Antitumor efficacy of an isolated hind legperfusion with a pH-increased solution in thePliss’ lymphosarcoma graft rat model
- Authors: Bogdanov A.A.1, Egorenkov V.V.1, Volkov N.M.1, Moiseenko F.V.1,2,3, Molchanov M.S.1, Verlov N.A.1,4, Gulina L.S.4, Moiseyenko V.M.1
- 
							Affiliations: 
							- Saint-Petersburg Clinical Scientific and Practical Center for Specialised Types of Medical Care (Oncological)
- N.N. Petrov National Medicine Research Center of Oncology
- North-Western State Medical University named after I.I. Mechnikov
- Petersburg Nuclear Physics Institute named by B.P. Konstantinov of National Research Center "Kurchatov Institute"
 
- Issue: Vol 49, No 8 (2021)
- Pages: 541-549
- Section: ARTICLES
- URL: https://almclinmed.ru/jour/article/view/1641
- DOI: https://doi.org/10.18786/2072-0505-2021-49-070
- ID: 1641
Cite item
Full Text
Abstract
Background: The technique of regional isolated perfusion makes it possible to increase local levels of an anti-tumor agent, to perform the treatment procedure under hypothermia or hyperthermia, to reduce or even eliminate any systemic effect of a cytostatic on the patient. In this context, the use of isolated perfusion to modify the pH milieu of the tumor seems to be a promising strategy that could potentially ensure the anti-tumor effect.
Aim: To evaluate the efficacy of a rat limb perfusion with 4% NaHCO3 solution in vivo in the Pliss' lymphosarcoma rat graft model.
Materials and methods: The experiment was carried out in Wistar rats with Pliss' lymphosarcoma graft. The isolated limb was perfused with an isotonic sodium chloride solution (the control group) or a 4% sodium bicarbonate solution (the treatment group). The following parameters were assessed: tumor node growth over time, survival rate, hematology analysis at various time points of the experiment, and histological examination of autopsy samples from the tumor.
Results: Median survival in the group perfused with 4% NaHCO3 (N = 6) was 17.2 days, whereas in the non-perfused group (the pathogenesis group) (N = 4) and in the group perfused with isotonic saline (N = 5) they were 13.2 and 13.6 days, respectively. The risk of death in the treatment group was lower compared to that in the control group (Cox regression model, hazard ratio 0.129; 95% confidence interval 0.028–0.583; p = 0.0079). There were no significant differences in the tumor growth rate over time in the perfused groups.
Conclusion: A single exposure of the tumor micro-milieu in the model with isolated perfusion of the limb with Pliss' lymphosarcoma graft does not lead to any changes in the tumor growth kinetics, but is associated with a change in the animal survival.
Full Text
Кислотно-щелочное равновесие имеет большое значение в жизнедеятельности организма. Оно обеспечивает нужные условия для ферментативных реакций, адекватное функционирование гормонов и работу всех систем органов и тканей. В норме pH артериальной крови составляет 7,36, венозной крови – 7,44, межклеточной (интерстициальной) жидкости – 7,26–7,38, внутриклеточной жидкости – 7,1–7,2 [1, 2]. Поддержание внутриклеточного рН критически важно для жизни клеток, постоянство pH определяется функционированием буферных систем организма. В тканевой жидкости, ликворе, лимфе и крови главную роль играет гидрокарбонатная система, во внутриклеточной жидкости – фосфатная и белковая системы. Все буферные системы обладают ограниченной емкостью, ее восполнение возможно при участии респираторной и выделительной систем. Главный регулятор внутриклеточного pH – мембранные транспортные белки. Так, Na+/H+-обменник катализирует транспорт ионов в направлении их концентрационных градиентов, удаляя избыток кислот из клетки. В результате действия переносчика Na+/HCO3- снижается закисление внутриклеточной среды за счет прямого транспорта ионов HCO3- в клетку.
Развитие и рост опухоли сопровождаются изменением кислотно-щелочного баланса, что связано с особенностями жизнедеятельности клеток в условиях гипоксии. В опухолевой ткани, как правило, ввиду недостаточного кровоснабжения и, как следствие, перехода на анаэробное дыхание накапливаются метаболиты гликолиза, развивается локальный ацидоз, при этом внеклеточный рН понижается до уровня 6,5–6,9 [3–6].
Возможность достижения терапевтического эффекта с помощью компенсации изменений внеклеточного рН основывается на гипотезе рН-индуцированной опухолевой инвазии (англ. acid-mediated tumor invasion hypothesis). Продукция опухолью кислот, приводящая к снижению pH межклеточного пространства, способствует активации лизосомальных ферментов, таких как цистеиновые протеиназы (катепсины B и L), аспартатная протеиназа (катепсин D) и металлопротеиназы опухолей [7]. Ферменты, разрушая близлежащие структуры, облегчают инфильтрацию опухоли в соседние ткани.
Эксперименты, проведенные на модели метастазирующего рака молочной железы, показали, что добавление мышам в питье NaHCO3 приводило к увеличению внеклеточного рН опухоли и существенному угнетению метастазирования [8]. Так как при этом не регистрировали изменений внутриклеточного рН, наблюдаемый эффект авторы связали с отсутствием выраженного влияния бикарбоната на рост опухоли. Предположительно, для изменения значений внутриклеточного рН необходима большая концентрация бикарбоната. Однако это связано с ограничениями – увеличить дозу бикарбоната в питье животных не представляется возможным ввиду возникновения системно непереносимого алкалоза. В рамках проведенного экспериментального исследования in vitro было также показано, что низкие значения рН способствуют чрезмерной экспрессии катепсина В, ассоциируемой со злокачественными новообразованиями [8].
Целью данного исследования было определение возможности влияния на микроокружение опухолевых клеток за счет изменения рH.
Материал и методы
Эксперимент с использованием лабораторных животных проводили на базе Ресурсного центра ОМРБ НИЦ «Курчатовский институт» – ПИЯФ. Содержание животных и манипуляции с ними в эксперименте проводились в соответствии с российскими и международными нормативными актами, регламентирующими работу с лабораторными животными, и правилами биоэтики. Протокол исследования был одобрен Комиссией по биоэтике ОМРБ НИЦ «Курчатовский институт» – ПИЯФ. Продолжительность исследования составила 8 недель. Животные были включены в четыре этапа. Наблюдение за животными продолжалось до достижения конечной точки, которой была гибель животного.
Животные
В эксперименте использовали самцов крыс Wistar с массой тела на момент начала эксперимента 350–400 г. Подопытные крысы после поступления из специализированного питомника проходили 14-дневный период карантина в карантинном блоке вивария для исключения из исследования животных с соматической и/или инфекционной патологией. Крысы содержались в количестве не более 6 особей в клетке без ограничений доступа к питьевой воде и корму. Животные содержались в стандартных условиях вивария (12/12 часов – день/ночь, температура 20–22 °С, влажность 50–70%). Моделирование опухолевого процесса проводилось для всех животных, включенных в исследование, посредством подкожной трансплантации в дистальную область бедра взвеси клеток лимфосаркомы Плисса в физиологическом растворе объемом 0,5 мл, концентрация 106 клеток/мл.
Установка для перфузии
На основе ранее опубликованных материалов, посвященных перфузии органов и конечностей лабораторных животных [9], была разработана установка для проведения регионарной изолированной перфузии конечности лабораторной крысы. Установка для перфузии представляет собой систему силиконовых трубок, тройников, термостата, состоит из операционного столика, системы термостабилизации, четырехканального перистальтического насоса, а также емкости для перфузата. Перфузат, нагретый до температуры 37–38 °С, подавался перистальтическим насосом через систему трубок в катетер, установленный в бедренной артерии. От катетера система трубок через перистальтический насос откачивала кровь и отработанный перфузат из конечности. Таким образом раствор, нагретый в термостате, проходил через насос и поступал в артерию крысы, затем, пройдя по конечности, выходил из вены и по венозной трубке поступал в емкость для слива.
Процедура перфузии конечности
В начале эксперимента всех животных предварительно наркотизировали с использованием смеси препаратов тилетамина и золазепама внутримышечно, из расчета 5 мг действующего вещества на 100 г веса. После введения в наркоз выбривали участок паховой области и внутреннюю поверхность бедра, после чего животное фиксировали на операционном столе.
В группе «контроль» (N = 6) перфузию выполняли изотоническим раствором хлорида натрия (0,9% NaCl, физиологический раствор для инфузий) в течение 20 минут. Группе «терапия» (N = 6) перфузию осуществляли 4% раствором натрия гидрокарбоната (рН 7,8–8,2). Для исследования эффективности перфузионного раствора животным в группах «контроль» и «терапия» была проведена регионарная изолированная перфузия задней правой конечности на 2-е сутки после перевивки опухоли. В группе «патогенез» (N = 4) после перевивки опухолевого узла манипуляций с животными не проводилось.
Перед процедурой перфузии установку готовили к работе. Для этого трубки заполняли перфузатом, венозный катетер отключали от емкости с перфузатом, кожу в рабочей области обрабатывали спиртом, делали надрез 17–20 мм вдоль линии «бедро – брюшина». Посредством хирургических зондов организовывали доступ с последующим выделением сосудисто-нервного пучка, который затем разделяли на нерв, артерию и вену. На артерию и вену накладывали свободные узлы проксимальней и дистальней места введения катетера, затем катетер вводили в артерию в дистальном направлении и фиксировали с помощью узла, наложенного заранее. Узел проксимальнее места введения катетера также затягивался. Для удобства перед катетеризацией пережимали артерию дистальней, для обеспечения ее лучшего кровенаполнения. Удостоверившись в отсутствии пузырьков воздуха, к катетеру присоединяли артериальную трубку установки и начинали подавать перфузат в режиме минимального потока (скорость 0,25 мл в минуту). Аналогичным образом катетеризировалась вена, катетер от которой подключался ко входу перистальтического насоса. Поток постепенно доводили до рабочего значения 3 мл/мин. Перфузию проводили в течение 45 минут, после чего систему с помощью тройников переключали на емкость с физиологическим раствором для проведения очистки сосудов конечности от перфузата. Через 10 минут катетеры извлекали из сосудов, снимали дистальные узлы. Спустя несколько минут снимали проксимальные узлы. Перед зашиванием брюшины выполняли визуальный контроль нормальной циркуляции крови в магистральных сосудах.
После проведения перевивки опухолевого узла во всех группах каждые двое суток измеряли линейные размеры опухолевого узла, ежедневно проводили визуальный осмотр животных, оценивали изменения в поведении животных, объеме потребляемой пищи и питья.
Гистологическое исследование
Для гистологического исследования материал фиксировали в 10% нейтральном забуференном растворе формалина 24 часа. Далее материал помещали в гистологические кассеты, проводили по изопропиловым спиртам и выдерживали в промежуточных смесях и минеральном масле. Затем образцы последовательно помещали в парафины для проводки и заливали в парафин для заливки.
Из парафиновых блоков на санном микротоме Slide 2002 Compact изготовляли срезы толщиной 6 мкм так, чтобы плоскость среза проходила перпендикулярно к поверхности ткани. Срезы монтировали на предметные стекла. Полученные препараты окрашивали гематоксилином и эозином, затем их помещали под покровные стекла в среду для заключения препаратов.
Статистический анализ
Статистическая обработка данных проводилась с использованием программного обеспечения R language в среде RStudio. Для сравнения выборок использовали тест Стьюдента, критический уровень значимости при проверке статистических гипотез принимался как p менее 0,05. При оценке выживаемости животных в эксперименте применяли оценку отношения рисков на основе регрессии Кокса.
Результаты
В группе «контроль» непосредственно в процессе проведения перфузии зарегистрирована гибель одного животного вследствие постманипуляционного внутреннего кровотечения, что обусловлено технической сложностью проводимых манипуляций. Погибшее животное не было включено в окончательную статистику.
Данные о торможении роста опухолевого узла в группах с перфузией представлены на рис. 1 и 2. Динамика гибели животных в группах с перфузией и в группе «патогенез» отражена на рис. 3. Перфузия конечности раствором с щелочным pH не привела к статистически значимому изменению роста опухолевого узла. Однако можно отметить, что в группе «терапия» на фоне статистически значимой лучшей выживаемости опухоли достигали больших размеров.
Рис. 1. Динамика роста опухолевого узла
Рис. 2. Линейная модель усредненных данных роста опухолевого узла
Рис. 3. Кривая выживаемости на основе оценки Каплана – Мейера
Медиана выживаемости в группе с перфузией 4% гидрокарбонатом натрия составила 17,2 суток, тогда как в группе без перфузии и в группе с перфузией физиологическим раствором 13,2 и 13,6 суток соответственно. Наблюдалось снижение риска летального исхода в группе «терапия» в сравнении с группой «контроль» на основании оценки регрессии Кокса (отношение рисков 0,129; 95% доверительный интервал 0,028–0,583; p = 0,0079).
На 5 и 10-е сутки после перфузии в группе «контроль» наблюдали увеличение абсолютных значений уровня лейкоцитов и тромбоцитов (рис. 4) при снижении количества циркулирующих эритроцитов. В группе «терапия» также на фоне снижения числа эритроцитов отмечена выраженная лимфоцитопения и тромбоцитопения. Изменения, однако, не были статистически значимыми. Тем не менее можно предположить, что выраженный провоспалительный сдвиг в группе «контроль» обусловлен наличием некротических участков в ткани опухоли с сопутствующим перифокальным воспалением.
Рис. 4. Данные общеклинического анализа крови животных в день перфузии (0), на 5 и 10-е сутки после перфузии; WBC – количество лейкоцитов, 109 шт./л; LYM – количество лимфоцитов, 109 шт./л; MON – количество моноцитов, 109 шт./л; GRA – количество гранулоцитов, 109 шт./л; RBC – количество эритроцитов, 1012 шт./мл; PLT – количество тромбоцитов, 109 шт./л; ns – p > 0,05, * p ≤ 0,05 (данные проходили проверку на нормальность распределений и равенство дисперсий, поэтому был использован критерий Стьюдента)
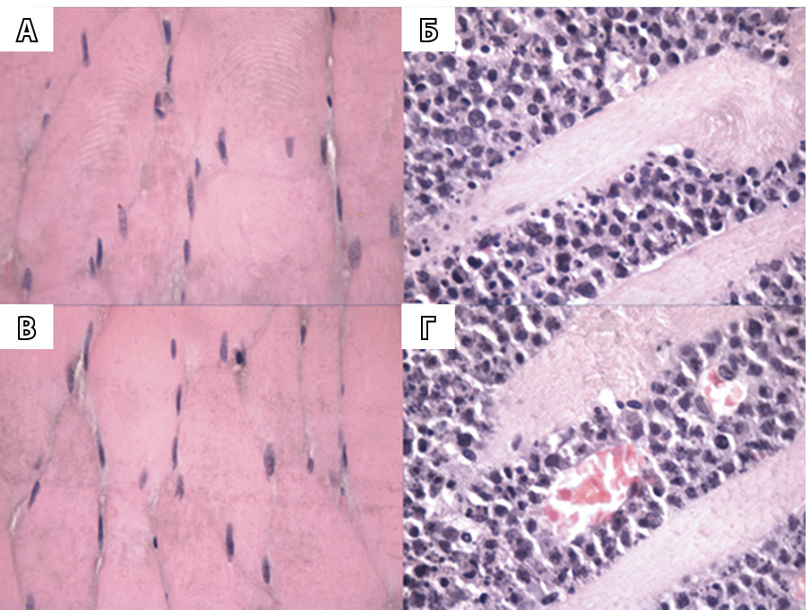
На гистологических препаратах выявлялись идентичные изменения мышечной ткани в группах c перфузией и в группе без перфузии (рис. 5). В контрольных образцах (правое бедро животного) визуализировалась структура мышечного волокна с признаками дистрофии (см. рис. 5А, В). Поперечная исчерченность была сохранена. Между мышечными волокнами наблюдались прослойки эндомизия. Часть миоцитов была с дистрофическими изменениями. В опытных образцах (левое бедро животного, место перевивки и формирования первичного опухолевого узла) отмечался выраженный некроз мышечных тканей, лимфоидный инфильтрат (см. рис. 5Б, Г).
Рис. 5. Микроскопический анализ гистологического материала (окраска гематоксилин-эозином): А – правое бедро, группа «контроль», 14-е сутки (× 100); Б – левое бедро, место перевивки и формирования первичного опухолевого узла, группа «контроль», 14-е сутки (× 100); В – правое бедро, группа «терапия», 14-е сутки (× 100); Г – левое бедро, место перевивки и формирования первичного опухолевого узла, группа «терапия», 14-е сутки (× 100)
Обсуждение
Превращение нормальных клеток в опухолевые – крайне сложный и обычно длительный процесс, в течение которого приобретение популяцией клеток свойств, характерных для опухолевых клеток, сопровождается накоплением генетических нарушений. Для характеристики этого процесса принято применять аналогию с эволюционной теорией Дарвина [10–12]. Его генетические основы описаны довольно хорошо, а фенотипические взаимодействия, как и непосредственно физические взаимодействия между клетками и микроокружением, которые выступают движущей силой клональной селекции, изучены и описаны неполно [13]. Среди наиболее ярких особенностей межклеточного пространства опухолевой ткани выделяют низкий pH (около 6). Этот феномен – следствие преобладания аэробного гликолиза (эффект Варбурга) как основного механизма синтеза аденозинтрифосфата. При этом образуется большое количество молочной кислоты, которая, выделяясь в микроокружение, становится причиной локального ацидоза [14]. Низкий рН микроокружения опухоли – один из важнейших факторов, обеспечивающих благоприятные условия для развития малигнизированных клеток. Во-первых, сама кислотность участвует в определении преимущественных условий существования клеток опухоли по сравнению со здоровыми; во-вторых, высокая кислотность обеспечивает локальную иммуносупрессию и уклонение злокачественных клеток от иммунного контроля; в-третьих, низкий уровень pH в опухолевом микроокружении способствует дезактивации многих лекарственных препаратов, в том числе цитостатических [15]. Таким образом, альтернативным воздействием, характеризующимся противоопухолевой активностью или как минимум способностью повысить эффективность лекарственной терапии, видится манипуляция с микроокружением опухоли, в частности повышение pH. Этот подход, в отличие, например, от цитостатического, представляется более перспективным, так как мишенью становятся только опухолевые клетки и обеспечиваются функциональные преимущества здоровых клеток по сравнению с опухолевыми.
Попытки воздействия на рН опухолевой ткани предпринимались как в предклинических, так и в клинических исследованиях. В эксперименте наиболее изучено системное введение бикарбоната – так называемая буфер-терапия, которая уменьшает образование метастазов, восстанавливает функцию иммунной системы, замедляет рост опухоли и увеличивает общую выживаемость животных. Однако при воспроизведении подобных подходов в клинике столкнулись с плохой переносимостью пациентами высоких пероральных доз бикарбонатов. Системное внутривенное введение высоких доз бикарбонатов рискованно в связи с возможностью развития некорригируемого алкалоза. В качестве относительной альтернативы можно рассматривать местное повышение рН путем внутриартериальной химиоэмболизации или изолированной перфузии [10, 11].
В рамках нашего исследования была поставлена задача сформировать модель для достижения физиологически значимых локо-регионарных изменений pH с целью определения влияния этого воздействия на скорость роста опухоли и выживаемость животных, а также, в будущем, на эффективность различных противоопухолевых препаратов, включая активированные Т-лимфоциты, как основное эффекторное звено современного поколения ингибиторов контрольных точек. На примере экспериментальных животных нам удалось апробировать модель индукции изолированного изменения pH, которое в нашей работе не оказало влияния на скорость роста опухоли. Предположительно, одной из причин отсутствия противоопухолевого воздействия могла стать недостаточная продолжительность воздействия на микроокружение, а также степень снижения pH. Тем не менее наш эксперимент выявил существенное увеличение продолжительности жизни животных, которые подверглись изменению опухолевого микроокружения. Это может быть серьезным аргументом для более углубленного изучения данного подхода с детальным контролем физических условий на фоне перфузии (возможно, неоднократным проведением процедур), с более продолжительным контролем опухолевых очагов с применением современных методов оценки их физиологической активности.
Ограничения исследования
Среди недостатков и ограничений нашего исследования необходимо упомянуть небольшое число включенных животных, а также узкий профиль молекулярных исследований, проведенных на полученном после инфузий материале опухоли, что обусловливает необходимость продолжения исследований в этом направлении.
Заключение
В нашей работе была сформирована модель индукции локо-регионарных изменений микроокружения опухоли. На примере изменения pH мы оценили скорость роста опухоли и продолжительность жизни экспериментальных животных. Различий в объеме опухолевой ткани между экспериментальной и контрольной группами не выявлено. Вместе с тем продолжительность жизни животных была выше в группе с изменением микроокружения опухоли.
Дополнительная информация
Финансирование
Исследование выполнено за счет средств бюджета на научные исследования ГБУЗ «Санкт-Петербургский клинический научно-практический центр специализированных видов медицинской помощи (онкологический)».
Конфликт интересов
Авторы декларируют отсутствие явных и потенциальных конфликтов интересов, связанных с содержанием настоящей статьи.
Участие авторов
А.А. Богданов – концепция и дизайн исследования, анализ полученных данных, редактирование рукописи; В.В. Егоренков – сбор и обработка материала, анализ полученных данных, написание текста; Н.М. Волков, Ф.В. Моисеенко и В.М. Моисеенко – концепция и дизайн статьи, редактирование текста, утверждение итогового варианта текста рукописи; М.С. Молчанов – сбор и обработка материала, анализ клинико-экспериментальных результатов исследования, написание текста; Н.А. Верлов – сбор и обработка материала, анализ полученных данных, анализ клинико-экспериментальных результатов исследования, написание текста, редактирование рукописи; Л.С. Гулина – сбор и обработка материала, анализ клинико-экспериментальных результатов исследования, написание текста. Все авторы прочли и одобрили финальную версию статьи перед публикацией, согласны нести ответственность за все аспекты работы и гарантируют, что ими надлежащим образом были рассмотрены и решены вопросы, связанные с точностью и добросовестностью всех частей работы.
Funding
The study was financed from the research budget of Saint-Petersburg Clinical Scientific and Practical Center for Specialised Types of Medical Care (Oncological).
Conflict of interests
The authors declare no conflict of interests.
Authors' contributions
A.A. Bogdanov, the study concept and design, data analysis, text editing; V.V. Egorenkov, data collection and management, data analysis, text writing; N.M. Volkov, F.V. Moiseenko and V.M. Moiseyenko, the paper concept and design, text editing, approval of the final version of the manuscript; M.S. Molchanov, data collection and management, analysis of clinical and experimental study results, text writing; N.A. Verlov, data collection and management, data analysis, analysis of clinical and experimental study results, text writing and editing; L.S. Gulina, data collection and management, analysis of clinical and experimental study results, text writing. All the authors have read and approved the final version of the manuscript before submission, agreed to be accountable for all aspects of the work in ensuring that questions related to the accuracy or integrity of any part of the work are appropriately investigated and resolved.
Приложение 1
Оснащение эксперимента по перфузии магистральных сосудов нижней конечности крысы
Установка для перфузии
- Элементы установки
1.1. Перистальтический насос с регулируемым потоком
1.2. Катетер внутривенный периферический 26G
1.3. Трубки медицинские разных диаметров
1.4. Соединительные элементы, тройники
1.5. Система термостабилизации животного
1.6. Термостат с термометром
1.7. Ультрафиолетовая лампа
1.8. Столик операционный ветеринарный
1.9. Емкости для раствора
1.10. Штативы
- Хирургические инструменты
- Раствор для перфузии
Процедура перфузии
- Подготовить (заполнить раствором, выключить насос, отсоединить венозный катетер от емкости с перфузатом) и проверить установку и рабочее место.
- Подготовить животное в соответствии с Приложением 2.
- Обработать операционное поле спиртом.
- Сделать надрез около 12 мм (см. рис. I).
- Продвигаясь вглубь, найти сосудисто-нервный пучок, обнажить тройку «артерия – вена – нерв». Вена темно-красная, артерия светлее, нерв – белесоватый.
- Аккуратно отделить сосудисто-нервный пучок от окружающей соединительной ткани.
- Отделить щипцами нерв от артерии и вены (см. рис. II и III).
- Отделить вену от артерии (так же щипцами).
- Перевязать артерию и вену (артерию не затягивать) проксимальней места введения катетера.
- Завязать свободный узел на артерии и вене дистальней места введения катетера для последующей его фиксации.
- Ввести катетер в вену, после установки зафиксировать с помощью нити (см. рис. IV).
- Пережать артерию дистальней, обеспечив хорошее кровенаполнение, затянуть проксимальный узел, затем ввести катетер, зафиксировать его нитью.
- Включить насос в режиме минимального потока. Постепенно довести поток до 3 мл/мин.
- Длительность перфузии 30 минут.
- Отсоединить оба порта, подключить к емкости с чистым физиологическим раствором, убедиться в отсутствии пузырьков воздуха.
- Остановить насос, развязать (разрезать) узлы, фиксирующие катетеры, вынуть канюли.
- Развязать узел на вене, затем на артерии. Убедиться в нормальной циркуляции крови. При кровотечении использовать гемостатическую губку.
- Зашить разрез.
Рис. I. Место надреза
Рис. II. Разделение нерва, артерии и вены производится с помощью пинцета
Рис. III. Разделенные вена, артерия и нерв (слева направо)
Рис. IV. Катетер, введенный и зафиксированный в артерии
Приложение 2
Подготовка и введение животного в эксперимент
- Взвесить животное.
- Наркотизировать (тилетамин + золазепам 5 мг / 100 г внутримышечно).
- Выбрить рабочую область (паховая область и внутренняя поверхность бедра).
- Зафиксировать животное на операционном столе.
About the authors
Alexey A. Bogdanov
Saint-Petersburg Clinical Scientific and Practical Center for Specialised Types of Medical Care (Oncological)
														Email: aleks_aa@mail.ru
				                	ORCID iD: 0000-0002-7887-4635
				                																			                								
Deputy Director for Science
Россия, 68A Leningradskaya ul., Pesochnyy poselok, Saint Petersburg, 197758Vitaliy V. Egorenkov
Saint-Petersburg Clinical Scientific and Practical Center for Specialised Types of Medical Care (Oncological)
														Email: v.egorenkov@inbox.ru
				                	ORCID iD: 0000-0002-3473-2053
				                																			                								
MD, PhD, Deputy Director for Medicine
Россия, 68A Leningradskaya ul., Pesochnyy poselok, Saint Petersburg, 197758Nikita M. Volkov
Saint-Petersburg Clinical Scientific and Practical Center for Specialised Types of Medical Care (Oncological)
														Email: volkovnm@gmail.com
				                	ORCID iD: 0000-0002-6232-257X
				                																			                								
MD, PhD, Head of Departments of Chemotherapy and Radiotherapy
Россия, 68A Leningradskaya ul., Pesochnyy poselok, Saint Petersburg, 197758Fedor V. Moiseenko
Saint-Petersburg Clinical Scientific and Practical Center for Specialised Types of Medical Care (Oncological); N.N. Petrov National Medicine Research Center of Oncology; North-Western State Medical University named after I.I. Mechnikov
														Email: moiseenkofv@gmail.com
				                	ORCID iD: 0000-0003-2544-9042
				                																			                								
MD, PhD, Associate Professor, Head of Department of Chemotherapy; Research Fellow, Science Department of Innovative Methods of Therapeutic Oncology and Rehabilitation; Professor, Chair of Oncology, Faculty of Surgery
Россия, 68A Leningradskaya ul., Pesochnyy poselok, Saint Petersburg, 197758; 68 Leningradskaya ul., Pesochnyy poselok, Saint Petersburg, 197758; 41 Kirochnaya ul., Saint Petersburg, 191015Maxim S. Molchanov
Saint-Petersburg Clinical Scientific and Practical Center for Specialised Types of Medical Care (Oncological)
														Email: molchanoff.m@gmail.com
				                					                																			                								
Head of Department of Surgical Methods of Skin, Bones and Soft Tissues Tumors Therapy
Россия, 68A Leningradskaya ul., Pesochnyy poselok, Saint Petersburg, 197758Nikolay A. Verlov
Saint-Petersburg Clinical Scientific and Practical Center for Specialised Types of Medical Care (Oncological); Petersburg Nuclear Physics Institute named by B.P. Konstantinov of National Research Center "Kurchatov Institute"
							Author for correspondence.
							Email: verlov_na@pnpi.nrcki.ru
				                	ORCID iD: 0000-0002-3756-0701
				                																			                								
PhD (in Biol.), Leading Research Fellow; Head of Resource Center, Department of Molecular and Radiation Biophysics
Россия, 68A Leningradskaya ul., Pesochnyy poselok, Saint Petersburg, 197758; 1 Orlova Roshcha mikrorayon, Gatchina, Leningrad Region, 188300Lidia S. Gulina
Petersburg Nuclear Physics Institute named by B.P. Konstantinov of National Research Center "Kurchatov Institute"
														Email: verlov_na@pnpi.nrcki.ru
				                					                																			                								
Junior Research Fellow, Resource Center, Department of Molecular and Radiation Biophysics
Россия, 1 Orlova Roshcha mikrorayon, Gatchina, Leningrad Region, 188300Vladimir M. Moiseyenko
Saint-Petersburg Clinical Scientific and Practical Center for Specialised Types of Medical Care (Oncological)
														Email: moiseyenkov@gmail.com
				                	ORCID iD: 0000-0003-4807-7915
				                																			                								
MD, PhD, Professor, Director
Россия, 68A Leningradskaya ul., Pesochnyy poselok, Saint Petersburg, 197758References
- Hamm LL, Nakhoul N, Hering-Smith KS. Acid-base homeostasis. Clin J Am Soc Nephrol. 2015;10(12):2232–2242. doi: 10.2215/CJN.07400715.
- Lagadic-Gossmann D, Huc L, Lecureur V. Alterations of intracellular pH homeostasis in apoptosis: origins and roles. Cell Death Differ. 2004;11(9):953–961. doi: 10.1038/sj.cdd.4401466.
- Swietach P, Vaughan-Jones RD, Harris AL, Hulikova A. The chemistry, physiology and pathology of pH in cancer. Philos Trans R Soc Lond B Biol Sci. 2014;369(1638):20130099. doi: 10.1098/rstb.2013.0099.
- Griffiths JR. Are cancer cells acidic? Br J Cancer. 1991;64(3):425–427. doi: 10.1038/bjc.1991.326.
- Gatenby RA, Gawlinski ET, Gmitro AF, Kaylor B, Gillies RJ. Acid-mediated tumor invasion: a multidisciplinary study. Cancer Res. 2006;66(10):5216–5223. doi: 10.1158/0008-5472.CAN-05-4193.
- Koltai T. The Ph paradigm in cancer. Eur J Clin Nutr. 2020;74(Suppl 1):14–19. doi: 10.1038/s41430-020-0684-6.
- Estrella V, Chen T, Lloyd M, Wojtkowiak J, Cornnell HH, Ibrahim-Hashim A, Bailey K, Balagurunathan Y, Rothberg JM, Sloane BF, Johnson J, Gatenby RA, Gillies RJ. Acidity generated by the tumor microenvironment drives local invasion. Cancer Res. 2013;73(5):1524–1535. doi: 10.1158/0008-5472.CAN-12-2796.
- Robey IF, Baggett BK, Kirkpatrick ND, Roe DJ, Dosescu J, Sloane BF, Hashim AI, Morse DL, Raghunand N, Gatenby RA, Gillies RJ. Bicarbonate increases tumor pH and inhibits spontaneous metastases. Cancer Res. 2009;69(6):2260–2268. doi: 10.1158/0008-5472.CAN-07-5575.
- Milas M, Feig B, Yu D, Oriuchi N, Cromeens D, Ge T, Wong FC, Kim EE, Pollock R. Isolated limb perfusion in the sarcoma-bearing rat: a novel preclinical gene delivery system. Clin Cancer Res. 1997;3(12 Pt 1):2197–2203.
- Azzarito T, Venturi G, Cesolini A, Fais S. Lansoprazole induces sensitivity to suboptimal doses of paclitaxel in human melanoma. Cancer Lett. 2015;356(2 Pt B):697–703. doi: 10.1016/j.canlet.2014.10.017.
- Ferrari S, Perut F, Fagioli F, Brach Del Prever A, Meazza C, Parafioriti A, Picci P, Gambarotti M, Avnet S, Baldini N, Fais S. Proton pump inhibitor chemosensitization in human osteosarcoma: from the bench to the patients' bed. J Transl Med. 2013;11:268. doi: 10.1186/1479-5876-11-268.
- Spugnini EP, Buglioni S, Carocci F, Francesco M, Vincenzi B, Fanciulli M, Fais S. High dose lansoprazole combined with metronomic chemotherapy: a phase I/II study in companion animals with spontaneously occurring tumors. J Transl Med. 2014;12:225. doi: 10.1186/s12967-014-0225-y.
- Federici C, Petrucci F, Caimi S, Cesolini A, Logozzi M, Borghi M, D'Ilio S, Lugini L, Violante N, Azzarito T, Majorani C, Brambilla D, Fais S. Exosome release and low pH belong to a framework of resistance of human melanoma cells to cisplatin. PLoS One. 2014;9(2):e88193. doi: 10.1371/journal.pone.0088193.
- Warburg O. On the origin of cancer cells. Science. 1956;123(3191):309–314. doi: 10.1126/science.123.3191.309.
- Luciani F, Spada M, De Milito A, Molinari A, Rivoltini L, Montinaro A, Marra M, Lugini L, Logozzi M, Lozupone F, Federici C, Iessi E, Parmiani G, Arancia G, Belardelli F, Fais S. Effect of proton pump inhibitor pretreatment on resistance of solid tumors to cytotoxic drugs. J Natl Cancer Inst. 2004;96(22):1702–1713. doi: 10.1093/jnci/djh305.
Supplementary files
 
				
			 
					 
						 
									

 
  
  
  
  
  Email this article
			Email this article 










