от начала госпитализации пациент был переведен на амбулаторный этап (доза преднизолона – 60 мг в сутки), при этом состояние кожных покровов продолжало медленно улучшаться (рис. 8).
Рис. 8. Состояние кожных покровов в области лица и шеи (А), груди и живота (Б), спины (В) на 19-й неделе госпитализации
Исход и результат последующего наблюдения. Через 24 недели от начала лечения достигнут значительный клинический результат: полная эпителизация эрозий, стойкая ремиссия кожного процесса. При осмотре кожных покровов и видимых слизистых новых высыпаний нет, на коже лица, туловища, верхних и нижних конечностей локализуются множественные пятна вторичной пигментации на месте эпителизировавшихся эрозий (рис. 9). Симптом Никольского отрицательный. Терапия преднизолоном продолжена в дозе 45 мг в сутки перорально, с последующим снижением.
Рис. 9. Состояние кожных покровов в области лица и шеи (А), груди и живота (Б), спины (В) при осмотре на амбулаторном этапе (24-я неделя с момента выписки из стационара)
Обсуждение
В настоящей публикации мы представили опыт эффективного применения ритуксимаба в сочетании с системными ГКС в качестве терапии спасения при жизнеугрожающем сочетании ВП и ТЭН, а также продемонстрировали значимость метода иммунофлуоресценции в диагностике заболевания и оценке эффективности проводимой терапии. В связи с особенностями клинической картины заболевания у нашего пациента (стремительная генерализация процесса, обширное поражение слизистых оболочек, субтотальное поражение кожных покровов, тяжесть общего состояния) диагностический поиск проводился между ТЭН, паранеопластической пузырчаткой (ПНП) и ВП.
Поскольку пузырчатку следует рассматривать как заболевание потенциально паранеопластической природы, особую настороженность необходимо проявлять в тех случаях, когда в патологический процесс вовлечена слизистая оболочка, отмечается полиморфизм поражения кожных покровов, упорное течение и резистентность к проводимой стандартной терапии, что и наблюдалось у нашего пациента [11]. Клинико-патологические факторы, которые заслуживают рассмотрения при ПНП в этом контексте, обусловлены вовлечением в патологический процесс наряду с классическими антигенами-мишенями (Dsg 1, 3) целого ряда дополнительных белков, в том числе компонентов базальной мембраны: десмоплакинов 1 (250 кД) и 2 (210 кД), антигена буллезного пемфигоида 1 (230 кД), энвоплакина (210 кД), эпиплакина (> 700 кД), периплакина (190 кД), плакофилина-3, что является результатом прогрессии фоновой опухоли [11]. Следует подчеркнуть, что вовлеченность в патологический процесс дополнительных белков приводит к изменению иммуноморфологической картины. Так, в нашем наблюдении развития ВП у молодой женщины на фоне рака шейки матки отмечена одновременная фиксация C4d-фрагмента комплемента и в зоне базальной мембраны, и в области межклеточной склеивающей субстанции кератиноцитов эпидермиса [12]. У представленного в данной статье пациента подобной аномальной фиксации не наблюдалось. Тем не менее в связи с характерными для ПНП клиническими проявлениями был проведен тщательный онкологический поиск. Онкопатологии не выявлено. Заметим, что в работе 2017 г. R. M. McLarney и соавт. подчеркивали схожесть клинических проявлений ПНП и ТЭН. По их мнению, ПНП может клинически имитировать проявления ТЭН, а редкость патологии и малое количество работ, посвященных данной теме, приводят к недооценке тяжести состояния пациента [13].
Ранее мы показали, что тяжелое течение ВП может клинически не отличаться от проявлений ТЭН и требует дополнительных диагностических мероприятий: на основании особенностей иммуноморфологической картины нам удалось дифференцировать синдром ТЭН от аутоиммунного процесса [14]. В описанном в настоящей работе клиническом наблюдении, как указывалось выше, наряду с иммуноморфологической картиной пузырчатки зафиксирован практически тотальный отрыв эпидермиса в супрабазальной области, наличие некротизированных кератиноцитов. Как известно, массивное повреждение и гибель кератиноцитов – характерный признак ТЭН, поскольку активированные цитотоксические Т-лимфоциты и NK-клетки атакуют кератиноциты, вызывая их гибель [15, 16].
При пузырчатке иммунный ответ обусловлен гуморальными факторами. В частности, доказана прямая патогенная роль аутоантител, в значительном числе случаев не требующая активации комплемента [17]. Такие антитела способны напрямую повреждать десмоглеины и принадлежат к иммуноглобулинам субкласса G4 [18]. У нашего пациента была обнаружена активация С3-компонента комплемента, что свидетельствует о более широком репертуаре вовлеченных в патологический процесс субклассов антител и напряженности иммунного ответа. При этом гуморальный иммунный ответ, в отличие от клеточного, обладает накопительным эффектом и характеризуется меньшим повреждающим действием по сравнению с последним. Тяжесть повреждений при ТЭН обусловлена именно действием клеточного звена иммунного ответа – цитотоксическими лимфоцитами и естественными киллерами, однако необходимо подчеркнуть, что гибель кератиноцитов при ТЭН реализуется по перфорин/гранзим-В-зависимому пути [15, 16].
Наиболее частым этиологическим агентом развития ТЭН выступают лекарственные препараты. Так, в нашем случае непосредственно перед генерализацией процесса пациент получал курс антибиотиков. На основании вышеперечисленного мы предположили, что наблюдали сочетанное проявление ТЭН и ВП. Это предположение объясняет быстрый положительный эффект от применения ритуксимаба в сочетании с высокими дозами системных ГКС, что позволило достичь истощения пула В-лимфоцитов и значимой супрессии в отношении системы клеточного иммунитета.
Заключение
У пациентов с пузырчаткой, особенно с атипичным, быстропрогрессирующим течением и на фоне приема лекарственных средств, следует исключать развитие ТЭН. Метод иммунофлуоресценции играет решающую роль в диагностике таких сочетанных состояний. Комбинированная терапия ритуксимабом и ГКС может быть рассмотрена как стратегия воздействия на патогенетические звенья обоих заболеваний. Представленный клинический пример сочетания ВП и ТЭН подчеркивает необходимость тщательного диагностического анализа и разработки четких алгоритмов ведения подобных сложных случаев.
Дополнительная информация
Согласие пациента
Пациент добровольно подписал информированное согласие на публикацию персональной медицинской информации в обезличенной форме в журнале «Альманах клинической медицины».
Финансирование
Работа проведена без привлечения дополнительного финансирования со стороны третьих лиц.
Конфликт интересов
Авторы декларируют отсутствие явных и потенциальных конфликтов интересов, связанных с публикацией настоящей статьи.
Участие авторов
А.В. Молочков – курация пациента, редактирование статьи; А.Г. Куприянова – проведение лабораторных исследований (прямой иммунофлуоресцентный анализ), написание текста; О.В. Карзанов, Е.А. Большакова – ведение пациента, написание текста; Г.Р. Сетдикова – интерпретация результатов лабораторных исследований; В.О. Корнюшенко – сбор и анализ данных литературы, написание текста; В.А. Молочков – редактирование статьи. Все авторы прочли и одобрили финальную версию статьи перед публикацией, согласны нести ответственность за все аспекты работы и гарантируют, что ими надлежащим образом были рассмотрены и решены вопросы, связанные с точностью и добросовестностью всех частей работы.
About the authors
Anton V. Molochkov
Moscow Regional Research and Clinical Institute (MONIKI)
Email: antmd@yandex.ru
ORCID iD: 0000-0002-6456-998X
MD, PhD, Professor, Head of Department of Dermatovenereology and Dermatooncology, Postgraduate Training Faculty
Russian Federation, ul. Shchepkina 61/2, Moscow, 129110Anna G. Kupriyanova
Moscow Regional Research and Clinical Institute (MONIKI)
Email: annak2003@bk.ru
ORCID iD: 0000-0002-1096-5717
MD, PhD, Leading Research Fellow, Department of Morphological Diagnostics and Laboratory of Dermatooncology
Russian Federation, ul. Shchepkina 61/2, Moscow, 129110Oleg V. Karzanov
Moscow Regional Research and Clinical Institute (MONIKI)
Author for correspondence.
Email: dr_karzanov@mail.ru
ORCID iD: 0000-0002-6176-1394
MD, PhD, Senior Research Fellow, Department of Dermatovenereology
Russian Federation, ul. Shchepkina 61/2, Moscow, 129110Galiya R. Setdikova
Moscow Regional Research and Clinical Institute (MONIKI)
Email: dr.setdikova@mail.ru
ORCID iD: 0000-0002-5262-4953
MD, PhD, Head of Department of Morphological Diagnostics
Russian Federation, ul. Shchepkina 61/2, Moscow, 129110Elena A. Bolshakova
Moscow Regional Research and Clinical Institute (MONIKI)
Email: elenabolshakova1999@mail.ru
ORCID iD: 0009-0006-2448-7388
Medical Physician of the Department of Dermatovenereology
Russian Federation, ul. Shchepkina 61/2, Moscow, 129110Vladislava O. Kornyushenko
Moscow Regional Research and Clinical Institute (MONIKI)
Email: Match05.12@mail.ru
ORCID iD: 0009-0009-1989-2364
Junior Researcher Fellow, Department of Dermatovenereology
Russian Federation, ul. Shchepkina 61/2, Moscow, 129110Vladimir A. Molochkov
Moscow Regional Research and Clinical Institute (MONIKI)
Email: vlmolochkov@yandex.ru
ORCID iD: 0000-0003-3388-9224
MD, PhD, Professor, Leading Research Fellow, Department of Dermatovenereology and Laboratory of Dermatooncology, Professor of Department of Dermatovenereology and Dermatooncology, Postgraduate Training Faculty
Russian Federation, ul. Shchepkina 61/2, Moscow, 129110References
- Vinall C, Stevens L, McArdle P. Pemphigus vulgaris: A multidisciplinary approach to management. BMJ Case Rep. 2013;2013:bcr2013200479. doi: 10.1136/bcr-2013-200479.
- Said S, Golitz L. Vesiculobullous eruptions of the oral cavity. Otolaryngol Clin North Am. 2011;44(1):133–160, vi. doi: 10.1016/ j.otc.2010.09.005.
- Knudson RM, Kalaaji AN, Bruce AJ. The management of mucous membrane pemphigoid and pemphigus. Dermatol Ther. 2010;23(3):268–280. doi: 10.1111/j.1529-8019.2010.01323.x.
- Hasegawa A, Abe R. Recent advances in managing and understanding Stevens-Johnson syndrome and toxic epidermal necrolysis. F1000Res. 2020;9:F1000 Faculty Rev-612. doi: 10.12688/f1000research.24748.1.
- Hsu DY, Brieva J, Silverberg NB, Silverberg JI. Morbidity and mortality of Stevens-Johnson syndrome and toxic epidermal necrolysis in United States adults. J Invest Dermatol. 2016;136(7):1387–1397. doi: 10.1016/j.jid.2016.03.023.
- Yang MS, Lee JY, Kim J, Kim GW, Kim BK, Kim JY, Park HW, Cho SH, Min KU, Kang HR. Incidence of Stevens-Johnson syndrome and toxic epidermal necrolysis: A nationwide population-based study using national health insurance database in Korea. PLoS One. 2016;11(11):e0165933. doi: 10.1371/journal.pone.0165933.
- Shah H, Parisi R, Mukherjee E, Phillips EJ, Dodiuk-Gad RP. Update on Stevens-Johnson syndrome and toxic epidermal necrolysis: Diagnosis and management. Am J Clin Dermatol. 2024;25(6):891–908. doi: 10.1007/s40257-024-00889-6.
- Wolkenstein P, Chosidow O, Léonard F, Fraitag S, Pelissier S, Roujeau JC, Kalis B, Revuz J. Association d'un pemphigus et d'un syndrome de Lyell [Association of pemphigus and Lyell's syndrome]. Ann Dermatol Venereol. 1990;117(11):904–905. French.
- Vorobyeva LD, Aseeva EA, Solovyev SK, Belousova TA, Lopatina NE, Sazhina EG, Serikova GV. [Toxic epidermal necrolysis as a variant of severe skin lesions in systemic lupus erythematosus]. Rheumatology Science and Practice. 2018;56(6):785–790. Russian. doi: 10.14412/1995-4484-2018-785-790.
- Tapsoba G-P, Ouédraogo A-N, Ouédraogo M-S, Korsaga/Somé N, Barro/Traoré F, Niamba P, Traoré A. Association fortuite de deux dermatoses bulleuses: Cas d’une pemphigoïde bulleuse et d’un syndrome de Lyell. Annales de Dermatologie et de Vénéréologie. 2016;143:S417. French. doi: 10.1016/j.annder.2016.09.100.
- Didona D, Maglie R, Eming R, Hertl M. Pemphigus: Current and future therapeutic strategies. Front Immunol. 2019;10:1418. doi: 10.3389/fimmu.2019.01418.
- Karzanov OV, Kupriyanova AG, Baranov IA, Rudakova VYu, Kornyushenko VO, Zotov AI, Molochkov AV. [On the issue of differential diagnosis of true pemphigus complicated by candidal infection in neoplastic diseases]. Russian Medical Inquiry. 2025;9(7):426–431. Russian. doi: 10.32364/2587-6821-2025-9-7-6.
- McLarney RM, Valdes-Rodriguez RH, Isaza-Gonzalez G, Miller JH, Hsu S, Motaparthi K. Paraneoplastic pemphigus mimicking toxic epidermal necrolysis: An underdiagnosed entity? JAAD Case Rep. 2017;4(1):67–71. doi: 10.1016/j.jdcr.2017.11.002.
- Molochkova YuV, Philippovskaya ZhS, Kupriyanova АG, Mitina EV, Karzanov OV, Sukhova TE, Petrova MS, Chernyaeva EV. [Differential diagnostics of toxic epidermal necrolysis (Lyell’s syndrome) in ICU: Case reports]. Messenger of Anesthesiology and Resuscitation. 2021;18(6):97–104. Russian. doi: 10.21292/2078-5658-2021-18-6-97-104.
- Mittmann N, Knowles SR, Koo M, Shear NH, Rachlis A, Rourke SB. Incidence of toxic epidermal necrolysis and Stevens-Johnson syndrome in an HIV cohort: An observational, retrospective case series study. Am J Clin Dermatol. 2012;13(1):49–54. doi: 10.2165/11593240-000000000-00000.
- Nassif A, Bensussan A, Dorothée G, Mami-Chouaib F, Bachot N, Bagot M, Boumsell L, Roujeau JC. Drug specific cytotoxic T-cells in the skin lesions of a patient with toxic epidermal necrolysis. J Invest Dermatol. 2002;118(4):728–733. doi: 10.1046/j.1523-1747.2002.01622.x.
- Anhalt GJ, Till GO, Diaz LA, Labib RS, Patel HP, Eaglstein NF. Defining the role of complement in experimental pemphigus vulgaris in mice. J Immunol. 1986;137(9):2835–2840.
- Funakoshi T, Lunardon L, Ellebrecht CT, Nagler AR, O'Leary CE, Payne AS. Enrichment of total serum IgG4 in patients with pemphigus. Br J Dermatol. 2012;167(6):1245–1253. doi: 10.1111/j.1365-2133.2012.11144.x.
Supplementary files






















