Worsening of a progressive interstitial lung disease in a patient with adult Still's disease after a novel coronavirus infection
- Authors: Strutynskaya A.D.1, Karnaushkina M.A.2, Ovsyannikov D.Y.2, Filippov S.A.3, Tyurin I.E.1
-
Affiliations:
- Russian Medical Academy of Continuous Professional Education
- Peoples' Friendship University of Russia (RUDN University)
- Moscow City Clinical Hospital named after V.V. Vinogradov
- Issue: Vol 50, No 2 (2022)
- Pages: 127-132
- Section: CLINICAL CASES
- Published: 22.07.2022
- URL: https://almclinmed.ru/jour/article/view/1511
- DOI: https://doi.org/10.18786/2072-0505-2022-50-013
- ID: 1511
Cite item
Full Text
Abstract
Adult Still's disease is a rare systemic disorder of unknown etiology. Its course is often complicated by interstitial pneumonia and fulminant hepatitis. Published data have indicated some common mechanisms of systemic inflammation in patients with autoimmune disorders and SARS-COV-19. We present a clinical case of a 74-year old female patient with a long standing, slowly progressive Still’s disease, who developed “honeycomb lung” and severe liver injury as major syndromes after a novel coronavirus infection. Within 10 months, she developed increasing dyspnea, progressive fibrous pulmonary abnormalities with formation of a "honeycomb lung" and signs of liver failure. Due to late medical referral, these symptoms have led to the patient’s death. According to the literature, lung tissue abnormalities that persist after a new coronavirus infection in patients with autoimmune disorders can be both a manifestation of residual post-covid injury and a systemic disease-associated lung injury with COVID-19-triggered progression. By this clinical example, we intended to illustrate that the key to a correct diagnosis is multiple organ damage persisting after a novel coronavirus infection irrespective of the severity of the coronavirus lung injury. Such symptoms indicate the need to assess immunological markers to exclude an autoimmune disease exacerbation or onset. Clinicians should aim at rapid diagnosis and timely initiation of specific therapy.
Full Text
Болезнь Стилла взрослых представляет собой редкое системное заболевание неизвестной этиологии. Она диагностируется на основании критериев M. Yamaguchi и соавт. (1992) [цит. по [1]]. Течение заболевания нередко осложняется развитием интерстициальной пневмонии, перикардита, миокардита, синдрома активации макрофагов, острого респираторного дистресс-синдрома, синдрома диссеминированного внутрисосудистого свертывания и фульминантного гепатита [1]. В 2020 г. опубликованы данные, свидетельствующие об общих механизмах развития воспалительного процесса у пациентов с системными заболеваниями соединительной ткани и новой коронавирусной инфекцией (COVID-19). Показано, что у пациентов с аутоиммунными заболеваниями увеличивается риск тяжелого течения и неблагоприятного прогноза COVID-19, а также наблюдается прогрессирование аутоиммунных заболеваний [2].
Мы представляем клиническое наблюдение 74-летней пациентки, у которой ведущими синдромами на фоне длительного течения болезни Стилла после перенесенной новой коронавирусной инфекции были прогрессирование неспецифической интерстициальной пневмонии и развитие тяжелого поражения печени.
Клиническое наблюдение
Пациентка Е., 74 года, заболела остро в 1998 г., когда появились зудящая сыпь, артралгии, повысилась температура. В ходе проведенного обследования в крови выявлено повышение уровня лейкоцитов (25 × 109/л), нейтрофилов (22 × 109/л), ферритина (394 мкг/л), скорости оседания эритроцитов (СОЭ, 43 мм/ч) и С-реактивного белка (СРБ, 115 мг/л). При проведении рентгенографии органов грудной клетки (ОГК) наблюдалось усиление легочного рисунка. В ходе обследования заподозрено системное заболевание соединительной ткани, был назначен преднизолон в дозе 30 мг с положительным эффектом. Через 6 месяцев вновь повысилась температура, возобновились артралгии, развился синдром Рейно, потеря массы тела за 1 месяц составила около 6 кг. Выявлено увеличение шейных, подмышечных и паховых лимфатических узлов до 2–3 см. Госпитализирована в ревматологическое отделение, где проведено обследование. Ревматоидный фактор (РФ), антитела к циклическому цитруллинсодержащему пептиду (ACPA), антитела к ядерным антигенам (ANA), антинейтрофильные цитоплазматические аутоантитела (ANCA), антитела к антигенам Scl-70, PM-Scl, PCNA, Jo-1, SS-A (Ro), к двуспиральной ДНК отрицательные. При ультразвуковом исследовании и биопсии лимфатических узлов определяется реактивный лимфаденит. На рентгенограммах ОГК отмечены изменения, расцененные как ограниченный пневмосклероз. Спирография: форсированная жизненная емкость легких (ФЖЕЛ) – 89%; объем форсированного выдоха за 1 секунду (ОФВ1) – 78%, ОФВ1/ФЖЕЛ – 79%, проба с сальбутамолом 400 мкг – отрицательная. При проведении эхокардиографии (ЭхоКГ) патологии не выявлено. Пациентке поставлен диагноз «болезнь Стилла взрослых». Проведена пульс-терапия метилпреднизолоном с переходом на дексаметазон. После выписки из стационара было рекомендовано продолжить прием дексаметазона. Однако в дальнейшем пациентка принимала его короткими курсами только при возникновении суставного синдрома.
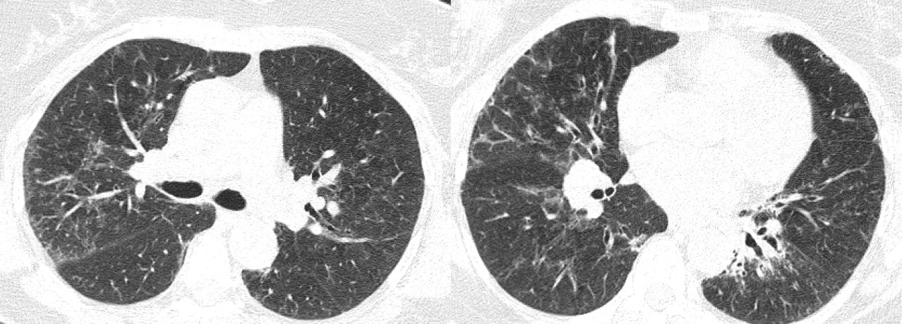
Ухудшение состояния отмечено с 2017 г., когда появилась одышка при умеренных физических нагрузках, сухой кашель. Была госпитализирована в пульмонологическое отделение. В анализах крови: лейкоциты 8,5 × 109/л, СОЭ 28 мм/ч, СРБ 11 мг/л; ферритин 25 мкг/л, щелочная фосфатаза (ЩФ) 855 Ед/л, аспартатаминотрансфераза 69 Ед/л, аланинаминотрансфераза 59 Ед/л, общий билирубин 30,2 мкмоль/л, прямой билирубин 27,3 мкмоль/л. Повышение уровней лактатдегидрогеназы, креатинфосфокиназы, РФ, антител к нативной ДНК, ANA, ACPA, ANCA, антител к миелопероксидазе, протеиназе, антигенам Scl-70, Jo-1, антител к микросомальной фракции печени и почек, антимитохондриальных антител, криоглобулинов и иммуноглобулинов (Ig) A, M, G не выявлено. При проведении ультразвукового исследования органов брюшной полости обнаружена умеренная спленомегалия (14 × 10 × 9 см), диффузные изменения печени, признаки хронического калькулезного холецистита. Бодиплетизмография: жизненная емкость легких (ЖЕЛ) 65%, ФЖЕЛ 69%, ОФВ1/ФЖЕЛ 70%; общая емкость легких 68%, остаточный объем легких 63%, DLCO 53%. Бронхоскопия выявила эрозивный бронхит, трансбронхиальная биопсия – признаки эндобронхита. При компьютерной томографии (КТ) ОГК наблюдались зоны «матового стекла», диффузные пневмосклеротические изменения в плащевых зонах обоих легких (рис. 1).
Рис. 1. Компьютерная томография органов грудной клетки: аксиальные срезы. Двусторонние распространенные зоны «матового стекла» с ретикулярными интерстициальными изменениями, утолщение стенок бронхов
ЭхоКГ: камеры сердца не расширены, фракция выброса – 60%, систолическое давление в легочной артерии – 45 мм рт. ст. При выписке поставлен диагноз «болезнь Стилла взрослых, интерстициальное заболевание легких без морфологической верификации». Рекомендована терапия метилпреднизолоном в дозе 20 мг с повторной консультацией ревматолога и пульмонолога. Пациентка к врачам не обращалась и через 10–12 месяцев самостоятельно отменила препарат.
Состояние стойко стабилизировалось. В ходе обследования, проведенного в феврале 2020 г., респираторные симптомы не прогрессировали. Одышка по шкале mMRC 2 балла. На контрольной КТ ОГК – без отрицательной динамики. При проведении бодиплетизмографии и исследовании диффузионной способности легких: ЖЕЛ 64%, ФЖЕЛ 70% (падение ФЖЕЛ в течение 3 лет – менее 5%), ОФВ1/ЖЕЛ 72%, общая емкость легких 66%, остаточный объем легких 65%, DLCO 61%, СРБ 6,2 мг/л, ферритин 8 мкг/л, РФ 7 ЕД/мл, SatO2 97%.
В мае 2020 г. пациентка заболела COVID-19, заболевание проявлялось главным образом в виде усиления одышки (по шкале mMRC 3 балла). Лечилась амбулаторно, принимала фавипиравир, антикоагулянты, левофлоксацин. В связи с появлением одышки при минимальной физической нагрузке и в покое, а также появлением отеков нижних конечностей в сентябре 2020 г. были рекомендованы формотерол/будесонид 12/400 мкг, тиотропия бромид 18 мкг, фуросемид. Выполнена КТ ОГК, при которой описана отрицательная динамика (рис. 2). SatO2 92%. От предложенной госпитализации пациентка отказалась. К врачу до марта 2021 г. не обращалась, не обследовалась, продолжала принимать рекомендованную ингаляционную терапию.
Рис. 2. Компьютерная томография органов грудной клетки: аксиальные срезы. Полиморфные ретикулярные изменения на фоне зон «матового стекла». Расширение бронхов по типу бронхиолоэктазов и бронхоэктазов. Признаки «сотового легкого» в заднебазальных отделах
В марте 2021 г. пациентка госпитализирована в больницу в тяжелом состоянии. Частота дыхательных движений 24 в минуту, SpO2 90%, артериальное давление 90/50 мм рт. ст., частота сердечных сокращений 110 в минуту. Гемоглобин 81 г/л, эритроциты 3,62 × 1012/л, лейкоциты 5,6 × 109/л, нейтрофилы 2,3 × 109/л, тромбоциты 174 × 109/л, общий билирубин 78 мкмоль/л, прямой билирубин 62 мкмоль/л, ЩФ 556 ЕД, аспартатаминотрансфераза 448,5 Ед/л, аланинаминотрансфераза 433,6 Ед/л, ферритин 35 мкг/л, СОЭ 32 мм/ч, СРБ 27 мг/л, креатинин 100 мкмоль/л. Повышения уровней креатинфосфокиназы, РФ, антител к нативной ДНК, ANA, ACPA, ANCA, антител к антигену Scl-70 не выявлено. Впервые отмечено повышение криоглобулинов и IgM, IgG.
Ультразвуковое исследование органов брюшной полости: печень не увеличена, структура мелкозернистая, селезенка не увеличена, незначительное количество жидкости в брюшной полости.
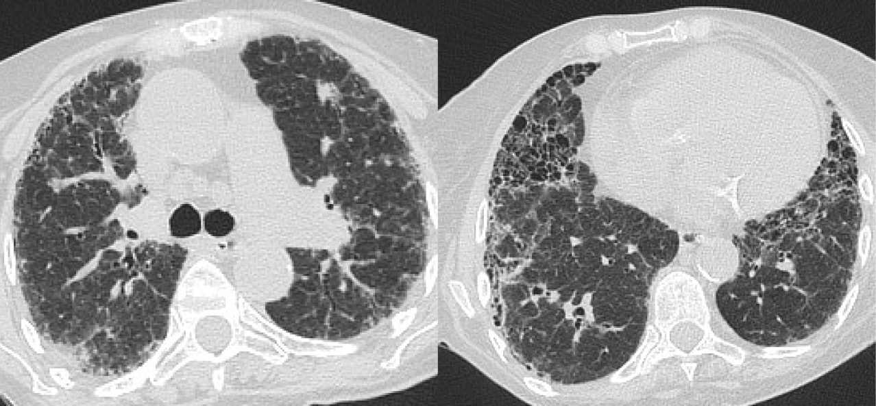
КТ ОГК с контрастированием: КТ-картина интерстициального заболевания легких в стадии формирования «сотового легкого» (рис. 3), малый двусторонний гидроторакс, кардиомегалия. Данных за тромбоэмболию легочной артерии не получено.
Рис. 3. Компьютерная томография органов грудной клетки: аксиальные срезы. Распространенные двусторонние фиброзные изменения на фоне увеличившихся зон «матового стекла», множественные мелкие полостные образования с формированием «сотового легкого», многочисленные бронхоэктазы и бронхиолоэктазы, что соответствует картине возможной обычной интерстициальной пневмонии или фибротическому типу неспецифической интерстициальной пневмонии
ЭхоКГ: расширение правого предсердия (6,2 × 6,8 см) и правого желудочка (4,4 см), сократительная способность левого желудочка снижена (фракция выброса 30%), систолическое давление в легочной артерии 65 мм рт. ст., нижняя полая вена 2,3 см, расширена, коллабирует менее 50%.
Ультразвуковая доплерография сосудов нижних конечностей – данных за тромбоз не получено.
Эндоскопическая ретроградная холангиопанкреатография: данных за патологию холедоха и панкреатического протока не выявлено.
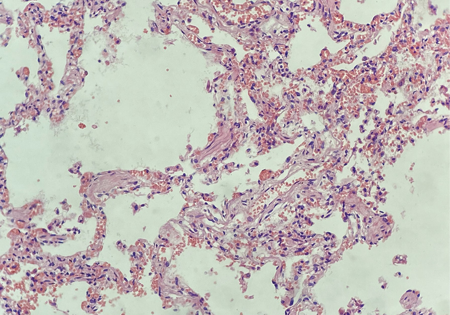
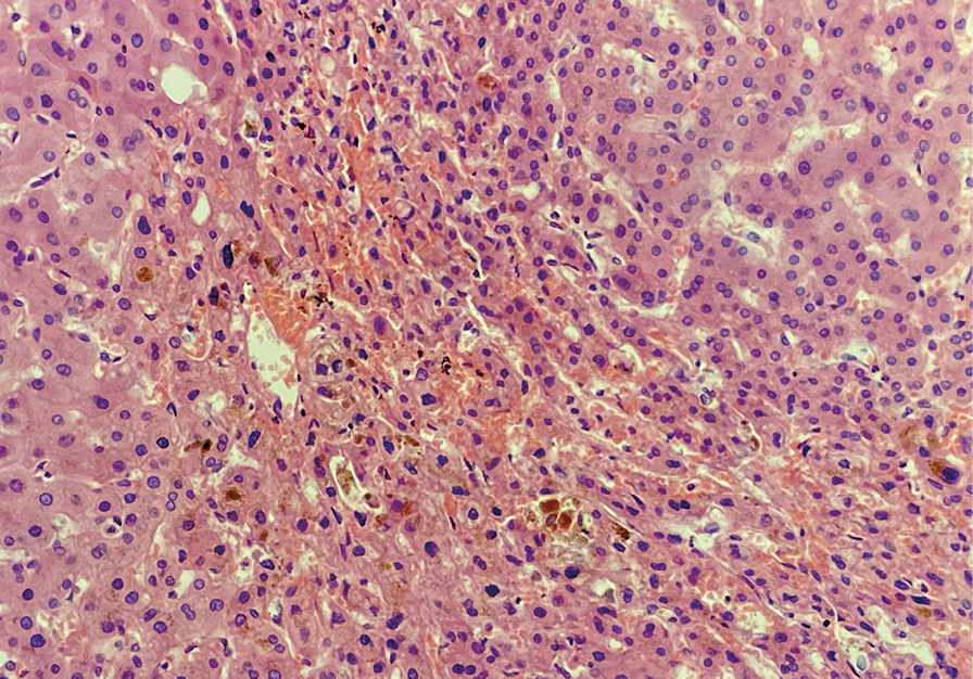
На фоне нарастающей полиорганной недостаточности пациентка скончалась. При патоморфологическом исследовании выявлена обычная интерстициальная пневмония с формированием «сотового легкого». Осложнениями стали хроническое легочное сердце, декомпенсация (толщина стенки правого желудочка – 0,8 см, желудочковый индекс – 0,8 (отношение массы правого желудочка к массе левого желудочка в норме 0,4–0,6)), хроническая сердечная недостаточность, двусторонний гидроторакс (по 400 мл в правой и левой плевральных полостях), дистрофия печени, почек, миокарда; признаки портальной гипертензии – спленомегалия (масса 350 г), асцит (1500 мл), гепаторенальный синдром. Данные аутопсии (гистологического исследования) представлены на рис. 4, 5.
Рис. 4. Легкое. Утолщение стенок альвеол за счет диффузного фиброза, пролиферация гладкомышечных клеток, выраженная гиперплазия альвеолоцитов II типа. Окраска по Ван Гизону; × 400
Рис. 5. Печень. Явления дуктопении. Пролиферация дуктулярного эпителия. Интраканаликулярный холестаз с образованием желчных пробок. Окраска гематоксилином и эозином; × 400
Обсуждение
У пациентки с прогрессирующим течением синдрома Стилла на КТ ОГК выявлены изменения в легочной ткани, соответствующие картине возможной обычной интерстициальной пневмонии или фибротическому типу неспецифической интерстициальной пневмонии. Патоморфологически в легочной ткани отмечен паттерн обычной интерстициальной пневмонии с формированием «сотового легкого», а также изменения в печени с явлениями дуктопении и пролиферации дуктулярного эпителия.
Согласно данным литературы, у пациентов с синдромом Стилла взрослых без развития острого респираторного дистресс-синдрома наиболее часто регистрируют следующие варианты поражения легочной ткани: неспецифическую интерстициальную пневмонию, респираторный бронхиолит и организующиеся интерстициальные пневмонии [3–5], что соотносится с характером поражения легочной ткани, выявленного у нашей пациентки.
В представленном клиническом наблюдении у больной кроме поражения легочной ткани имел место синдром холестаза (с 2017 г.), а впервые выявленное в 2021 г. повышение криоглобулинов определило необходимость проведения дифференциального диагноза с другими системными заболеваниями соединительной ткани, аутоиммунным поражением печени или присоединением после перенесенной COVID-19 лимфопролиферативного заболевания. Этот дифференциально-диагностический ряд обычно требует проведения биопсии лимфатических узлов, печени и/или легких. Однако исследование не было выполнено в связи с крайне тяжелым состоянием пациентки.
Развитие прогрессирующего холестатического и цитолитического синдромов может иметь следующие объяснения. Поражение печени при болезни Стилла взрослых обычно проявляется признаками цитолиза и печеночно-клеточной недостаточности [5–7]. Холестатическая желтуха возникает у 3% из этих больных [8]. В нашем клиническом наблюдении по данным посмертного патогистологического исследования отмечены явления дуктопении, пролиферации дуктулярного эпителия и интраканаликулярный холестаз с образованием желчных пробок в отсутствие признаков подпеченочного холестаза, что могло быть проявлением холангиоцеллюлярного холестаза, вероятно связанного с развитием вторичного склерозирующего холангита в рамках основного заболевания. Мы также могли бы рассматривать проявления холестаза как холестатический тип при застойной гепатопатии на фоне хронической сердечно-сосудистой недостаточности. Но этой версии противоречат высокие цифры ЩФ, которые регистрировали до появления сердечной недостаточности, что подтверждается данными ЭхоКГ и низким уровнем proBNP в 2017 г. [9]. При сравнении результатов обследований пациентки в 2017 и начале 2020 г. данных об активности системного заболевания соединительной ткани и прогрессировании фиброзирующего заболевания легких не получено. Таким образом, в проведении терапии метотрексатом или генно-инженерными биологическими препаратами больная не нуждалась.
Ухудшение состояния пациентки, учитывая возникновение смешанной криоглобулинемии, отсутствие отрицательной динамики заболевания с 2017 по 2020 г., отмеченное при КТ ОГК появление и увеличение зон «матового стекла» расценивалось нами как рецидив системного заболевания соединительной ткани после перенесенной новой коронавирусной инфекции. По данным литературы, эти заболевания имеют общие патогенетические механизмы. Наиболее тяжелыми осложнениями COVID-19, так же как и аутоиммунных заболеваний, выступают синдром «цитокинового шторма» и синдром активации макрофагов [10]. Предположительно, именно общность механизмов определяет то, что у пациентов с системными заболеваниями соединительной ткани наблюдается увеличение риска тяжелого течения COVID-19 и летальности [2, 11–15] и что новая коронавирусная инфекция выступает фактором риска развития широкого спектра аутоиммунных заболеваний. Это подтверждается высокой частотой выявления у данной группы пациентов антинуклеарного фактора и специфических антиядерных антител, часто без развития клинической симптоматики [11–15]. Представленные данные могут объяснить прогрессирование болезни Стилла взрослых у нашей пациентки, которое через 7 месяцев после перенесенного легкого течения COVID-19 привело к летальному исходу.
Заключение
Описанное нами клиническое наблюдение иллюстрирует то, что изменения в легочной ткани, сохраняющиеся после перенесенной новой коронавирусной инфекции у пациентов с аутоиммунными заболеваниями, могут быть расценены и как резидуальные постковидные изменения, и как манифестировавшие или прогрессирующие на фоне COVID-19 поражения легких при системном заболевании. В этом случае проведение дифференциального диагноза может стать сложной задачей для врача. На примере данного клинического наблюдения мы хотели показать, что ключевым фактором, позволяющим правильно установить диагноз, служит сохраняющееся полиорганное поражение на фоне прогрессирующего фиброзного поражения легких. Наличие таких проявлений диктует необходимость исследования иммунологических маркеров для исключения обострения или дебюта аутоиммунного заболевания, а целью клинициста должна стать быстрая диагностика и своевременное начало специфического лечения.
Дополнительная информация
Согласие пациента
Пациентка при госпитализации в марте 2021 г. в терапевтическое отделение ГБУЗ «ГКБ им. В.В. Виноградова ДЗМ» подписала информированное согласие на использование ее медицинских данных в обезличенной форме в научных целях во время лечения.
Финансирование
Работа проведена без привлечения дополнительного финансирования со стороны третьих лиц.
Конфликт интересов
Авторы декларируют отсутствие явных и потенциальных конфликтов интересов, связанных с публикацией настоящей статьи.
Участие авторов
А.Д. Струтынская – сбор, анализ и систематизация клинического материала; М.А. Карнаушкина – дизайн представления клинического наблюдения, анализ клинических данных, интерпретация результатов, редактирование статьи, утверждение итогового варианта текста рукописи; Д.Ю. Овсянников – поиск и анализ литературы; С.А. Филиппов – представление и интерпретация данных патологоанатомического и гистологического исследований, помощь в разработке дизайна исследования; И.Е. Тюрин – анализ данных компьютерной томографии, редактирование статьи, утверждение итогового варианта текста рукописи. Все авторы прочли и одобрили финальную версию статьи перед публикацией, согласны нести ответственность за все аспекты работы и гарантируют, что ими надлежащим образом были рассмотрены и решены вопросы, связанные с точностью и добросовестностью всех частей работы.
About the authors
Anastasia D. Strutynskaya
Russian Medical Academy of Continuous Professional Education
Email: strutynskaya@yandex.ru
ORCID iD: 0000-0001-9325-5587
Postgraduate Student, Chair of X-ray Radiography and Radiology
Россия, 2/1–1 Barrikadnaya ul., Moscow, 125993Maria A. Karnaushkina
Peoples' Friendship University of Russia (RUDN University)
Email: kar3745@yandex.ru
ORCID iD: 0000-0002-8791-2920
SPIN-code: 3297-8985
Scopus Author ID: 7801543452
MD, PhD, Professor, Chair of Internal Medicine with a Course of Cardiology and Functional Diagnostics named after academician V.S. Moiseev
Россия, 6 Miklukho-Maklaya ul., Moscow, 117198Dmitriy Y. Ovsyannikov
Peoples' Friendship University of Russia (RUDN University)
Email: mdovsyannikov@yahoo.com
ORCID iD: 0000-0002-4961-384X
MD, PhD, Head of Chair of Pediatrics
Россия, 6 Miklukho-Maklaya ul., Moscow, 117198Sergey A. Filippov
Moscow City Clinical Hospital named after V.V. Vinogradov
Email: moteo88@mail.ru
Pathologist, Department of Pathological Anatomy
Россия, 61 Vavilova ul., Moscow, 117292Igor E. Tyurin
Russian Medical Academy of Continuous Professional Education
Author for correspondence.
Email: igortyurin@gmail.com
ORCID iD: 0000-0003-3931-1431
MD, PhD, Head of Chair of X-ray Radiography and Radiology
Россия, 2/1–1 Barrikadnaya ul., Moscow, 125993References
- Gerfaud-Valentin M, Jamilloux Y, Iwaz J, Sève P. Adult-onset Still's disease. Autoimmun Rev. 2014;13(7):708–722. doi: 10.1016/j.autrev.2014.01.058.
- Liu M, Gao Y, Zhang Y, Shi S, Chen Y, Tian J. The association between severe or dead COVID-19 and autoimmune diseases: A systematic review and meta-analysis. J Infect. 2020;81(3):e93–e95. doi: 10.1016/j.jinf.2020.05.065.
- Gerfaud-Valentin M, Cottin V, Jamilloux Y, Hot A, Gaillard-Coadon A, Durieu I, Broussolle C, Iwaz J, Sève P. Parenchymal lung involvement in adult-onset Still disease: A STROBE-compliant case series and literature review. Medicine (Baltimore). 2016;95(30):e4258. doi: 10.1097/MD.0000000000004258.
- Mehta MV, Manson DK, Horn EM, Haythe J. An atypical presentation of adult-onset Still's disease complicated by pulmonary hypertension and macrophage activation syndrome treated with immunosuppression: a case-based review of the literature. Pulm Circ. 2016;6(1):136–142. doi: 10.1086/685112.
- Chi H, Wang Z, Meng J, Han P, Zhai L, Feng T, Teng J, Sun Y, Hu Q, Zhang H, Liu H, Cheng X, Ye J, Shi H, Wu X, Zhou Z, Jia J, Wan L, Liu T, Qiao X, Wang M, Wang F, Chen X, Yang C, Su Y. A Cohort Study of Liver Involvement in Patients With Adult-Onset Still's Disease: Prevalence, Characteristics and Impact on Prognosis. Front Med (Lausanne). 2020;7:621005. doi: 10.3389/fmed.2020.621005.
- Giacomelli R, Ruscitti P, Shoenfeld Y. A comprehensive review on adult onset Still's disease. J Autoimmun. 2018;93:24–36. doi: 10.1016/j.jaut.2018.07.018.
- Zhu G, Liu G, Liu Y, Xie Q, Shi G. Liver abnormalities in adult onset Still's disease: a retrospective study of 77 Chinese patients. J Clin Rheumatol. 2009;15(6):284–288. doi: 10.1097/RHU.0b013e3181b57199.
- Andrès E, Kurtz JE, Perrin AE, Pflumio F, Ruellan A, Goichot B, Dufour P, Blicklé JF, Brogard JM, Schlienger JL. Retrospective monocentric study of 17 patients with adult Still's disease, with special focus on liver abnormalities. Hepatogastroenterology. 2003;50(49):192–195.
- Béchade D, Berthelet O, Desramé J, Lecoules S, Coutant G, Algayres JP. Ictère cholestatique récidivant au cours d'une maladie de Still de l'adulte [Recurrent cholestatic jaundice in adult-onset Still's disease]. Rev Med Interne. 2002;23(12):1034–1035. French. doi: 10.1016/s0248-8663(02)00733-6.
- Kobalava ZhD, Villevalde SV, Soloveva AE. Cardio-hepatic syndrome in heart failure: prevalence, pathogenesis and prognostic significance. Kardiologiia [Kardiology]. 2016;56(12):63–71. Russian. doi: 10.18565/cardio.2016.12.63-71.
- Nasonov EL, Beketova TV, Reshetnyak TM, Lila AM, Ananieva LP, Lisitsyna TA, Soloviev SK. Coronavirus disease 2019 (COVID-19) and immune-mediated inflammatory rheumatic diseases: at the crossroads of thromboinflammation and autoimmunity. Rheumatology Science and Practice. 2020;58(4):353–367. Russian. doi: 10.47360/1995-4484-2020-353-367.
- Zulfiqar AA, Lorenzo-Villalba N, Hassler P, Andrès E. Immune Thrombocytopenic Purpura in a Patient with Covid-19. N Engl J Med. 2020;382(18):e43. doi: 10.1056/NEJMc2010472.
- Toscano G, Palmerini F, Ravaglia S, Ruiz L, Invernizzi P, Cuzzoni MG, Franciotta D, Baldanti F, Daturi R, Postorino P, Cavallini A, Micieli G. Guillain-Barré Syndrome Associated with SARS-CoV-2. N Engl J Med. 2020;382(26):2574–2576. doi: 10.1056/NEJMc2009191.
- Dalakas MC. Guillain-Barré syndrome: The first documented COVID-19-triggered autoimmune neurologic disease: More to come with myositis in the offing. Neurol Neuroimmunol Neuroinflamm. 2020;7(5):e781. doi: 10.1212/NXI.0000000000000781.
- Wallace ZS, Bhana S, Hausmann JS, Robinson PC, Sufka P, Sirotich E, Yazdany J, Grainger R. The Rheumatology Community responds to the COVID-19 pandemic: the establishment of the COVID-19 global rheumatology alliance. Rheumatology. 2020;59(6):1204–1206. doi: 10.1093/rheumatology/keaa191.
Supplementary files









