Simultaneous endovascular "edge-to-edge" clipping of the mitral valve leaflets and closure of the left atrial appendage in a high surgical risk patient
- Authors: Semitko S.P.1, Asadov D.A.1, Rogatova A.N.1, Stepanov A.V.1, Mesyats N.S.1, Pak N.L.1, Sandodze T.S.1, Fomenko V.V.1, Kamolov I.K.1, Pankov A.N.1, Zakharova O.V.1, Azarov A.V.1,2, Chernysheva I.E.1, Ioseliani D.G.1
-
Affiliations:
- I.M. Sechenov First Moscow State Medical University
- Moscow Regional Research and Clinical Institute (MONIKI)
- Issue: Vol 50, No 2 (2022)
- Pages: 117-126
- Section: CLINICAL CASES
- URL: https://almclinmed.ru/jour/article/view/1649
- DOI: https://doi.org/10.18786/2072-0505-2022-50-014
- ID: 1649
Cite item
Full Text
Abstract
Mitral regurgitation is one of the most common valvular heart diseases, with the gold standard of its treatment being an open surgical intervention. However, it is not always performed in patients with a high surgical risk. Atrial fibrillation is a frequent companion of mitral valve regurgitation. It significantly increases the risk of ischemic strokes and systemic thromboembolism and required the administration of anticoagulants. Long-term use of anticoagulants entails an increased risk of hemorrhagic complications. Surgical endovascular closure of the left atrial appendage allows for reduction of the risks both of embolic and hemorrhagic complications.
This paper presents a clinical case of the first in Russia successful simultaneous endovascular remodeling of the mitral valve by “edge-to-edge” leaflet clipping and closure of the left atrial appendage with an Amplatzer Amulet occluder. This was an 85-year old patient with advanced mitral regurgitation, who was not considered a candidate for an open surgery due to his high surgical risk. The severity of the patient’s condition was related to atrial fibrillation, rectal cancer and severe anemia. The patient underwent simultaneous sequential clipping of the mitral valve leaflets and closure of the left atrial appendage. Control trans-esophageal echocardiography showed a significant decrease in the mitral regurgitation grade. There were no complications during the hospital stay and in the early postoperative period.
The lack of convincing data and research makes it impossible to delineate clear indications and contraindications for the combination of two procedures within one surgical session. However, simultaneous endovascular clipping of the mitral valve leaflets and an occluder implantation into the left atrial appendage may become the method of choice in the treatment of patients with severe mitral valve regurgitation, prevention of embolic and hemorrhagic complications in high risk comorbid patients.
Full Text
Митральная недостаточность (МН) – один из наиболее распространенных пороков клапанов сердца, которым страдает примерно каждый десятый взрослый в возрасте 75 лет и старше. Это прогрессирующее заболевание достоверно ухудшает качество жизни пациента и прогноз выживаемости. Для симптоматических пациентов с умеренной или тяжелой МН еще недавно существовала только одна опция, способная обеспечить улучшение прогноза, – открытое хирургическое вмешательство в условиях искусственного кровообращения для выполнения пластики или протезирования митрального клапана (МК). Это сложная кардиохирургическая операция, реабилитация после которой требует значительных усилий и времени [1]. По данным A. Atchley, хирургическое лечение получают не более 2% из примерно 1,7 млн нуждающихся в нем пациентов с умеренно тяжелой или тяжелой МН (III степень и более) [2]. С разработкой и внедрением в клиническую практику транскатетерной малоинвазивной системы пластики МК MitraClip у значительной доли тяжелых коморбидных пациентов высокого хирургического риска появился шанс на эффективное малоинвазивное лечение.
Частым спутником недостаточности МК выступает фибрилляция предсердий (ФП). При наличии ФП в результате расстройства координированного сокращения предсердий расширяется полость левого предсердия, ухудшается общая сократительная способность миокарда, замедляется и секвестрируется кровоток. Все это обусловливает значительное увеличение рисков развития ишемических инсультов и системных тромбоэмболий, особенно у пациентов пожилого возраста [3]. В подавляющем большинстве случаев источником мигрирующих тромбов становится ушко левого предсердия (УЛП). Учитывая прогностическую и социальную значимость тромбоэмболических осложнений, для профилактики ишемических инсультов рекомендовано принимать пероральные антикоагулянты (ПОАК) [4]. Однако длительный прием ПОАК ассоциирован с риском геморрагических осложнений, особенно у коморбидных пациентов, каковыми являются большинство больных пожилого и старческого возраста [5–7].
Эндоваскулярное закрытие УЛП стало альтернативой длительной терапии ПОАК для профилактики ишемических инсультов у пациентов с неклапанной ФП. Исследование PROTECT AF показало сравнимую эффективность окклюдера УЛП Watchman и ПОАК варфарина в предотвращении кардиоэмболического синдрома и смерти от сердечно-сосудистых или неясных причин [8]. У пациентов с сочетанием высокого риска тромбоэмболических событий и кровотечений именно закрытие УЛП способно предотвратить кровотечения за счет сокращения продолжительности приема антикоагулянтной терапии [9].
Имея в виду, что носители показаний для транскатетерной пластики МК «край-в-край» и для закрытия УЛП – пациенты одного профиля, клинически логично и оправданно рассмотреть возможность одномоментного проведения двух процедур, которые технически выполняются по одинаковой траектории. Комбинация данных процедур способна как минимизировать операционные риски, обусловленные транссептальным доступом, так и уменьшить риск геморрагических и тромбоэмболических осложнений в отдаленные сроки после вмешательства. В литературе представлены единичные публикации, посвященные одномоментному выполнению эндоваскулярной пластики МК и закрытию УЛП. К примеру, группа авторов во главе с A. Schade опубликовала 1 случай успешной одномоментной комбинированной процедуры клипирования створок МК и закрытия УЛП. Авторы сообщают о возможных трудностях, обусловленных выбором оптимальной области перегородки для транссептальной пункции, которая может быть удобна только для одной из двух вышеупомянутых процедур. Авторы полагают, что комбинированный подход не может быть рассмотрен как универсальный для данной когорты пациентов, однако видится оправданным при тщательном отборе кандидатов [10].
Учитывая данные литературы и общие для двух разных процедур чрескожный и транссептальный доступы к митральному клапану и УЛП, мы посчитали возможным выполнение двух вмешательств одномоментно у пациента с МН и ФП высокого хирургического риска. На базе Научно-практического центра интервенционной кардиоангиологии Сеченовского университета 27 ноября 2021 г. впервые в Российской Федерации было успешно выполнено одномоментное эндоваскулярное ремоделирование МК методом клипирования створок «край-в-край» и закрытие ушка левого предсердия c помощью окклюдера Amplatzer Amulet.
Описание клинического наблюдения
Пациент К. 85 лет поступил с жалобами на одышку при небольшой физической нагрузке, жжение в грудном отделе позвоночника с иррадиацией в правую лопатку, головокружения, прекращающиеся на правом боку. Острые нарушения мозгового кровообращения и перенесенный инфаркт миокарда отрицает.
Из анамнеза известно, что пациент страдает артериальной гипертонией более 10 лет. Боли за грудиной давящего, сжимающего характера беспокоят в течение нескольких лет, купируются самостоятельно в покое или после приема Валидола. После эндоскопического вмешательства по поводу стеноза фатерова соска в 2020 г. (папиллосфинктеротомия) стал отмечать частый пульс, появилась одышка при физических нагрузках. При обследовании по месту жительства выявили анемию тяжелой степени (78 г/л), ФП по данным электрокардиографии, был назначен апиксабан, который пациент принимает в течение последних 2 лет. Там же по данным эхокардиографии (ЭхоКГ) выявлен умеренный стеноз аортального клапана, расширение полости левого предсердия, гипертрофия миокарда левого желудочка без зон асинергии, митральная регургитация 3-й степени, признаки легочной гипертензии. Пациент наблюдается у онколога по поводу рака прямой кишки Т2N0M0 2-й степени (высокодифференцированная аденокарцинома).
По данным первичного осмотра рост 157 см, масса тела 60 кг (индекс массы тела 24). Состояние при осмотре относительно удовлетворительное, положение не вынужденное. Частота дыхательных движений 20 в минуту, дыхание везикулярное проводится во все отделы, хрипов нет. Тоны сердца приглушены, аритмичны, отмечается систолический шум в первой и второй точках аускультации. Частота сердечных сокращений 63 уд/мин, артериальное давление 115/70 мм рт. ст.
По результатам лабораторных методов обследования общий и биохимический анализы крови без особенностей. Снижение гемоглобина до 92 г/л. Исследование системы гемостаза: агрегация 19% (норма 37–67%), международное нормализованное отношение 1,17 (норма 0,85–1,15), фибриноген 1,8 г/л (норма 1,8–4 г/л), активированное частичное тромбопластиновое время 29,2 с (норма 24–34 с).
По заключению электрокардиограмма при поступлении: ФП, частота сердечных сокращений 63 уд/мин. Горизонтальное положение электрической оси сердца. PQ 120 мс, QRS 80 мс, QT 360 мс.
По данным компьютерной томографии органов грудной клетки свежих очаговых или инфильтративных изменений в легких не определяется. Диффузный пневмофиброз обоих легких, утолщение междольковых септ, единичные узелковые фиброзные уплотнения обоих легких. Корни легких структурны, трахея и главные бронхи не стенозированы. Визуализируются просветы сегментарных и субсегментарных бронхов, утолщение стенок бронхов. Жидкость в плевральных полостях не визуализируется, плевральные листки не утолщены. Увеличенных лимфатических узлов на исследуемом уровне не определяется. Пневмофиброз. Атерокальциноз аорты и клапанов сердца. Расширение легочной артерии. Дуга аорты в восходящем отделе до 4,0 см, легочный ствол расширен до 3,5 см.
ЭхоКГ (В- и М-режим) при поступлении. Исследование выполнено на фоне ФП. Левый желудочек: конечно-диастолический размер – 5,1 см (норма до 5,5 см), конечно-систолический размер – 3,1 см, толщина межжелудочковой перегородки – 1,1–1,2 см, толщина задней стенки левого желудочка – 1,1 см, конечно-диастолический объем – 104 мл, конечно-систолический объем – 40 мл, фракция выброса – 61% (по Симпсону). Гипертрофия миокарда левого желудочка, преимущественно в области межжелудочковой перегородки. Глобальная и сегментарная сократимость миокарда левого желудочка удовлетворительная, фракция выброса 62%. Правый желудочек не расширен. Увеличение левого и правого предсердий. В полости УЛП признаков застаивания и тромбоза не выявлено. Формирование стеноза аортального клапана легкой степени тяжести. Аортальная недостаточность 1-й степени. Аортальный клапан: трехстворчатый, створки уплотнены с включениями кальция, амплитуда раскрытия створок – 1,4 см (норма > 1,5 см). Систолический кровоток: Vmax 2,7 м/с, PGr 29/15 мм рт. ст. МК: створки неравномерно уплотнены, несколько утолщены, движение разнонаправленное. Длина задней створки 10,5 мм, диаметр фиброзного кольца 38 мм, диастолический кровоток: монофазный на фоне ФП Vmax 1,1 м/с, PGr 5,4 мм рт. ст. Регургитация 3-й степени (эксцентричная струя митральной недостаточности, направленная одним потоком вдоль межпредсердной перегородки, достигающая основания левого предсердия). Объем регургитации 30,3 мл; полезная площадь регургитации – 0,18 см2. Трикуспидальный клапан: регургитация 3,5 степени. Легочная артерия: диаметр ствола легочной артерии – 27 мм, Vmax 0,8 м/с, PGr 2,5 мм рт. ст. Давление в легочной артерии 52 мм рт. ст. Нижняя полая вена: 17 мм, не расширена, коллабирует на вдохе более 50%. Перикард: выпота в полости перикарда не выявлено.
В связи с тяжелыми сопутствующими заболеваниями и высоким операционным риском принято решение о проведении малоинвазивной одномоментной операции. Под общей анестезией правым трансфеморальным доступом выполнена антеградная катетеризация нижней полой вены. На проводнике 0,035" в полость правого предсердия проведена система доставки иглы для транссептальной пункции. Под контролем чреспищеводной ЭхоКГ (ЧП ЭхоКГ) сделана пункция межпредсердной перегородки с последующим расширением пункционного отверстия. Игла для трансептальной пункции заменена на супержесткий проводник 0,035". Далее по проводнику в полость левого предсердия на 3 мм доставлен управляемый направляющий катетер для системы MitraClip 24 Fr. Под флюороскопическим и ЧП ЭхоКГ контролем клипса проведена и позиционирована в левом желудочке. Выполнен последовательный захват передней и задней створок МК. По данным ЧП ЭхоКГ достигнута оптимальная коаптация створок, регургитация до 1-й степени. Выполнено высвобождение клипсы MitraClip от системы доставки. На супержестком проводнике система доставки MitraClip (24 Fr) под контролем мануальной компрессии зоны чрескожного доступа заменена на систему доставки окклюдера Amulet (14 Fr). Выполнено контрастирование полости УЛП, далее в полость УЛП доставлен и имплантирован окклюдер Amplatzer Amulet 28 мм. При контрольной ЧП ЭхоКГ позиционирование окклюдера адекватное, раскрытие полное. Провокационная проба отрицательная, система доставки отцеплена. Доставочный интродьюсер извлечен, выполнен мануальный пассивный гемостаз, наложена асептическая давящая повязка. Касательно дезагрегантной и антикоагулянтной терапии, всего было введено 12 500 МЕ гепарина натрия, во время процедуры осуществлялось четырехкратное измерение ACT (activated clotting time – активированное время свертывания крови), целевые значения поддерживались в диапазоне 250–300 с. Вмешательство прошло без осложнений. Пациент экстубирован, переведен в отделение реанимации и интенсивной терапии для динамического наблюдения. Рентгенографический результат представлен на рис. 1, 2.
Рис. 1. Рентгенография после клипирования створок митрального клапана клипсой MitraClip. Селективное контрастирование ушка левого предсердия через систему доставки для оценки анатомии (указано стрелками)
Рис. 2. Рентгенография после установки окклюдера Amulet в ушко левого предсердия. Визуализируется ранее установленная клипса MitraClip (указано стрелками)
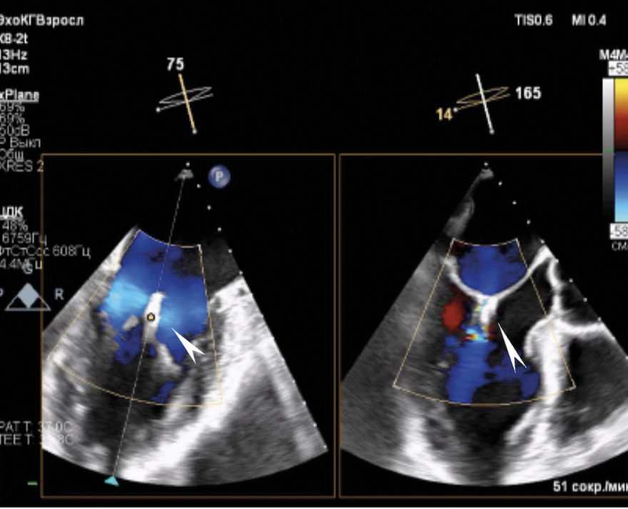
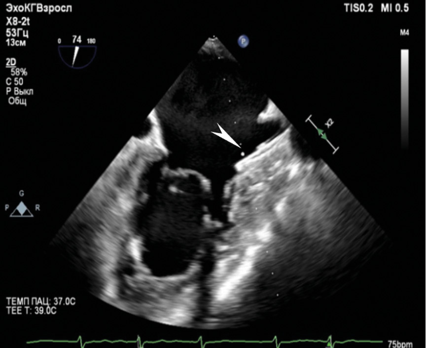
По результатам ЧП ЭхоКГ после вмешательства: в проекции МК визуализируется 1 клипса, митральная регургитация до 1-й степени (площадь струи регургитации 4,5 см2), величина коаптации менее 3 мм. Площадь отверстия МК – 4,7 см2. Кольцо МК = 3,45/3,8 см. Средний диастолический градиент на МК – 2,1 мм рт. ст. Место имплантации клипсы без особенностей. Количество струй регургитации – 1, тип регургитации – эксцентрический, распространяющийся вдоль межпредсердной перегородки. В просвете УЛП визуализируется плотно фиксированный окклюдер. Периферического кровотока по краям окклюдера не выявлено. В месте пункции межпредсердной перегородки визуализируется лево-правый сброс до 3 мм. Данные ЧП ЭхоКГ после вмешательства приведены на рис. 3–5.
Рис. 3. В ушке левого предсердия визуализируется гиперэхогенная структура – окклюдер (указано стрелкой)
Рис. 4. В режиме цветного доплеровского картирования патологического сброса и краевых потоков в проекции установленного окклюдера в ушке левого предсердия не выявлено (окклюдер указан стрелкой)
Рис. 5. В проекции митрального клапана лоцируется гиперэхогенная линейная структура – клипса (указано стрелкой). В режиме цветного доплеровского картирования регургитация до 1-й степени, средний градиент на митральном клапане 2 мм рт. ст.
Общее время процедуры составило 225 минут. Время флюороскопической экспозиции – 70 минут. Объем контрастного вещества йогексол-350 – 250 мл. Пациент в удовлетворительном состоянии выписан из стационара через 3 дня.
Обсуждение
При функциональной или вторичной МН створки клапана не изменены. Дисфункция клапана развивается вследствие целого ряда «внеклапанных» причин. Пионером хирургии митральных пороков считается профессор парижского Европейского госпиталя имени Жоржа Помпиду Ален Карпантье, разработавший основополагающие принципы хирургической коррекции МН. Предложенная им классификация включает этиологию, тип поражения и характер результирующей дисфункции [11]. Данные различия важны, так как определяют выбор метода лечения. При этом подавляющее большинство пациентов с диагнозом МН имеют функциональную причину ее развития [12].
Сегодня уже не вызывает сомнений, что при умеренной или тяжелой МН выжидательная тактика лечения неуместна. Следует, не дожидаясь развития необратимого патологического ремоделирования, прибегать к хирургическому лечению, которое на данный момент остается золотым стандартом при этой патологии. Однако «ахиллесовой пятой» современной кардиохирургии МК считаются пациенты высокого хирургического риска, в группе которых результаты хирургического лечения остаются неудовлетворительными. В частности, S. Mkalaluh и соавт. [13] приводят результаты хирургического лечения 138 пациентов высокого риска. Средняя продолжительность пребывания в реанимационном отделении составила 5,3 ± 7,5 дня, а общая 30-дневная смертность – 18,1% (n = 25), что совершенно неприемлемо для современной кардиохирургии. При этом наиболее частыми послеоперационными осложнениями были респираторные и сепсис.
Минимально инвазивная коррекция МН с применением клипирующего устройства MitraClip объединяет преимущества эффективного классического хирургического и эндоваскулярного лечения. MitraClip обеспечивает транскатетерную пластику МК путем создания вертикальной линии коаптации, образующей «двухотверстный» клапан. По своей сути клипирование створок клапана «край-в-край» устройством MitraClip является малоинвазивным аналогом хирургической пластики МК по Алфиери [14], при которой края створок МК сшиваются между собой посередине. Процедура позволяет позиционировать и изменять положение в реальном времени для оптимизации уменьшения митральной регургитации, тем самым достигается максимальный гемодинамический эффект. Медиана пребывания в стационаре составляет около 2,5 дня, а улучшение самочувствия с исчезновением или существенным уменьшением симптомов МН заметно уже на госпитальном этапе наблюдения. Отмечается низкий риск рецидива – у 90% прооперированных пациентов МК сохраняет свою функцию на протяжении 10 и более лет. Безопасность и эффективность методики подтверждены результатами исследований COAPT, EVEREST II [15, 16]. Чрескожная пластика МК с использованием MitraClip показала свою эффективность и безопасность в снижении недостаточности МК и улучшении функционального класса по классификации Нью-Йоркской кардиологической ассоциации (New York Heart Association, NYHA), а также прогноза заболевания [17, 18]. Ряд работ ярко демонстрируют преимущества малоинвазивной методики именно в группе пациентов высокого риска [19–21].
В литературе представлены единичные публикации, посвященные одномоментному выполнению эндоваскулярной пластики МК и закрытию УЛП. В частности, A.R.G. Francisco и соавт. сообщают о 5 пациентах, которым была выполнена окклюзия УЛП с помощью устройства Watchman с последующей имплантацией MitraClip в рамках одной процедуры. Всем пациентам – кандидатам на MitraClip и закрытие УЛП было отказано в открытой хирургической операции из-за коморбидного фона, низкой фракции выброса (35% и менее), недостаточности кровообращения (NYHA III и IV) и прочих рисков. Первым этапом была выполнена процедура закрытия УЛП, затем клипирование створок клапана. Все 5 пациентов были прооперированы правым трансфеморальным трансвенозным доступом с предушиванием области доступа двумя устройствами Рerclose РroGlide (Abbott Vascular, США). Все пациенты выписаны в течение 24–36 часов. Перипроцедурных или ранних послеоперационных осложнений зарегистрировано не было. Все пациенты отметили улучшение клинической симптоматики, ЭхоКГ через месяц показала значительное снижение МН (без значимого стеноза), оптимальное положение окклюдера и отсутствие тромбоза камер сердца. В области транссептальной пункции у всех 5 пациентов определялся небольшой гемодинамически незначимый шунтирующий сброс слева направо. Через 243 ± 70,7 дня сохранялось симптоматическое улучшение, без нежелательных явлений [22].
Результаты самой большой серии наблюдений одномоментной комбинированной процедуры клипирования и закрытия УЛП в одной клинике опубликованы группой авторов из Университетского центра сердца в Цюрихе (Швейцария). Исследователи сообщают о 25 пациентах с одномоментной эндоваскулярной пластикой МК и имплантацией окклюдера УЛП Amplatzer Amulet у пациентов с выраженной МН и сопутствующей ФП. Примечательно, что в качестве группы сравнения (контрольной группы) были набраны пациенты с МН и ФП, которым была выполнена только процедура клипирования «край-в-край». Все пациенты были прооперированы с марта по июнь 2016 г. Первым этапом выполнялась имплантация окклюдера, затем проводилось клипирование. Трансфеморальный трансвенозный доступ предушивался двумя устройствами Рerclose РroGlide. Прием ПОАК прекращался в день процедуры. Продолжительность пребывания в стационаре не различалась между двумя группами (7,0 дня в группе комбинированного лечения и 5,0 дня в контрольной группе, p = 0,33). Через 30 дней 1 пациент в группе комбинированного лечения умер от кровоизлияния в мозг (4% против 0% в контрольной группе, р = 0,32). У 3 пациентов было незначительное осложнение в области сосудистого доступа (4% против 8% в контрольной группе, p = 1,00), у 2 пациентов развилась острая почечная недостаточность (по 4% в каждой группе, p = 1,00). Авторы сообщают, что в группе комбинированного лечения не было случаев ишемического инсульта, перикардиального выпота или тампонады сердца. Геморрагический инсульт развился у 1 больного в группе комбинированного лечения. Это подчеркивает тот факт, что пациенты, перенесшие процедуры клипирования МК, составляют популяцию с высоким риском кровотечений. Данное исследование показало, что комбинированная процедура не оказывает существенного влияния на частоту острого повреждения почек и не приводит к увеличению нежелательных явлений и осложнений. Таким образом, по мнению авторов, выполнение одномоментной комбинированной процедуры клипирования и закрытия УЛП у пациентов с МН и ФП возможно и безопасно, поскольку показатели успеха и 30-дневные результаты не различались между группой пациентов, получивших комбинированное лечение, и группой с изолированным клипированием створок МК [23].
Руководствуясь отдельными сообщениями в литературе, потенциалом и опытом нашей клиники, сложившейся практикой эндоваскулярного лечения структурной патологии сердца и мультидисциплинарным подходом в работе, мы посчитали выполнение такого объединенного вмешательства возможным. Среди нескольких кандидатов на комбинированное вмешательство нами был отобран пациент с тяжелым коморбидным фоном и высоким риском как открытой операции, так и двухэтапного клипирования с последующим закрытием УЛП. Принимая во внимание небольшой мировой опыт, отсутствие отечественного и собственного опыта, мы заранее обсудили стратегию и этапы с привлечением анестезиологов, специалистов по визуализации и кардиохирургов. Учитывая тяжесть основной патологии, коллегиально было принято решение первым этапом скорректировать МН, а проведение второго этапа закрытия УЛП оставить на рассмотрение и решение интраоперационно, в зависимости от сложности и длительности первого этапа, стабильности пациента, технических аспектов в виде адекватной визуализации, точки пункции перегородки, положения установленной клипсы относительно траектории системы доставки окклюдера и др.
Остается открытым вопрос последовательности выполнения манипуляций в случае их объединения в одну хирургическую сессию. Необходимо иметь в виду также опыт зарубежных коллег, которые сообщают, что при длительной процедуре с постоянным промыванием интродьюсеров следует избегать риска развития объемной перегрузки и возможного угнетения систолической функции [23]. Большинство авторов – и мы разделяем эту точку зрения – считают, что по целому ряду причин первым этапом предпочтительно выполнять закрытие УЛП [10, 23, 24]. Во-первых, закрытие УЛП выполняется системой доставки меньшего диаметра (13, 14 Fr), чем система доставки MitraClip (24 Fr). Во-вторых, манипуляции по доставке и репозиционированию окклюдера не должны создавать потенциальных рисков компрометации результата клипирования створок МК. Эти технические аспекты должны быть отдельным предметом дискуссии. Несмотря на то что страховое финансовое возмещение подразумевает раздельное выполнение процедур митраклипирования и закрытия УЛП в большинстве стран [23], включая Российскую Федерацию, комбинированные процедуры в ряде случаев представляются предпочтительными для пациентов высокого хирургического и геморрагического рисков. Оптимальный режим и продолжительность антикоагулянтной терапии после закрытия УЛП остаются вопросом дискуссии и дальнейших клинических исследований. Так, например, довольно сложный протокол комбинированной антикоагулянтной и дезагрегантной терапии был протестирован в исследовании PROTECT AF у пациентов среднего и низкого риска геморрагических осложнений: варфарин и ацетилсалициловая кислота (100 мг) в течение 45 дней, далее до 6 месяцев – ацетилсалициловая кислота (100 мг) и клопидогрел (75 мг), затем только ацетилсалициловая кислота (100 мг). У пациентов с высоким риском кровотечения (по данным регистра ASAP) двойная антиагрегантная терапия успешно снижала число инсультов и тромбоэмболий в течение 6 месяцев, при этом данные о частоте кровотечений в этой группе еще не опубликованы [24]. В нашем случае, учитывая высокий риск геморрагических осложнений, мы ограничились назначением на 14 дней низкомолекулярного гепарина натрия в терапевтической дозе и клопидогрела (75 мг), а далее – монотерапии клопидогрелом на неопределенно долгий срок в условиях динамического наблюдения.
Заключение
Следует иметь в виду, что все опубликованные к настоящему времени данные об эффективности и безопасности одномоментного эндоваскулярного клипирования створок МК «край-в-край» и закрытия ушка левого предсердия имеют существенные ограничения, поскольку являются ретроспективными одноцентровыми исследованиями или единичными наблюдениями. Необходимо дальнейшее накопление опыта, в том числе в рамках рандомизированных исследований с длительным периодом наблюдения.
В приведенном нами клиническом наблюдении использование одного доступа и одной пункции перегородки для двух процедур позволило снизить хирургические риски и обеспечить хороший результат лечения. Нам еще предстоит его оценить в отдаленном периоде, как и взвесить потенциальные риски комбинированного подхода.
Необходимо уделять внимание возможности комфортного выполнения обеих процедур через один транссептальный пункционный доступ в каждом конкретном случае на этапе отбора больных для комбинированной хирургии. Нельзя пренебрегать фактом неизбежного увеличения общей продолжительности процедуры и общей анестезии у пациентов высокого хирургического риска. На основании одного успешного клинического наблюдения мы не можем рекомендовать подобную тактику для рутинного применения. Отсутствие убедительных данных исследований не позволяет выделить четкие показания или противопоказания к объединению двух достаточно сложных по отдельности процедур в одну оперативную сессию. Вместе с тем представленный единичный опыт нашей клиники свидетельствует о том, что одномоментное эндоваскулярное клипирование створок при митральной недостаточности и закрытие ушка левого предсердия технически выполнимы, эффективны и безопасны при тщательном отборе пациентов высокого хирургического риска.
Дополнительная информация
Согласие пациента
Пациент добровольно подписал информированное согласие на публикацию персональной медицинской информации в обезличенной форме в журнале «Альманах клинической медицины»».
Финансирование
Работа выполнена по инициативе авторов без привлечения финансирования.
Конфликт интересов
Авторы декларируют отсутствие явных и потенциальных конфликтов интересов, связанных с содержанием настоящей статьи.
Участие авторов
С.П. Семитко – оперирование пациентов, редактирование текста; Д.А. Асадов – первый ассистент на операции, написание текста; А.Н. Рогатова – ультразвуковая поддержка операции, анализ источников литературы; А.В. Степанов – анестезиологическая поддержка и наблюдение в реанимационном блоке; Н.С. Месяц и Н.Л. Пак – ультразвуковая поддержка операции, редактирование текста; Т.С. Сандодзе – второй ассистент на операциях, редактирование текста; В.В. Фоменко – описание клинической части, анализ данных; И.Х. Камолов – подбор и анализ источников литературы; А.Н. Панков – хирургическое обеспечение, редактирование текста; О.В. Захарова – лечащий врач пациентов, редактирование текста; А.В. Азаров – связь с представителями производителя, редактирование текста; И.Е. Чернышева – отбор пациентов для операции, редактирование текста; Д.Г. Иоселиани – консультации, концепция и дизайн статьи, утверждение итогового варианта текста рукописи. Все авторы прочли и одобрили финальную версию статьи перед публикацией, согласны нести ответственность за все аспекты работы и гарантируют, что ими надлежащим образом были рассмотрены и решены вопросы, связанные с точностью и добросовестностью всех частей работы.
About the authors
Sergey P. Semitko
I.M. Sechenov First Moscow State Medical University
Email: semitko@mail.ru
ORCID iD: 0000-0002-1268-5145
Scopus Author ID: 14042667400
ResearcherId: V-1371-2017
MD, PhD, Professor, Chair of Interventional Cardioangiology, Institute of Professional Education; Director, Scientific and Practical Center for Interventional Cardioangiology
Россия, 8/2 Trubetskaya ul., Moscow, 119991Dzhamil A. Asadov
I.M. Sechenov First Moscow State Medical University
Author for correspondence.
Email: asadov_djamil@mail.ru
ORCID iD: 0000-0001-8635-0893
SPIN-code: 7326-3905
Scopus Author ID: 57215335083
ResearcherId: AAE-6386-2019
MD, PhD, Associate Professor, Chair of Interventional Cardioangiology, Institute of Professional Education; X-ray endovascular diagnostics and Treatment Physician, Scientific and Practical Center for Interventional Cardioangiology
Россия, 8/2 Trubetskaya ul., Moscow, 119991Anna N. Rogatova
I.M. Sechenov First Moscow State Medical University
Email: Roganny@mail.ru
ORCID iD: 0000-0003-0187-2516
Head of Department of Functional Diagnostics, Scientific and Practical Center for Interventional Cardioangiology
Россия, 8/2 Trubetskaya ul., Moscow, 119991Alexander V. Stepanov
I.M. Sechenov First Moscow State Medical University
Email: savi2002@mail.ru
ORCID iD: 0000-0002-4009-4596
SPIN-code: 2532-9754
Head of Department of Anesthesiology and Resuscitation, Scientific and Practical Center for Interventional Cardioangiology
Россия, 8/2 Trubetskaya ul., Moscow, 119991Natalya S. Mesyats
I.M. Sechenov First Moscow State Medical University
Email: mesyatsnataliya@yandex.ru
Functional Diagnostics Physician, Department of Functional Diagnostics, Scientific and Practical Center for Interventional Cardioangiology
Россия, 8/2 Trubetskaya ul., Moscow, 119991Natalya L. Pak
I.M. Sechenov First Moscow State Medical University
Email: pnl1981@mail.ru
Functional Diagnostics Physician, Department of Functional Diagnostics, Scientific and Practical Center for Interventional Cardioangiology
Россия, 8/2 Trubetskaya ul., Moscow, 119991Tamara S. Sandodze
I.M. Sechenov First Moscow State Medical University
Email: doc.sandodze@mail.ru
ORCID iD: 0000-0003-4540-7747
MD, PhD, Head of Department of X-ray Surgical Methods of Diagnosis and Treatment, Scientific and Practical Center for Interventional Cardioangiology
Россия, 8/2 Trubetskaya ul., Moscow, 119991Viktoria V. Fomenko
I.M. Sechenov First Moscow State Medical University
Email: fomenko-victroria90@mail.ru
ORCID iD: 0000-0003-2124-7929
SPIN-code: 1345-4157
Scopus Author ID: 57226155263
ResearcherId: AFO-3319-2022
X-ray endovascular diagnostics and Treatment Physician, Scientific and Practical Center for Interventional Cardioangiology
Россия, 8/2 Trubetskaya ul., Moscow, 119991Imomali K. Kamolov
I.M. Sechenov First Moscow State Medical University
Email: kamolovimomali@yandex.ru
ORCID iD: 0000-0002-8148-6510
X-ray endovascular diagnostics and Treatment Physician, Scientific and Practical Center for Interventional Cardioangiology
Россия, 8/2 Trubetskaya ul., Moscow, 119991Andrey N. Pankov
I.M. Sechenov First Moscow State Medical University
Email: pandoc@mail.ru
ORCID iD: 0000-0002-2681-4243
MD, PhD, Head of Department of Cardiovascular Surgery, Scientific and Practical Center for Interventional Cardioangiology
Россия, 8/2 Trubetskaya ul., Moscow, 119991Olga V. Zakharova
I.M. Sechenov First Moscow State Medical University
Email: 1336644@mail.ru
MD, PhD, Cardiologist, Cardiac Surgery Department, Scientific and Practical Center for Interventional Cardioangiology
Россия, 8/2 Trubetskaya ul., Moscow, 119991Alexey V. Azarov
I.M. Sechenov First Moscow State Medical University; Moscow Regional Research and Clinical Institute (MONIKI)
Email: azarov_al@mail.ru
ORCID iD: 0000-0001-7061-337X
SPIN-code: 1149-6426
Scopus Author ID: 57220302269
MD, PhD, Associate Professor, Chair of Interventional Cardioangiology, Institute of Professional Education; Leading Research Fellow, Head of Department of Endovascular Treatment of Cardiovascular Diseases and Rhythm Disorders
Россия, 8/2 Trubetskaya ul., Moscow, 119991; 61/2 Shchepkina ul., Moscow, 129110Irina E. Chernysheva
I.M. Sechenov First Moscow State Medical University
Email: avstreyh@yahoo.com
SPIN-code: 7794-7020
MD, PhD, Deputy Director for Medical Work
Россия, 8/2 Trubetskaya ul., Moscow, 119991David G. Ioseliani
I.M. Sechenov First Moscow State Medical University
Email: davidgi@mail.ru
ORCID iD: 0000-0001-6425-7428
MD, PhD, Professor, Member of Russ. Acad. Sci., Head of Chair of Interventional Cardioangiology, Institute of Professional Education
Россия, 8/2 Trubetskaya ul., Moscow, 119991References
- Nkomo VT, Gardin JM, Skelton TN, Gottdiener JS, Scott CG, Enriquez-Sarano M. Burden of valvular heart diseases: a population-based study. Lancet. 2006;368(9540):1005–1011. doi: 10.1016/S0140-6736(06)69208-8.
- Atchley A. Treating Mitral Regurgitation in High Risk Patients [Internet]. Heart Valve Technology. 2019 Jan 14. Available from: https://www.dicardiology.com/article/treating-mitral-regurgitation-high-risk-patients.
- Essa H, Hill AM, Lip GYH. Atrial Fibrillation and Stroke. Card Electrophysiol Clin. 2021;13(1):243–255. doi: 10.1016/j.ccep.2020.11.003.
- Arakelyan MG, Bockeria LA, Vasilieva EYu, Golitsyn SP, Golukhova EZ, Gorev MV, Davtyan KV, Drapkina OM, Kropacheva ES, Kuchinskaya EA, Lajovich LYu, Mironov NYu, Mishina IE, Panchenko EP, Revishvili ASh, Rzayev FG, Tatarsky BA, Utsumueva MD, Shakhmatova OO, Shlevkov NB, Shpektor AV, Andreev DA, Artyukhina EA, Barbarash OL, Galyavich AS, Duplyakov DV, Zenin SA, Lebedev DS, Mikhailov EN, Novikova NA, Popov SV, Filatov AG, Shlyakhto EV, Shubik YuV. 2020 Clinical guidelines for atrial fibrillation and atrial flutter. Российский кардиологический журнал. 2021;26(7):190–260. Russian. doi: 10.15829/1560-4071-2021-4594.
- Kumbhani DJ, Cannon CP, Beavers CJ, Bhatt DL, Cuker A, Gluckman TJ, Marine JE, Mehran R, Messe SR, Patel NS, Peterson BE, Rosenfield K, Spinler SA, Thourani VH. 2020 ACC Expert Consensus Decision Pathway for Anticoagulant and Antiplatelet Therapy in Patients With Atrial Fibrillation or Venous Thromboembolism Undergoing Percutaneous Coronary Intervention or With Atherosclerotic Cardiovascular Disease: A Report of the American College of Cardiology Solution Set Oversight Committee. J Am Coll Cardiol. 2021;77(5):629–658. doi: 10.1016/j.jacc.2020.09.011.
- Yasuda S, Kaikita K, Akao M, Ako J, Matoba T, Nakamura M, Miyauchi K, Hagiwara N, Kimura K, Hirayama A, Matsui K, Ogawa H; AFIRE Investigators. Antithrombotic Therapy for Atrial Fibrillation with Stable Coronary Disease. N Engl J Med. 2019;381(12):1103–1113. doi: 10.1056/NEJMoa1904143.
- Melkonian M, Jarzebowski W, Pautas E, Siguret V, Belmin J, Lafuente-Lafuente C. Bleeding risk of antiplatelet drugs compared with oral anticoagulants in older patients with atrial fibrillation: a systematic review and meta-analysis. J Thromb Haemost. 2017;15(7):1500–1510. doi: 10.1111/jth.13697.
- Reddy VY, Holmes D, Doshi SK, Neuzil P, Kar S. Safety of percutaneous left atrial appendage closure: results from the Watchman Left Atrial Appendage System for Embolic Protection in Patients with AF (PROTECT AF) clinical trial and the Continued Access Registry. Circulation. 2011;123(4):417–424. doi: 10.1161/CIRCULATIONAHA.110.976449.
- Holmes DR, Reddy VY, Turi ZG, Doshi SK, Sievert H, Buchbinder M, Mullin CM, Sick P; PROTECT AF Investigators. Percutaneous closure of the left atrial appendage versus warfarin therapy for prevention of stroke in patients with atrial fibrillation: a randomised non-inferiority trial. Lancet. 2009;374(9689):534–542. doi: 10.1016/S0140-6736(09)61343-X.
- Schade A, Kerber S, Hamm K. Two in a single procedure: combined approach for MitraClip implantation and left atrial appendage occlusion using the Watchman device. J Invasive Cardiol. 2014;26(3):E32–E34.
- Filsoufi F, Carpentier A. Principles of reconstructive surgery in degenerative mitral valve disease. Semin Thorac Cardiovasc Surg. 2007;19(2):103–110. doi: 10.1053/j.semtcvs.2007.04.003.
- Takagi H, Ando T, Umemoto T; ALICE (All-Literature Investigation of Cardiovascular Evidence) Group. A review of comparative studies of MitraClip versus surgical repair for mitral regurgitation. Int J Cardiol. 2017;228:289–294. doi: 10.1016/j.ijcard.2016.11.153.
- Mkalaluh S, Szczechowicz M, Dib B, Szabo G, Karck M, Weymann A. Outcomes and Predictors of Mortality After Mitral Valve Surgery in High-Risk Elderly Patients: The Heidelberg Experience. Med Sci Monit. 2017;23:6193–6200. doi: 10.12659/msm.906003.
- Alfieri O, Maisano F, De Bonis M, Stefano PL, Torracca L, Oppizzi M, La Canna G. The double-orifice technique in mitral valve repair: a simple solution for complex problems. J Thorac Cardiovasc Surg. 2001;122(4):674–681. doi: 10.1067/mtc.2001.117277.
- Stone GW, Lindenfeld J, Abraham WT, Kar S, Lim DS, Mishell JM, Whisenant B, Grayburn PA, Rinaldi M, Kapadia SR, Rajagopal V, Sarembock IJ, Brieke A, Marx SO, Cohen DJ, Weissman NJ, Mack MJ; COAPT Investigators. Transcatheter Mitral-Valve Repair in Patients with Heart Failure. N Engl J Med. 2018;379(24):2307–2318. doi: 10.1056/NEJMoa1806640.
- Glower D, Ailawadi G, Argenziano M, Mack M, Trento A, Wang A, Lim DS, Gray W, Grayburn P, Dent J, Gillam L, Sethuraman B, Feldman T, Foster E, Mauri L, Kron I; EVEREST II Investigators. EVEREST II randomized clinical trial: predictors of mitral valve replacement in de novo surgery or after the MitraClip procedure. J Thorac Cardiovasc Surg. 2012;143(4 Suppl):S60–S63. doi: 10.1016/j.jtcvs.2012.01.047.
- Feldman T, Foster E, Glower DD, Kar S, Rinaldi MJ, Fail PS, Smalling RW, Siegel R, Rose GA, Engeron E, Loghin C, Trento A, Skipper ER, Fudge T, Letsou GV, Massaro JM, Mauri L; EVEREST II Investigators. Percutaneous repair or surgery for mitral regurgitation. N Engl J Med. 2011;364(15):1395–1406. doi: 10.1056/NEJMoa1009355.
- Feldman T, Wasserman HS, Herrmann HC, Gray W, Block PC, Whitlow P, St Goar F, Rodriguez L, Silvestry F, Schwartz A, Sanborn TA, Condado JA, Foster E. Percutaneous mitral valve repair using the edge-to-edge technique: six-month results of the EVEREST Phase I Clinical Trial. J Am Coll Cardiol. 2005;46(11):2134–2140. doi: 10.1016/j.jacc.2005.07.065.
- Franzen O, Baldus S, Rudolph V, Meyer S, Knap M, Koschyk D, Treede H, Barmeyer A, Schofer J, Costard-Jäckle A, Schlüter M, Reichenspurner H, Meinertz T. Acute outcomes of MitraClip therapy for mitral regurgitation in high-surgical-risk patients: emphasis on adverse valve morphology and severe left ventricular dysfunction. Eur Heart J. 2010;31(11):1373–1381. doi: 10.1093/eurheartj/ehq050.
- Whitlow PL, Feldman T, Pedersen WR, Lim DS, Kipperman R, Smalling R, Bajwa T, Herrmann HC, Lasala J, Maddux JT, Tuzcu M, Kapadia S, Trento A, Siegel RJ, Foster E, Glower D, Mauri L, Kar S; EVEREST II Investigators. Acute and 12-month results with catheter-based mitral valve leaflet repair: the EVEREST II (Endovascular Valve Edge-to-Edge Repair) High Risk Study. J Am Coll Cardiol. 2012;59(2):130–139. doi: 10.1016/j.jacc.2011.08.067.
- Rudolph V, Knap M, Franzen O, Schlüter M, de Vries T, Conradi L, Schirmer J, Treede H, Wegscheider K, Costard-Jäckle A, Meinertz T, Reichenspurner H, Baldus S. Echocardiographic and clinical outcomes of MitraClip therapy in patients not amenable to surgery. J Am Coll Cardiol. 2011;58(21):2190–2195. doi: 10.1016/j.jacc.2011.07.047.
- Francisco ARG, Infante de Oliveira E, Nobre Menezes M, Carrilho Ferreira P, Canas da Silva P, Nobre Â, Pinto FJ. Combined MitraClip implantation and left atrial appendage occlusion using the Watchman device: A case series from a referral center. Rev Port Cardiol. 2017;36(7–8):525–532. English, Portuguese. doi: 10.1016/j.repc.2016.11.012.
- Kuwata S, Taramasso M, Zuber M, Suetsch G, Attinger-Toller A, Wicki D, Maisano F, Nietlispach F. Feasibility of concomitant MitraClip and left atrial appendage occlusion. EuroIntervention. 2017;12(16):1940–1945. doi: 10.4244/EIJ-D-16-00784.
- Reddy VY, Möbius-Winkler S, Miller MA, Neuzil P, Schuler G, Wiebe J, Sick P, Sievert H. Left atrial appendage closure with the Watchman device in patients with a contraindication for oral anticoagulation: the ASAP study (ASA Plavix Feasibility Study With Watchman Left Atrial Appendage Closure Technology). J Am Coll Cardiol. 2013;61(25):2551–2556. doi: 10.1016/j.jacc.2013.03.035.
Supplementary files









